NAMPT
NAMPT,即煙酰胺磷酸核糖基轉移酶,別名PBEF、Visfatin、前B細胞集落增強因子等。它是一種由NAMPT基因編碼的多功能蛋白,主要在多種組織中表達,如棕色脂肪組織、肝臟、腎臟等,尤其在脂肪組織中表達量較高。NAMPT的作用機制主要是催化煙酰胺(NAM)和5'-磷酸核糖焦磷酸(PRPP)合成煙酰胺單核苷酸(NMN),這是NAD+合成補救途徑的第一步和限速步驟 。NAMPT在生物學上的意義非常廣泛,它不僅在細胞內NAD+的合成和能量代謝中發揮關鍵作用,還以分泌型eNAMPT的形式參與多種生理和病理過程的調節。eNAMPT具有細胞因子樣活性,能夠促進炎癥和血管生成,與腫瘤的發生、發展以及轉移密切相關。此外,NAMPT的表達水平在代謝性疾病、神經退行性疾病、衰老和癌癥等多種年齡相關性疾病中發生變化,提示其在這些疾病中可能發揮重要作用 。因此,NAMPT是藥物開發和疾病治療中的一個潛在靶點,針對NAMPT的激活劑和抑制劑正在被研究用于治療相關疾病。
熱銷產品
Recombinant Mouse Nicotinamide phosphoribosyltransferase (Nampt) (CSB-YP015422MOb0)
驗證數據
(Tris-Glycine gel) Discontinuous SDS-PAGE (reduced) with 5% enrichment gel and 15% separation gel.
NAMPT Antibody (CSB-PA015422ESR2HU)
驗證數據
Western blot
All lanes: Nicotinamide phosphoribosyltransferase antibody at 4μg/ml
Lane 1: Mouse heart tissue
Lane 2: Mouse liver tissue
Lane 3: Mouse skeletal muscle tissue
Secondary
Goat polyclonal to rabbit IgG at 1/10000 dilution
Predicted band size: 56 kDa
Observed band size: 56 kDa
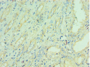
Immunohistochemistry of paraffin-embedded human liver tissue using CSB-PA015422ESR2HU at dilution of 1:100
Immunohistochemistry of paraffin-embedded human kidney tissue using CSB-PA015422ESR2HU at dilution of 1:100
NAMPT Antibodies
NAMPT for Homo sapiens (Human)
| 產品貨號 | 產品名稱 | 種屬反應性 | 應用類型 |
|---|---|---|---|
| CSB-PA015422GA01HU | NAMPT Antibody | Human,Mouse,Rat | ELISA,WB,IHC |
| CSB-PA015422ESR1HU | NAMPT Antibody | Human | ELISA, IHC, IP |
| CSB-PA015422ESR2HU | NAMPT Antibody | Human, Mouse | ELISA, WB, IHC |
| CSB-PA215740 | NAMPT Antibody | Human,Mouse,Rat | ELISA,WB,IHC |
| CSB-PA200625 | NAMPT Antibody | Human,Mouse,Rat | ELISA,WB,IHC |
| CSB-PA015422EA01HU | NAMPT Antibody | Human | ELISA, WB, IHC, IF |
| CSB-PA015422EB01HU | NAMPT Antibody, HRP conjugated | Human | ELISA |
| CSB-PA015422EC01HU | NAMPT Antibody, FITC conjugated | Human | |
| CSB-PA015422ED01HU | NAMPT Antibody, Biotin conjugated | Human | ELISA |
NAMPT for Rattus norvegicus (Rat)
| 產品貨號 | 產品名稱 | 種屬反應性 | 應用類型 |
|---|---|---|---|
| CSB-PA015422LA01RA | Nampt Antibody | Rat, Human | ELISA, WB |
| CSB-PA015422LB01RA | Nampt Antibody, HRP conjugated | Rat | ELISA |
| CSB-PA015422LC01RA | Nampt Antibody, FITC conjugated | Rat | |
| CSB-PA015422LD01RA | Nampt Antibody, Biotin conjugated | Rat | ELISA |
NAMPT Proteins
NAMPT Proteins for Homo sapiens (Human)
| 產品貨號 | 產品名稱 | 來源 |
|---|---|---|
| CSB-YP015422HU CSB-EP015422HU CSB-BP015422HU CSB-MP015422HU CSB-EP015422HU-B |
Recombinant Human Nicotinamide phosphoribosyltransferase (NAMPT) | Yeast E.coli Baculovirus Mammalian cell In Vivo Biotinylation in E.coli |
NAMPT Proteins for Sus scrofa (Pig)
| 產品貨號 | 產品名稱 | 來源 |
|---|---|---|
| CSB-YP015422PI CSB-EP015422PI CSB-BP015422PI CSB-MP015422PI CSB-EP015422PI-B |
Recombinant Pig Nicotinamide phosphoribosyltransferase (NAMPT) | Yeast E.coli Baculovirus Mammalian cell In Vivo Biotinylation in E.coli |
NAMPT Proteins for Rattus norvegicus (Rat)
| 產品貨號 | 產品名稱 | 來源 |
|---|---|---|
| CSB-YP015422RA CSB-EP015422RA CSB-BP015422RA CSB-MP015422RA CSB-EP015422RA-B |
Recombinant Rat Nicotinamide phosphoribosyltransferase (Nampt) | Yeast E.coli Baculovirus Mammalian cell In Vivo Biotinylation in E.coli |
NAMPT Proteins for Mus musculus (Mouse)
| 產品貨號 | 產品名稱 | 來源 |
|---|---|---|
| CSB-YP015422MO CSB-BP015422MO CSB-EP015422MO-B |
Recombinant Mouse Nicotinamide phosphoribosyltransferase (Nampt) | Yeast Baculovirus In Vivo Biotinylation in E.coli |
| CSB-EP015422MO(M1) | Recombinant Mouse Nicotinamide phosphoribosyltransferase (Nampt) (C39S) | E.coli |
| CSB-EP015422MO | Recombinant Mouse Nicotinamide phosphoribosyltransferase (Nampt) | E.coli |
| CSB-EP015422MOe1 | Recombinant Mouse Nicotinamide phosphoribosyltransferase (Nampt) | E.coli |
| CSB-YP015422MOb0 | Recombinant Mouse Nicotinamide phosphoribosyltransferase (Nampt) | Yeast |
NAMPT ELISA Kit
NAMPT ELISA Kit for Homo sapiens (Human)
| 產品貨號 | 產品名稱 | 樣本類型 | 靈敏度 |
|---|---|---|---|
| CSB-E08940h | Human visfatin ELISA Kit | serum, plasma, urine, tissue homogenates | 0.156 ng/mL |
NAMPT ELISA Kit for Mus musculus (Mouse)
| 產品貨號 | 產品名稱 | 樣本類型 | 靈敏度 |
|---|---|---|---|
| CSB-E08942m | Mouse visfatin ELISA Kit | serum, plasma, tissue homogenates | 0.078 ng/mL |
NAMPT ELISA Kit for Rattus norvegicus (Rat)
| 產品貨號 | 產品名稱 | 樣本類型 | 靈敏度 |
|---|---|---|---|
| CSB-E08941r | Rat visfatin ELISA Kit | serum, plasma, tissue homogenates | 0.78 ng/mL |






