MSLN
MSLN,即間皮素(Mesothelin),是一種糖基磷脂酰肌醇(GPI)錨定的細胞表面糖蛋白,由MSLN基因編碼的前蛋白經過蛋白水解后產生巨核細胞增強因子和間皮素兩種蛋白產物。
MSLN的作用機制涉及其在細胞表面的表達,通過與配體如CA125/MUC16的高親和力相互作用促進異型細胞粘附,進而影響腫瘤的轉移。此外,MSLN的過表達能夠激活NF-κB、MAPK和PI3K-激酶促進細胞增殖和抵抗凋亡的細胞內通路。MSLN在正常組織中的表達有限,但在卵巢癌、乳腺癌、結直腸癌和胰腺癌等幾種實體腫瘤中的過度表達,與較低的存活率相關,是腫瘤特異性治療的理想靶點。
熱銷產品
Recombinant Human Mesothelin (MSLN), partial (Active) (CSB-MP015044HUc9)
驗證數據
(Tris-Glycine gel) Discontinuous SDS-PAGE (reduced) with 5% enrichment gel and 15% separation gel.
Activity
Measured by its binding ability in a functional ELISA. Immobilized MSLN at 2 μg/ml can bind Anti-MSLN rabbit monoclonal antibody, the EC50 of the MSLN protein is 2.657-3.177 ng/ml.
Activity
Measured by its binding ability in a functional ELISA. Immobilized MUC16(CSB-MP704410HU3c7) at 10 μg/ml can bind MSLN, the EC50 is 460.7-662.2 ng/ml.
MSLN Antibody (CSB-PA015044ESR1HU)
驗證數據
Western blot
All lanes: MSLN antibody at 8µg/ml + Hela whole cell lysate
Secondary
Goat polyclonal to rabbit IgG at 1/10000 dilution
Predicted band size: 69, 72, 68 kDa
Observed band size: 69 kDa
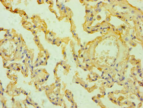
Immunohistochemistry of paraffin-embedded human lung tissue using CSB-PA015044ESR1HU at dilution of 1:100
MSLN Antibodies
MSLN for Mus musculus (Mouse)
| 產品貨號 | 產品名稱 | 種屬反應性 | 應用類型 |
|---|---|---|---|
| CSB-PA015044LA01MO | Msln Antibody | Mouse | ELISA |
| CSB-PA015044LB01MO | Msln Antibody, HRP conjugated | Mouse | ELISA |
| CSB-PA015044LC01MO | Msln Antibody, FITC conjugated | Mouse | |
| CSB-PA015044LD01MO | Msln Antibody, Biotin conjugated | Mouse | ELISA |
MSLN for Homo sapiens (Human)
| 產品貨號 | 產品名稱 | 種屬反應性 | 應用類型 |
|---|---|---|---|
| CSB-PA10159A0Rb | MSLN Antibody | Human | ELISA, IHC, IF, IP |
| CSB-PA10159B0Rb | MSLN Antibody, HRP conjugated | Human | ELISA |
| CSB-PA10159C0Rb | MSLN Antibody, FITC conjugated | Human | |
| CSB-PA10159D0Rb | MSLN Antibody, Biotin conjugated | Human | ELISA |
| CSB-PA015044ESR1HU | MSLN Antibody | Human | ELISA, WB, IHC |
| CSB-PA015044ESR2HU | MSLN Antibody | Human | ELISA, IHC |
| CSB-PA846777 | MSLN Antibody | Human | ELISA,IHC |
| CSB-PA952111 | MSLN Antibody | Human | ELISA,IHC |
MSLN Proteins
MSLN Proteins for Mus musculus (Mouse)
| 產品貨號 | 產品名稱 | 來源 |
|---|---|---|
| CSB-YP015044MO | Recombinant Mouse Mesothelin (Msln), partial | Yeast |
| CSB-EP015044MO | Recombinant Mouse Mesothelin (Msln), partial | E.coli |
| CSB-BP015044MO CSB-MP015044MO CSB-EP015044MO-B |
Recombinant Mouse Mesothelin (Msln), partial | Baculovirus Mammalian cell In Vivo Biotinylation in E.coli |
MSLN Proteins for Rattus norvegicus (Rat)
| 產品貨號 | 產品名稱 | 來源 |
|---|---|---|
| CSB-YP015044RA CSB-EP015044RA CSB-BP015044RA CSB-MP015044RA CSB-EP015044RA-B |
Recombinant Rat Mesothelin (Msln) | Yeast E.coli Baculovirus Mammalian cell In Vivo Biotinylation in E.coli |
MSLN Proteins for Homo sapiens (Human)
| 產品貨號 | 產品名稱 | 來源 |
|---|---|---|
| CSB-MP015044HU | Recombinant Human Mesothelin (MSLN), partial | Mammalian cell |
| CSB-MP015044HUf3 | Recombinant Human Mesothelin (MSLN), partial | Mammalian cell |
| CSB-MP015044HUc9 | Recombinant Human Mesothelin (MSLN), partial (Active) | Mammalian cell |
| CSB-MP015044HU-B | Recombinant Human Mesothelin (MSLN), partial,Biotinylated | Mammalian cell |
MSLN ELISA Kit
MSLN ELISA Kit for Homo sapiens (Human)
| 產品貨號 | 產品名稱 | 樣本類型 | 靈敏度 |
|---|---|---|---|
| CSB-E13382h | Human Mesothelin(MSLN)ELISA KIT | serum, plasma, tissue homogenates | 15.6 pg/mL |






