MNAT1
MNAT1,全稱為menage a trois homolog 1, cyclin H assembly factor,別名包括Cyclin-G1-interacting protein、CDK-activating kinase assembly factor MAT1等。該蛋白與細胞周期蛋白H和CDK7共同形成CDK激活激酶(CAK)酶促復合物,參與多種細胞周期蛋白相關激酶的激活,并可與TFIIH結合以激活RNA聚合酶II的轉錄。MNAT1蛋白在脂肪、前列腺等多種組織中廣泛表達,與三體綜合征、阿米什脆發綜合征等疾病相關。目前,MNAT1蛋白的研究主要集中在抗腫瘤藥物的研發上,例如,有研究報道MNAT1蛋白可以促進骨肉瘤細胞的增殖和順鉑耐藥性,通過調節PI3K/Akt/mTOR通路實現。此外,MNAT1蛋白也被用作抗體藥物的研發靶點,例如,有公司開發了針對MNAT1蛋白的抗體,用于Western Blot、免疫熒光、免疫沉淀、ELISA等多種應用。
熱銷產品
MNAT1 Antibody (CSB-PA014686LA01HU)
驗證數據
Western Blot
Positive WB detected in: Mouse brain tissue
All lanes: MNAT1 antibody at 3μg/ml
Secondary
Goat polyclonal to rabbit IgG at 1/50000 dilution
Predicted band size: 36, 32 kDa
Observed band size: 36 kDa
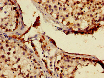
Immunohistochemistry of paraffin-embedded human testis tissue using CSB-PA014686LA01HU at dilution of 1:100
MNAT1 Antibodies
MNAT1 for Homo sapiens (Human)
| 產品貨號 | 產品名稱 | 種屬反應性 | 應用類型 |
|---|---|---|---|
| CSB-PA014686GA01HU | MNAT1 Antibody | Human,Mouse,Rat | ELISA,WB |
| CSB-PA583349 | MNAT1 Antibody | Human,Mouse,Rat | ELISA,WB |
| CSB-PA003197 | MNAT1 Antibody | Human,Mouse,Rat | WB, IHC, ELISA |
| CSB-PA014686LA01HU | MNAT1 Antibody | Human, Mouse | ELISA, WB, IHC |
| CSB-PA014686LB01HU | MNAT1 Antibody, HRP conjugated | Human | ELISA |
MNAT1 Proteins
MNAT1 Proteins for Mus musculus (Mouse)
| 產品貨號 | 產品名稱 | 來源 |
|---|---|---|
| CSB-YP014686MO CSB-EP014686MO CSB-BP014686MO CSB-MP014686MO CSB-EP014686MO-B |
Recombinant Mouse CDK-activating kinase assembly factor MAT1 (Mnat1) | Yeast E.coli Baculovirus Mammalian cell In Vivo Biotinylation in E.coli |
MNAT1 Proteins for Homo sapiens (Human)
| 產品貨號 | 產品名稱 | 來源 |
|---|---|---|
| CSB-YP014686HU CSB-EP014686HU CSB-BP014686HU CSB-MP014686HU CSB-EP014686HU-B |
Recombinant Human CDK-activating kinase assembly factor MAT1 (MNAT1) | Yeast E.coli Baculovirus Mammalian cell In Vivo Biotinylation in E.coli |
MNAT1 Proteins for Xenopus laevis (African clawed frog)
| 產品貨號 | 產品名稱 | 來源 |
|---|---|---|
| CSB-YP014686XBE CSB-EP014686XBE CSB-BP014686XBE CSB-MP014686XBE CSB-EP014686XBE-B |
Recombinant Xenopus laevis CDK-activating kinase assembly factor MAT1 (mnat1) | Yeast E.coli Baculovirus Mammalian cell In Vivo Biotinylation in E.coli |






