MMP14
MMP14,即基質金屬蛋白酶14,別名MT1-MMP。它由人類MMP14基因編碼,位于染色體12上。MMP14是一種膜型基質金屬蛋白酶,主要在細胞表面發揮作用,通過其催化活性區含有的鋅離子結合位點,對酶催化作用的發揮至關重要。MMP14的作用機制包括激活其他MMPs(如MMP2),參與細胞外基質的重塑,影響腫瘤的侵襲和轉移。MMP14參與組織發育、生殖、組織重塑等正常生理過程,同時在疾病過程中如關節炎、腫瘤轉移中發揮作用。MMP14的表達水平在多種腫瘤中上調,與腫瘤的預后密切相關,如在胰腺癌、肝癌等腫瘤中高表達與不良預后相關。此外,MMP14還參與調節免疫反應和炎癥過程。
熱銷產品
Recombinant Human Matrix metalloproteinase-14 (MMP14) (CSB-EP014661HU)
驗證數據
(Tris-Glycine gel) Discontinuous SDS-PAGE (reduced) with 5% enrichment gel and 15% separation gel.
Based on the SEQUEST from database of E.coli host and target protein, the LC-MS/MS Analysis result of CSB-EP014661HU could indicate that this peptide derived from E.coli-expressed Homo sapiens (Human) MMP14.
Based on the SEQUEST from database of E.coli host and target protein, the LC-MS/MS Analysis result of CSB-EP014661HU could indicate that this peptide derived from E.coli-expressed Homo sapiens (Human) MMP14.
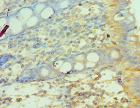
MMP14 Antibody (CSB-PA014661ESR1HU)
驗證數據
Immunohistochemistry of paraffin-embedded human breast cancer using CSB-PA014661ESR1HU at dilution of 1:100
Immunohistochemistry of paraffin-embedded human colon tissue using CSB-PA014661ESR1HU at dilution of 1:100
MMP14 Antibodies
MMP14 for Homo sapiens (Human)
| 產品貨號 | 產品名稱 | 種屬反應性 | 應用類型 |
|---|---|---|---|
| CSB-PA014661GA01HU | MMP14 Antibody | Human,Mouse,Rat,Zebrafish | ELISA,WB |
| CSB-PA12389D0Rb | MMP14 Antibody, Biotin conjugated | Human | ELISA |
| CSB-PA12389A0Rb | MMP14 Antibody | Human | ELISA, IHC |
| CSB-PA014661ESR1HU | MMP14 Antibody | Human | ELISA, IHC |
| CSB-PA897896 | MMP14 Antibody | Human,Mouse,Rat | ELISA,WB,IHC |
| CSB-PA000050 | Cleaved-MMP14 (Y112) Antibody | Human,Mouse,Rat | WB, ELISA |
| CSB-PA010212 | MMP14 Antibody | Human,Mouse,Rat | WB, IHC, ELISA |
| CSB-PA971298 | MMP14 Antibody | Human,Mouse,Rat | ELISA,IHC |
| CSB-PA553918 | MMP14 Antibody | Human,Mouse,Rat | ELISA,IHC |
MMP14 Proteins
MMP14 Proteins for Homo sapiens (Human)
| 產品貨號 | 產品名稱 | 來源 |
|---|---|---|
| CSB-YP014661HU CSB-BP014661HU CSB-MP014661HU CSB-EP014661HU-B |
Recombinant Human Matrix metalloproteinase-14 (MMP14), partial | Yeast Baculovirus Mammalian cell In Vivo Biotinylation in E.coli |
| CSB-EP014661HU | Recombinant Human Matrix metalloproteinase-14 (MMP14) | E.coli |
| CSB-CF014661HU | Recombinant Human Matrix metalloproteinase-14 (MMP14) | in vitro E.coli expression system |
MMP14 Proteins for Mus musculus (Mouse)
| 產品貨號 | 產品名稱 | 來源 |
|---|---|---|
| CSB-YP014661MO1 CSB-BP014661MO1 CSB-MP014661MO1 CSB-EP014661MO1-B |
Recombinant Mouse Matrix metalloproteinase-14 (Mmp14), partial | Yeast Baculovirus Mammalian cell In Vivo Biotinylation in E.coli |
| CSB-CF014661MO | Recombinant Mouse Matrix metalloproteinase-14 (Mmp14) | in vitro E.coli expression system |
MMP14 Proteins for Rattus norvegicus (Rat)
| 產品貨號 | 產品名稱 | 來源 |
|---|---|---|
| CSB-YP608834RA CSB-EP608834RA CSB-BP608834RA CSB-MP608834RA CSB-EP608834RA-B |
Recombinant Rat Matrix metalloproteinase-14 (Mmp14), partial | Yeast E.coli Baculovirus Mammalian cell In Vivo Biotinylation in E.coli |
MMP14 Proteins for Pongo abelii (Sumatran orangutan)
| 產品貨號 | 產品名稱 | 來源 |
|---|---|---|
| CSB-YP725453PYX CSB-EP725453PYX CSB-BP725453PYX CSB-MP725453PYX CSB-EP725453PYX-B |
Recombinant Pongo abelii Matrix metalloproteinase-14 (MMP14), partial | Yeast E.coli Baculovirus Mammalian cell In Vivo Biotinylation in E.coli |
MMP14 Proteins for Oryctolagus cuniculus (Rabbit)
| 產品貨號 | 產品名稱 | 來源 |
|---|---|---|
| CSB-YP839160RB CSB-EP839160RB CSB-BP839160RB CSB-MP839160RB CSB-EP839160RB-B |
Recombinant Rabbit Matrix metalloproteinase-14 (MMP14), partial | Yeast E.coli Baculovirus Mammalian cell In Vivo Biotinylation in E.coli |
MMP14 Proteins for Bos taurus (Bovine)
| 產品貨號 | 產品名稱 | 來源 |
|---|---|---|
| CSB-YP884395BO CSB-EP884395BO CSB-BP884395BO CSB-MP884395BO CSB-EP884395BO-B |
Recombinant Bovine Matrix metalloproteinase-14 (MMP14), partial | Yeast E.coli Baculovirus Mammalian cell In Vivo Biotinylation in E.coli |
MMP14 Proteins for Sus scrofa (Pig)
| 產品貨號 | 產品名稱 | 來源 |
|---|---|---|
| CSB-YP896435PI CSB-EP896435PI CSB-BP896435PI CSB-MP896435PI CSB-EP896435PI-B |
Recombinant Pig Matrix metalloproteinase-14 (MMP14), partial | Yeast E.coli Baculovirus Mammalian cell In Vivo Biotinylation in E.coli |
MMP14 ELISA Kit
MMP14 ELISA Kit for Homo sapiens (Human)
| 產品貨號 | 產品名稱 | 樣本類型 | 靈敏度 |
|---|---|---|---|
| CSB-E13157h | Human Matrix Metalloproteinase 14,MMP-14 ELISA Kit | serum, plasma, tissue homogenates | 0.01 ng/ml |






