LGMN
LGMN,全稱為LGMN(Lysyl-tRNA synthetase interacting protein 1),是一種參與蛋白質合成的重要調控蛋白。該蛋白也被稱為LysRS-interacting protein 1,主要在細胞核內發揮作用,通過與其他蛋白的相互作用影響翻譯過程。LGMN蛋白在多種細胞活動中扮演關鍵角色,包括細胞增殖、分化和凋亡。研究表明,LGMN蛋白的表達水平與多種疾病密切相關,尤其是癌癥和自身免疫性疾病。在癌癥中,LGMN蛋白的異常表達可能促進腫瘤生長和轉移;而在自身免疫性疾病中,LGMN蛋白的失調則可能加劇炎癥反應。
近年來,針對LGMN蛋白的藥物研發取得了一定進展。由于其在疾病發生發展中的重要作用,LGMN蛋白成為藥物設計的潛在靶點。目前,已有多種靶向LGMN蛋白的小分子抑制劑進入臨床試驗階段,旨在通過抑制其功能來治療癌癥和自身免疫性疾病。例如,某款正在研發的靶向LGMN蛋白的抗體藥物,在早期臨床試驗中顯示出良好的抗腫瘤活性,為患者提供了新的治療選擇。隨著研究的深入,LGMN蛋白有望成為未來藥物研發的重要方向。
熱銷產品
Recombinant Macaca fascicularis Legumain (LGMN) (Active) (CSB-MP012903MOV1)
驗證數據
(Tris-Glycine gel) Discontinuous SDS-PAGE (reduced) with 5% enrichment gel and 15% separation gel.
Activity
Measured by its ability to cleave the fluorogenic peptide substrate, N-carbobenzyloxy-Ala-Ala-Asn-7-amido-4-methylcoumarin (Z-AAN-AMC). The specific activity is >500 pmol/min/μg.
Recombinant Human Legumain (LGMN) (Active) (CSB-MP012903HU(A4))
驗證數據
(Tris-Glycine gel) Discontinuous SDS-PAGE (reduced) with 5% enrichment gel and 15% separation gel.
Activity
Measured by its ability to cleave the fluorogenic peptide substrate, N-carbobenzyloxy-Ala-Ala-Asn-7-amido-4-methylcoumarin (Z-AAN-AMC). The specific activity is >400 pmol/min/μg.
Recombinant Mouse Legumain (Lgmn) (Active) (CSB-MP012903MO1)
驗證數據
(Tris-Glycine gel) Discontinuous SDS-PAGE (reduced) with 5% enrichment gel and 15% separation gel.
Activity
Measured by its ability to cleave the fluorogenic peptide substrate, N-carbobenzyloxy-Ala-Ala-Asn-7-amido-4-methylcoumarin (Z-AAN-AMC). The specific activity is >400 pmol/min/μg.
Recombinant Human Legumain (LGMN) (CSB-EP012903HU)
驗證數據
(Tris-Glycine gel) Discontinuous SDS-PAGE (reduced) with 5% enrichment gel and 15% separation gel.
LGMN Antibody (CSB-PA012903LA01HU)
驗證數據
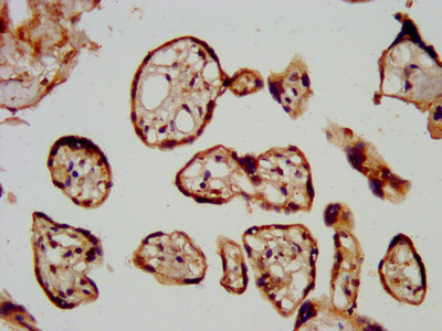
IHC image of CSB-PA012903LA01HU diluted at 1:600 and staining in paraffin-embedded human placenta tissue performed on a Leica BondTM system. After dewaxing and hydration, antigen retrieval was mediated by high pressure in a citrate buffer (pH 6.0). Section was blocked with 10% normal goat serum 30min at RT. Then primary antibody (1% BSA) was incubated at 4°C overnight. The primary is detected by a biotinylated secondary antibody and visualized using an HRP conjugated SP system.
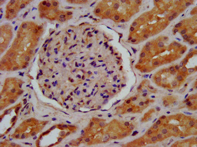
IHC image of CSB-PA012903LA01HU diluted at 1:600 and staining in paraffin-embedded human kidney tissue performed on a Leica BondTM system. After dewaxing and hydration, antigen retrieval was mediated by high pressure in a citrate buffer (pH 6.0). Section was blocked with 10% normal goat serum 30min at RT. Then primary antibody (1% BSA) was incubated at 4°C overnight. The primary is detected by a biotinylated secondary antibody and visualized using an HRP conjugated SP system.
Human Legumain(LGMN) ELISA kit (CSB-EL012903HU)
驗證數據
貨號:CSB-EL012903HU
規格:96T/48T
靈敏度:15.6 pg/mL
檢測范圍:62.5 pg/mL-4000 pg/mL
These standard curves are provided for demonstration only. A standard curve should be generated for each set of samples assayed.
LGMN Antibodies
LGMN for Homo sapiens (Human)
| 產品貨號 | 產品名稱 | 種屬反應性 | 應用類型 |
|---|---|---|---|
| CSB-PA012903LA01HU | LGMN Antibody | Human | ELISA, IHC |
| CSB-PA012903LB01HU | LGMN Antibody, HRP conjugated | Human | ELISA |
| CSB-PA012903LC01HU | LGMN Antibody, FITC conjugated | Human | |
| CSB-PA012903LD01HU | LGMN Antibody, Biotin conjugated | Human | ELISA |
LGMN Proteins
LGMN Proteins for Mus musculus (Mouse)
| 產品貨號 | 產品名稱 | 來源 |
|---|---|---|
| CSB-YP012903MO | Recombinant Mouse Legumain (Lgmn) | Yeast |
| CSB-EP012903MO | Recombinant Mouse Legumain (Lgmn) | E.coli |
| CSB-BP012903MO CSB-MP012903MO CSB-EP012903MO-B |
Recombinant Mouse Legumain (Lgmn) | Baculovirus Mammalian cell In Vivo Biotinylation in E.coli |
LGMN Proteins for Pongo abelii (Sumatran orangutan)
| 產品貨號 | 產品名稱 | 來源 |
|---|---|---|
| CSB-YP012903PYX CSB-EP012903PYX CSB-BP012903PYX CSB-MP012903PYX CSB-EP012903PYX-B |
Recombinant Pongo abelii Legumain (LGMN) | Yeast E.coli Baculovirus Mammalian cell In Vivo Biotinylation in E.coli |
LGMN Proteins for Bos taurus (Bovine)
| 產品貨號 | 產品名稱 | 來源 |
|---|---|---|
| CSB-YP012903BO CSB-EP012903BO CSB-BP012903BO CSB-MP012903BO CSB-EP012903BO-B |
Recombinant Bovine Legumain (LGMN) | Yeast E.coli Baculovirus Mammalian cell In Vivo Biotinylation in E.coli |
LGMN Proteins for Homo sapiens (Human)
| 產品貨號 | 產品名稱 | 來源 |
|---|---|---|
| CSB-YP012903HU | Recombinant Human Legumain (LGMN) | Yeast |
| CSB-EP012903HU | Recombinant Human Legumain (LGMN) | E.coli |
| CSB-BP012903HU CSB-MP012903HU CSB-EP012903HU-B |
Recombinant Human Legumain (LGMN) | Baculovirus Mammalian cell In Vivo Biotinylation in E.coli |
| CSB-YP012903HU(A4) | Recombinant Human Legumain(LGMN) | Yeast |
LGMN Proteins for Rattus norvegicus (Rat)
| 產品貨號 | 產品名稱 | 來源 |
|---|---|---|
| CSB-YP012903RA CSB-EP012903RA CSB-BP012903RA CSB-MP012903RA CSB-EP012903RA-B |
Recombinant Rat Legumain (Lgmn) | Yeast E.coli Baculovirus Mammalian cell In Vivo Biotinylation in E.coli |
LGMN Proteins for Macaca fascicularis (Crab-eating macaque) (Cynomolgus monkey)
| 產品貨號 | 產品名稱 | 來源 |
|---|---|---|
| CSB-YP012903MOV CSB-BP012903MOV CSB-MP012903MOV CSB-EP012903MOV-B |
Recombinant Macaca fascicularis Legumain (LGMN) | Yeast Baculovirus Mammalian cell In Vivo Biotinylation in E.coli |
| CSB-EP012903MOV | Recombinant Macaca fascicularis Legumain (LGMN) | E.coli |
| CSB-BP012903MOVb1 | Recombinant Macaca fascicularis Legumain (LGMN) | Baculovirus |
LGMN ELISA Kit
LGMN ELISA Kit for Homo sapiens (Human)
| 產品貨號 | 產品名稱 | 樣本類型 | 靈敏度 |
|---|---|---|---|
| CSB-EL012903HU | Human Legumain(LGMN) ELISA kit | serum, plasma, tissue homogenates | 15.6 pg/mL |






