LGALS8
LGALS8,即半乳糖凝集素8,別名Gal-8、PCTA1、PCTA-1、Po66-CBP。它是由人類LGALS8基因編碼的蛋白質,屬于半乳糖凝集素家族。半乳糖凝集素是一類能夠結合β-半乳糖苷的動物凝集素,具有保守的碳水化合物識別結構域,涉及許多基本生物學功能,如發育、分化、細胞間粘附、細胞與基質的相互作用、生長調節、細胞凋亡和RNA剪接。LGALS8能夠誘導腫瘤免疫抑制,通過分析動物模型和臨床數據發現,LGALS8表達的腫瘤中,抑制性免疫細胞(如Tregs和MDSCs)擴增,而CD8+細胞減少,直接證明了LGALS8調節腫瘤免疫微環境的能力。此外,LGALS8與淋巴結轉移和免疫表型相關,其表達水平與腫瘤的預后和進展有關,表明它在腫瘤發展中的重要作用。
熱銷產品
Recombinant Human Galectin-8 (LGALS8) (Active) (CSB-EP012894HU)
驗證數據
(Tris-Glycine gel) Discontinuous SDS-PAGE (reduced) with 5% enrichment gel and 15% separation gel.
Activity
Measured by its binding ability in a functional ELISA. Immobilized SLC31A1 at 5 μg/ml can bind human LGALS8, the EC50 of human LGALS8 is 373.90-524.30 μg/ml.
LGALS8 Antibody (CSB-PA012894ESR2HU)
驗證數據
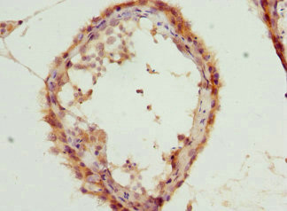
Immunohistochemistry of paraffin-embedded human testis tissue using CSB-PA012894ESR2HU at dilution of 1:100
Immunohistochemistry of paraffin-embedded human prostate cancer using CSB-PA012894ESR2HU at dilution of 1:100
LGALS8 Antibodies
LGALS8 for Homo sapiens (Human)
| 產品貨號 | 產品名稱 | 種屬反應性 | 應用類型 |
|---|---|---|---|
| CSB-PA067074 | LGALS8 Antibody | Human,Mouse | ELISA,WB,IHC |
| CSB-PA009823 | LGALS8 Antibody | Human,Mouse | WB, IHC, IF, ELISA |
| CSB-PA276679 | LGALS8 Antibody | Human | ELISA,IHC |
| CSB-PA130656 | LGALS8 Antibody | Human | ELISA,IHC |
| CSB-PA012894ESR2HU | LGALS8 Antibody | Human | ELISA, IHC |
LGALS8 Proteins
LGALS8 Proteins for Homo sapiens (Human)
| 產品貨號 | 產品名稱 | 來源 |
|---|---|---|
| CSB-YP012894HU CSB-BP012894HU CSB-MP012894HU CSB-EP012894HU-B |
Recombinant Human Galectin-8 (LGALS8) | Yeast Baculovirus Mammalian cell In Vivo Biotinylation in E.coli |
| CSB-EP012894HU | Recombinant Human Galectin-8 (LGALS8) (Active) | E.coli |
LGALS8 ELISA Kit
LGALS8 ELISA Kit for Homo sapiens (Human)
| 產品貨號 | 產品名稱 | 樣本類型 | 靈敏度 |
|---|---|---|---|
| CSB-EL012894HU | Human Galectin-8(LGALS8) ELISA kit | serum, plasma, tissue homogenates | 7.8 pg/mL |






