KPNB1
KPNB1,全稱為核轉運蛋白β1,是一種參與細胞核質運輸的關鍵蛋白。別名包括IMB1、IPO1、IPOB、Impnb和NTF97。KPNB1蛋白在細胞核質運輸中發揮著重要作用,能夠識別并結合含有核定位信號的蛋白質,介導這些蛋白質的入核過程。此外,KPNB1蛋白還參與有絲分裂過程,對腫瘤細胞的惡性增殖至關重要。KPNB1蛋白的表達與多種腫瘤的惡性程度及患者生存率正相關,是潛在的致病基因。研究表明,抑制KPNB1可以誘導腫瘤細胞凋亡,因此KPNB1成為抗腫瘤藥物研發的重要靶點。目前,已有研究揭示KPNB1抑制劑與Bcl-xL抑制劑聯合使用,在治療膠質瘤和急性髓系白血病等方面具有協同效應。此外,KPNB1蛋白還與PD-L1的核轉運激活Gas6/MerTK信號通路有關,參與非小細胞肺癌的發生發展。這些發現為KPNB1蛋白相關疾病的治療提供了新的思路和策略。
熱銷產品
Recombinant Human Importin subunit beta-1 (KPNB1) (CSB-EP622929HU(A4))
驗證數據
(Tris-Glycine gel) Discontinuous SDS-PAGE (reduced) with 5% enrichment gel and 15% separation gel.
KPNB1 Antibody (CSB-PA622929LA01HU)
驗證數據
Western Blot
Positive WB detected in: HepG2 whole cell lysate, 293T whole cell lysate, U251 whole cell lysate, Jurkat whole cell lysate
All lanes: KPNB1 antibody at 1:2000
Secondary
Goat polyclonal to rabbit IgG at 1/50000 dilution
Predicted band size: 98, 82 kDa
Observed band size: 98 kDa
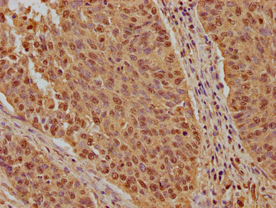
IHC image of CSB-PA622929LA01HU diluted at 1:200 and staining in paraffin-embedded human cervical cancer performed on a Leica BondTM system. After dewaxing and hydration, antigen retrieval was mediated by high pressure in a citrate buffer (pH 6.0). Section was blocked with 10% normal goat serum 30min at RT. Then primary antibody (1% BSA) was incubated at 4°C overnight. The primary is detected by a biotinylated secondary antibody and visualized using an HRP conjugated SP system.
KPNB1 Antibodies
KPNB1 for Homo sapiens (Human)
| 產品貨號 | 產品名稱 | 種屬反應性 | 應用類型 |
|---|---|---|---|
| CSB-PA012490GA01HU | KPNB1 Antibody | Human,Mouse | ELISA,WB,IHC |
| CSB-PA244093 | KPNB1 Antibody | Human,Mouse,Rat | ELISA,IHC |
| CSB-PA622929LA01HU | KPNB1 Antibody | Human | ELISA, WB, IHC |
| CSB-PA622929LB01HU | KPNB1 Antibody, HRP conjugated | Human | ELISA |
| CSB-PA622929LC01HU | KPNB1 Antibody, FITC conjugated | Human | |
| CSB-PA622929LD01HU | KPNB1 Antibody, Biotin conjugated | Human | ELISA |
KPNB1 Proteins
KPNB1 Proteins for Homo sapiens (Human)
| 產品貨號 | 產品名稱 | 來源 |
|---|---|---|
| CSB-YP622929HU CSB-EP622929HU CSB-BP622929HU CSB-MP622929HU CSB-EP622929HU-B |
Recombinant Human Importin subunit beta-1 (KPNB1), partial | Yeast E.coli Baculovirus Mammalian cell In Vivo Biotinylation in E.coli |
| CSB-EP622929HU(A4) | Recombinant Human Importin subunit beta-1 (KPNB1) | E.coli |
| CSB-EP622929HU(A4)a0 | Recombinant Human Importin subunit beta-1 (KPNB1) | E.coli |
| CSB-YP622929HU(A4) | Recombinant Human Importin subunit beta-1 (KPNB1) | Yeast |






