KLF4
KLF4。即Krüppel樣因子4,別名GKLF、epithelial zinc finger protein EZF等。它是一種轉錄因子,主要在結腸癌、胃癌等多種癌癥的腫瘤組織中表達,并在細胞增殖、分化、胚胎發育等重要生命過程中發揮作用。KLF4的作用機制涉及通過與下游基因啟動子區的結合元件相結合,直接調控下游基因的轉錄。KLF4具有抑癌和促癌的雙重調節作用,在腫瘤發生、血管重構等生理病理過程中起到重要作用。此外,KLF4是體細胞重編程為誘導多能干細胞(iPS細胞)的重要誘導因子之一,對于臨床醫學上基因治療技術的應用具有潛在的研究價值。
熱銷產品
KLF4 Antibody (CSB-PA012394DSR2HU)
驗證數據
Western blot
All lanes: Krueppel-like factor 4 antibody at 5μg/ml + 293T whole cell lysate
Secondary
Goat polyclonal to rabbit IgG at 1/10000 dilution
Predicted band size: 55, 52, 46, 13, 7 kDa
Observed band size: 55 kDa
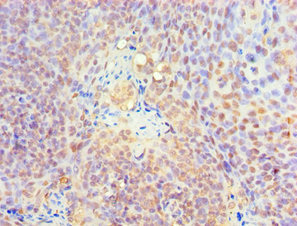
Immunohistochemistry of paraffin-embedded human tonsil tissue using CSB-PA012394DSR2HU at dilution of 1:100
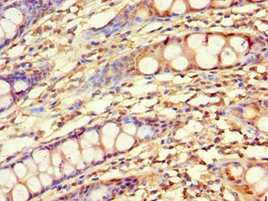
Immunohistochemistry of paraffin-embedded human colon tissue using CSB-PA012394DSR2HU at dilution of 1:100
Human Krueppel-like factor 4(KLF4) ELISA kit (CSB-EL012394HU)
驗證數據
貨號:CSB-EL012394HU
規格:96T/48T
靈敏度:4.6 pg/mL
檢測范圍:18.75 pg/mL-1200 pg/mL
These standard curves are provided for demonstration only. A standard curve should be generated for each set of samples assayed.
KLF4 Antibodies
KLF4 for Homo sapiens (Human)
| 產品貨號 | 產品名稱 | 種屬反應性 | 應用類型 |
|---|---|---|---|
| CSB-PA012394GA01HU | KLF4 Antibody | Human,Mouse,Rat | ELISA,WB,IF |
| CSB-PA012394DSR2HU | KLF4 Antibody | Human | ELISA, WB, IHC |
| CSB-RA194949A0HU | KLF4 Recombinant Monoclonal Antibody | Human | ELISA, WB, IHC, IF, IP |
KLF4 Proteins
KLF4 Proteins for Homo sapiens (Human)
| 產品貨號 | 產品名稱 | 來源 |
|---|---|---|
| CSB-YP012394HU CSB-EP012394HU CSB-BP012394HU CSB-MP012394HU CSB-EP012394HU-B |
Recombinant Human Krueppel-like factor 4 (KLF4) | Yeast E.coli Baculovirus Mammalian cell In Vivo Biotinylation in E.coli |
KLF4 Proteins for Mus musculus (Mouse)
| 產品貨號 | 產品名稱 | 來源 |
|---|---|---|
| CSB-YP730657MO CSB-EP730657MO CSB-BP730657MO CSB-MP730657MO CSB-EP730657MO-B |
Recombinant Mouse Krueppel-like factor 4 (Klf4) | Yeast E.coli Baculovirus Mammalian cell In Vivo Biotinylation in E.coli |
KLF4 ELISA Kit
KLF4 ELISA Kit for Homo sapiens (Human)
| 產品貨號 | 產品名稱 | 樣本類型 | 靈敏度 |
|---|---|---|---|
| CSB-EL012394HU | Human Krueppel-like factor 4(KLF4) ELISA kit | serum, plasma, tissue homogenates, cell lysates | 4.6 pg/mL |






