KDM4C
KDM4C,全稱組蛋白去甲基化酶4C,是一種參與表觀遺傳調控的關鍵蛋白。它能夠去除組蛋白上的特定甲基標記,從而影響基因的開啟或關閉。KDM4C在多種惡性腫瘤中表達異常,與癌細胞的生長、侵襲和轉移密切相關。研究發現,KDM4C在基底細胞樣乳腺癌中具有致癌作用,通過激活組織蛋白酶L(CTSL)介導的組蛋白H3剪切,導致谷胱甘肽合成受阻,進而引發氧化應激,最終抑制腫瘤生長。這一發現為基底細胞樣乳腺癌的治療提供了新的靶點。目前,針對KDM4C的小分子抑制劑ML324和QC6352已在臨床前研究中顯示出良好的抗腫瘤效果,有望成為治療這種高侵襲性乳腺癌的新型藥物。此外,KDM4C-GSH-CTSL軸與鉑類化療敏感性存在關聯,未來的治療策略可能涉及KDM4C抑制劑與靶向谷胱甘肽通路的藥物進行聯合用藥,為基底細胞樣乳腺癌患者帶來新的希望。
熱銷產品
KDM4C Antibody (CSB-PA872489HA01HU)
驗證數據
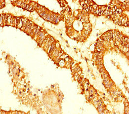
Immunohistochemistry of paraffin-embedded human endometrial cancer using CSB-PA872489HA01HU at dilution of 1:100
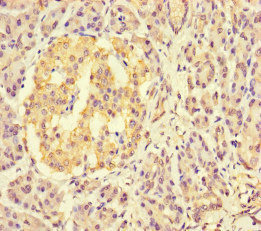
Immunohistochemistry of paraffin-embedded human pancreatic tissue using CSB-PA872489HA01HU at dilution of 1:100
KDM4C Antibodies
KDM4C for Homo sapiens (Human)
| 產品貨號 | 產品名稱 | 種屬反應性 | 應用類型 |
|---|---|---|---|
| CSB-PA858652 | KDM4C Antibody | Human,Mouse | ELISA,WB |
| CSB-PA920470 | KDM4C Antibody | Human,Mouse | ELISA,WB |
| CSB-PA872489HA01HU | KDM4C Antibody | Human | ELISA, IHC |
KDM4C Proteins
KDM4C Proteins for Homo sapiens (Human)
| 產品貨號 | 產品名稱 | 來源 |
|---|---|---|
| CSB-YP872489HU CSB-EP872489HU CSB-BP872489HU CSB-MP872489HU CSB-EP872489HU-B |
Recombinant Human Lysine-specific demethylase 4C (KDM4C), partial | Yeast E.coli Baculovirus Mammalian cell In Vivo Biotinylation in E.coli |






