IGF2BP2
IGF2BP2,全稱為Insulin-like growth factor 2 mRNA-binding protein 2,別名IMP2或VICKZ2,是一種RNA結合蛋白,主要功能是結合胰島素樣生長因子2(IGF2)的mRNA,調節其翻譯效率。該蛋白在多種組織中表達,與細胞代謝密切相關,參與調節細胞生長、分化和代謝等過程。IGF2BP2在多種癌癥中高表達,如頭頸部鱗癌、口腔鱗狀細胞癌、喉癌、鼻咽癌和下咽癌等,與腫瘤的分期、淋巴結轉移及不良預后相關。研究表明,IGF2BP2通過結合靶mRNA(如IGF2、MYC和β-catenin等)促進其穩定性和翻譯效率,從而影響細胞生長、分化和代謝。此外,IGF2BP2還與miRNAs、lncRNAs和circRNAs等非編碼RNA相互作用,共同參與對靶mRNA的調控。目前,針對IGF2BP2的藥物研發尚處于早期階段,但已發現一些能夠干擾IGF2BP2與關鍵靶mRNA結合的小分子化合物,為癌癥治療提供了新的思路。
熱銷產品
IGF2BP2 Antibody (CSB-PA908724)
驗證數據
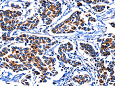
The image on the left is immunohistochemistry of paraffin-embedded Human esophagus cancer tissue using CSB-PA908724(IGF2BP2 Antibody) at dilution 1/15, on the right is treated with fusion protein. (Original magnification: ×200)
The image on the left is immunohistochemistry of paraffin-embedded Human breast cancer tissue using CSB-PA908724(IGF2BP2 Antibody) at dilution 1/15, on the right is treated with fusion protein. (Original magnification: ×200)
Gel: 8%SDS-PAGE, Lysate: 40 μg, Lane: Jurkat cells, Primary antibody: CSB-PA908724(IGF2BP2 Antibody) at dilution 1/300, Secondary antibody: Goat anti rabbit IgG at 1/8000 dilution, Exposure time: 40 seconds
Human Insulin-like growth factor 2 mRNA-binding protein 2(IGF2BP2) ELISA kit (CSB-EL011091HU)
驗證數據
貨號:CSB-EL011091HU
規格:96T/48T
靈敏度:31.25 pg/mL
檢測范圍:125 pg/mL-8000 pg/mL
These standard curves are provided for demonstration only. A standard curve should be generated for each set of samples assayed.
IGF2BP2 Antibodies
IGF2BP2 for Homo sapiens (Human)
| 產品貨號 | 產品名稱 | 種屬反應性 | 應用類型 |
|---|---|---|---|
| CSB-PA011091GA01HU | IGF2BP2 Antibody | Human,Mouse,Rat | ELISA,WB,IHC |
| CSB-PA006676 | IGF2BP2 Antibody | Human | WB, ELISA |
| CSB-PA908724 | IGF2BP2 Antibody | Human,Mouse | ELISA,WB,IHC |
| CSB-PA215752 | IGF2BP2 Antibody | Human,Mouse | ELISA,WB |
IGF2BP2 Proteins
IGF2BP2 Proteins for Homo sapiens (Human)
| 產品貨號 | 產品名稱 | 來源 |
|---|---|---|
| CSB-YP897316HU CSB-EP897316HU CSB-BP897316HU CSB-MP897316HU CSB-EP897316HU-B |
Recombinant Human Insulin-like growth factor 2 mRNA-binding protein 2 (IGF2BP2) | Yeast E.coli Baculovirus Mammalian cell In Vivo Biotinylation in E.coli |
IGF2BP2 ELISA Kit
IGF2BP2 ELISA Kit for Homo sapiens (Human)
| 產品貨號 | 產品名稱 | 樣本類型 | 靈敏度 |
|---|---|---|---|
| CSB-EL011091HU | Human Insulin-like growth factor 2 mRNA-binding protein 2(IGF2BP2) ELISA kit | serum, plasma, tissue homogenates, cell lysates | 31.25 pg/mL |






