IDUA
IDUA(Iduronidase)是一種屬于糖苷水解酶家族的溶酶體酶,其結構復雜,包含多個催化位點和底物結合位點,能夠識別和分解硫酸艾杜糖醛酸,這是黏多糖代謝中的關鍵步驟。IDUA的主要功能是催化硫酸艾杜糖醛酸的水解,維持細胞外基質的穩態和正常生理功能。盡管IDUA不直接參與信號轉導,但它在黏多糖代謝中的作用可能間接影響某些信號通路,如通過影響細胞表面的受體與配體相互作用以及細胞間相互作用來改變細胞對外部刺激的響應。IDUA的缺乏會導致黏多糖累積病,如粘多糖貯積癥I型(Hurler綜合征),這突顯了IDUA在人體健康中的重要作用。
熱銷產品
IDUA Antibody (CSB-PA011000LA01HU)
驗證數據
IHC image of CSB-PA011000LA01HU diluted at 1:300 and staining in paraffin-embedded human prostate cancer performed on a Leica BondTM system. After dewaxing and hydration, antigen retrieval was mediated by high pressure in a citrate buffer (pH 6.0). Section was blocked with 10% normal goat serum 30min at RT. Then primary antibody (1% BSA) was incubated at 4°C overnight. The primary is detected by a biotinylated secondary antibody and visualized using an HRP conjugated SP system.
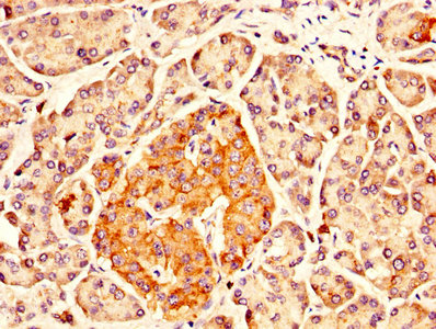
IHC image of CSB-PA011000LA01HU diluted at 1:300 and staining in paraffin-embedded human pancreatic tissue performed on a Leica BondTM system. After dewaxing and hydration, antigen retrieval was mediated by high pressure in a citrate buffer (pH 6.0). Section was blocked with 10% normal goat serum 30min at RT. Then primary antibody (1% BSA) was incubated at 4°C overnight. The primary is detected by a biotinylated secondary antibody and visualized using an HRP conjugated SP system.
IDUA Antibodies
IDUA for Homo sapiens (Human)
| 產品貨號 | 產品名稱 | 種屬反應性 | 應用類型 |
|---|---|---|---|
| CSB-PA011000GA01HU | IDUA Antibody | Human,Mouse,Rat | ELISA,WB |
| CSB-PA011000LA01HU | IDUA Antibody | Human | ELISA, IHC |
| CSB-PA011000LB01HU | IDUA Antibody, HRP conjugated | Human | ELISA |
| CSB-PA011000LC01HU | IDUA Antibody, FITC conjugated | Human | |
| CSB-PA011000LD01HU | IDUA Antibody, Biotin conjugated | Human | ELISA |
IDUA Proteins
IDUA Proteins for Homo sapiens (Human)
| 產品貨號 | 產品名稱 | 來源 |
|---|---|---|
| CSB-YP011000HU | Recombinant Human Alpha-L-iduronidase (IDUA) | Yeast |
| CSB-EP011000HU | Recombinant Human Alpha-L-iduronidase (IDUA) | E.coli |
| CSB-BP011000HU CSB-MP011000HU CSB-EP011000HU-B |
Recombinant Human Alpha-L-iduronidase (IDUA) | Baculovirus Mammalian cell In Vivo Biotinylation in E.coli |
| CSB-EP011000HUa2 | Recombinant Human Alpha-L-iduronidase (IDUA) | E.coli |
IDUA ELISA Kit
IDUA ELISA Kit for Homo sapiens (Human)
| 產品貨號 | 產品名稱 | 樣本類型 | 靈敏度 |
|---|---|---|---|
| CSB-E09455h | Human α-L-iduronidase,IDUA ELISA Kit | serum, plasma, cell lysates, tissue homogenates | 0.039 ng/mL |






