HSPA5
HSPA5,即熱休克蛋白家族A成員5”,別名BiP、GRP78。它是一種分子伴侶蛋白,主要在內質網中發揮作用,由人體細胞自身的基因編碼。HSPA5的作用機制涉及幫助蛋白質的正確折疊、組裝和運輸。當細胞受到各種應激條件,如熱休克、氧化應激或營養物質缺乏時,HSPA5的表達會顯著增加,以應對蛋白質折疊錯誤和聚集的問題。HSPA5通過形成復合體與未折疊或錯誤折疊的蛋白質結合,防止它們聚集,并促進其正確折疊或重折疊。HSPA5在生物學上的意義主要體現在其對細胞應激反應的調控和蛋白質穩態的維持上。作為內質網應激反應的關鍵分子伴侶,HSPA5參與了未折疊蛋白反應(UPR),在細胞適應和生存中發揮重要作用。HSPA5還與多種細胞過程相關,包括細胞信號傳導、細胞周期控制、細胞凋亡以及免疫應答。在腫瘤細胞中,HSPA5的高表達與腫瘤細胞的增殖、侵襲和化療抗性有關,使其成為癌癥治療中的潛在靶點。此外,HSPA5在神經退行性疾病中也有重要作用,其功能異??赡芘c疾病的發生發展相關。
熱銷產品
Recombinant Cricetulus griseus Endoplasmic reticulum chaperone BiP (HSPA5) (Active) (CSB-MP6869DXU)
驗證數據
(Tris-Glycine gel) Discontinuous SDS-PAGE (reduced) with 5% enrichment gel and 15% separation gel.
Activity
Measured by its binding ability in a functional ELISA. Immobilized Cricetulus griseus HSPA5 at 2 μg/ml can bind Anti-HSPA5 recombinant antibody (CSB-RA010827MA1HU). The EC50 is 1.884-2.205 ng/mL.
Recombinant Human Endoplasmic reticulum chaperone BiP (HSPA5), partial (CSB-EP010827HU1)
驗證數據
(Tris-Glycine gel) Discontinuous SDS-PAGE (reduced) with 5% enrichment gel and 15% separation gel.
HSPA5 Recombinant Monoclonal Antibody (CSB-RA847116A0HU)
驗證數據
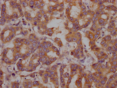
IHC image of CSB-RA847116A0HU diluted at 1:100 and staining in paraffin-embedded human breast cancer performed on a Leica BondTM system. After dewaxing and hydration, antigen retrieval was mediated by high pressure in a citrate buffer (pH 6.0). Section was blocked with 10% normal goat serum 30min at RT. Then primary antibody (1% BSA) was incubated at 4℃ overnight. The primary is detected by a Goat anti-rabbit IgG polymer labeled by HRP and visualized using 0.05% DAB.
HSPA5 Antibodies
HSPA5 for Homo sapiens (Human)
| 產品貨號 | 產品名稱 | 種屬反應性 | 應用類型 |
|---|---|---|---|
| CSB-PA010827GA01HU | HSPA5 Antibody | Human,Mouse,Rat,Zebrafish | ELISA,WB,IHC |
| CSB-PA05027A0Rb | HSPA5 Antibody | Human | ELISA, WB, IHC, IF |
| CSB-PA05027B0Rb | HSPA5 Antibody, HRP conjugated | Human | ELISA |
| CSB-PA002981 | HSPA5 Antibody | Human,Mouse,Rat,Monkey | WB, IHC, IF, ELISA |
| CSB-PA873500 | HSPA5 Antibody | Human,Mouse,Rat | WB,IHC,ELISA |
| CSB-RA847116A0HU | HSPA5 Recombinant Monoclonal Antibody | Human | ELISA, IHC |
HSPA5 for Mus musculus (Mouse)
| 產品貨號 | 產品名稱 | 種屬反應性 | 應用類型 |
|---|---|---|---|
| CSB-PA010827YA01MO | Hspa5 Antibody | Mouse, Rat | ELISA, WB, IF |
| CSB-PA010827YB01MO | Hspa5 Antibody, HRP conjugated | Mouse | ELISA |
| CSB-PA010827YC01MO | Hspa5 Antibody, FITC conjugated | Mouse | |
| CSB-PA010827YD01MO | Hspa5 Antibody, Biotin conjugated | Mouse | ELISA |
HSPA5 Proteins
HSPA5 Proteins for Homo sapiens (Human)
| 產品貨號 | 產品名稱 | 來源 |
|---|---|---|
| CSB-BP010827HU CSB-MP010827HU CSB-EP010827HU-B |
Recombinant Human Endoplasmic reticulum chaperone BiP (HSPA5) | Baculovirus Mammalian cell In Vivo Biotinylation in E.coli |
| CSB-EP010827HU1 | Recombinant Human Endoplasmic reticulum chaperone BiP (HSPA5), partial | E.coli |
| CSB-EP010827HU | Recombinant Human Endoplasmic reticulum chaperone BiP (HSPA5) | E.coli |
| CSB-YP010827HU | Recombinant Human Endoplasmic reticulum chaperone BiP (HSPA5) | Yeast |
HSPA5 Proteins for Mus musculus (Mouse)
| 產品貨號 | 產品名稱 | 來源 |
|---|---|---|
| CSB-YP010827MO | Recombinant Mouse Endoplasmic reticulum chaperone BiP (Hspa5) | Yeast |
| CSB-EP010827MO | Recombinant Mouse Endoplasmic reticulum chaperone BiP (Hspa5) | E.coli |
| CSB-BP010827MO CSB-MP010827MO CSB-EP010827MO-B |
Recombinant Mouse Endoplasmic reticulum chaperone BiP (Hspa5) | Baculovirus Mammalian cell In Vivo Biotinylation in E.coli |
HSPA5 Proteins for Equus caballus (Horse)
| 產品貨號 | 產品名稱 | 來源 |
|---|---|---|
| CSB-YP010827HO CSB-EP010827HO CSB-BP010827HO CSB-MP010827HO CSB-EP010827HO-B |
Recombinant Horse 78 kDa glucose-regulated protein (HSPA5) | Yeast E.coli Baculovirus Mammalian cell In Vivo Biotinylation in E.coli |
HSPA5 Proteins for Sus scrofa (Pig)
| 產品貨號 | 產品名稱 | 來源 |
|---|---|---|
| CSB-YP010827PI CSB-EP010827PI CSB-BP010827PI CSB-MP010827PI CSB-EP010827PI-B |
Recombinant Pig 78 kDa glucose-regulated protein (HSPA5) | Yeast E.coli Baculovirus Mammalian cell In Vivo Biotinylation in E.coli |
HSPA5 Proteins for Rattus norvegicus (Rat)
| 產品貨號 | 產品名稱 | 來源 |
|---|---|---|
| CSB-YP010827RA CSB-EP010827RA CSB-BP010827RA CSB-MP010827RA CSB-EP010827RA-B |
Recombinant Rat 78 kDa glucose-regulated protein (Hspa5) | Yeast E.coli Baculovirus Mammalian cell In Vivo Biotinylation in E.coli |
HSPA5 Proteins for Mesocricetus auratus (Golden hamster)
| 產品貨號 | 產品名稱 | 來源 |
|---|---|---|
| CSB-YP010827MRG CSB-EP010827MRG CSB-BP010827MRG CSB-MP010827MRG CSB-EP010827MRG-B |
Recombinant Mesocricetus auratus Endoplasmic reticulum chaperone BiP (HSPA5), partial | Yeast E.coli Baculovirus Mammalian cell In Vivo Biotinylation in E.coli |
HSPA5 Proteins for Bos taurus (Bovine)
| 產品貨號 | 產品名稱 | 來源 |
|---|---|---|
| CSB-YP604380BO CSB-EP604380BO CSB-BP604380BO CSB-MP604380BO CSB-EP604380BO-B |
Recombinant Bovine 78 kDa glucose-regulated protein (HSPA5), partial | Yeast E.coli Baculovirus Mammalian cell In Vivo Biotinylation in E.coli |
HSPA5 Proteins for Spermophilus tridecemlineatus (Thirteen-lined ground squirrel) (Ictidomys tridecemlineatus)
| 產品貨號 | 產品名稱 | 來源 |
|---|---|---|
| CSB-YP662144FKA CSB-EP662144FKA CSB-BP662144FKA CSB-MP662144FKA CSB-EP662144FKA-B |
Recombinant Spermophilus tridecemlineatus 78 kDa glucose-regulated protein (HSPA5), partial | Yeast E.coli Baculovirus Mammalian cell In Vivo Biotinylation in E.coli |
HSPA5 Proteins for Pongo abelii (Sumatran orangutan)
| 產品貨號 | 產品名稱 | 來源 |
|---|---|---|
| CSB-YP728890PYX CSB-EP728890PYX CSB-BP728890PYX CSB-MP728890PYX CSB-EP728890PYX-B |
Recombinant Pongo abelii 78 kDa glucose-regulated protein (HSPA5), partial | Yeast E.coli Baculovirus Mammalian cell In Vivo Biotinylation in E.coli |
HSPA5 Proteins for Gallus gallus (Chicken)
| 產品貨號 | 產品名稱 | 來源 |
|---|---|---|
| CSB-YP835454CH CSB-EP835454CH CSB-BP835454CH CSB-MP835454CH CSB-EP835454CH-B |
Recombinant Chicken 78 kDa glucose-regulated protein (HSPA5), partial | Yeast E.coli Baculovirus Mammalian cell In Vivo Biotinylation in E.coli |
HSPA5 Proteins for Xenopus laevis (African clawed frog)
| 產品貨號 | 產品名稱 | 來源 |
|---|---|---|
| CSB-YP852733XBE CSB-EP852733XBE CSB-BP852733XBE CSB-MP852733XBE CSB-EP852733XBE-B |
Recombinant Xenopus laevis Endoplasmic reticulum chaperone BiP (hspa5), partial | Yeast E.coli Baculovirus Mammalian cell In Vivo Biotinylation in E.coli |
HSPA5 ELISA Kit
HSPA5 ELISA Kit for Mus musculus (Mouse)
| 產品貨號 | 產品名稱 | 樣本類型 | 靈敏度 |
|---|---|---|---|
| CSB-E17690m | Mouse Glucose Regulated Protein 78(GRP78)Elisa kit | serum, plasma, tissue homogenates, cell lysates | 0.11 ng/mL |
HSPA5 ELISA Kit for Homo sapiens (Human)
| 產品貨號 | 產品名稱 | 樣本類型 | 靈敏度 |
|---|---|---|---|
| CSB-E12119h | Human immunoglobulin binding protein,BIP ELISA KIT | serum, tissue homogenates | 0.039 ng/mL |






