HSF1
HSF1,即熱休克轉錄因子1,也稱為HSTF1,是一種轉錄因子,在溫度脅迫后被迅速誘導,能夠結合熱休克啟動子元件(HSE)。這種蛋白質在調節壽命方面發揮作用,其表達受到磷酸化的抑制,磷酸化促進熱休克蛋白90的結合。HSF1是細胞熱休克蛋白(HSP)表達的主要調控因子,在不同物種中高度保守。
HSF1在應激反應中能啟動基因的轉錄過程,促進HSPs的表達,發揮耐受不良刺激、保持細胞完整性、減輕炎癥和參與免疫等重要適應性保護作用。
HSF1還能直接或間接調節許多非熱休克基因的表達,在正常的發育過程或病理事件中具有不依賴熱休克或其他細胞應激的重要功能。
熱銷產品
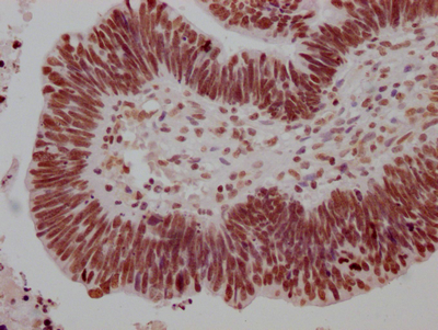
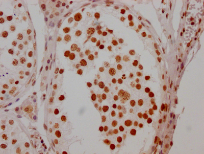
HSF1 Recombinant Monoclonal Antibody (CSB-RA279005A0HU)
驗證數據
IHC image of CSB-RA279005A0HU diluted at 1:100 and staining in paraffin-embedded human ovarian cancer performed on a Leica BondTM system. After dewaxing and hydration, antigen retrieval was mediated by high pressure in a citrate buffer (pH 6.0). Section was blocked with 10% normal goat serum 30min at RT. Then primary antibody (1% BSA) was incubated at 4℃ overnight. The primary is detected by a Goat anti-rabbit IgG polymer labeled by HRP and visualized using 0.05% DAB.
IHC image of CSB-RA279005A0HU diluted at 1:100 and staining in paraffin-embedded human testis tissue performed on a Leica BondTM system. After dewaxing and hydration, antigen retrieval was mediated by high pressure in a citrate buffer (pH 6.0). Section was blocked with 10% normal goat serum 30min at RT. Then primary antibody (1% BSA) was incubated at 4℃ overnight. The primary is detected by a Goat anti-rabbit IgG polymer labeled by HRP and visualized using 0.05% DAB.
HSF1 Antibodies
HSF1 for Homo sapiens (Human)
| 產品貨號 | 產品名稱 | 種屬反應性 | 應用類型 |
|---|---|---|---|
| CSB-PA010791GA01HU | HSF1 Antibody | Human,Mouse,Rat | ELISA,WB,IHC |
| CSB-PA966483 | Phospho-HSF1 (Ser307) Antibody | Human | ELISA,WB,IF |
| CSB-PA049595 | Phospho-HSF1 (Ser303) Antibody | Human | ELISA,WB,IHC |
| CSB-PA167700 | HSF1 (Ab-307) Antibody | Human | ELISA,WB,IHC |
| CSB-PA796250 | HSF1 (Ab-303) Antibody | Human | ELISA,WB,IHC |
| CSB-PA829409 | Phospho-HSF1 (Thr142) Antibody | Human,Mouse | ELISA,IHC |
| CSB-PA268961 | HSF1 (Ab-142) Antibody | Human,Mouse | ELISA,WB |
| CSB-PA616169 | HSF1 (Ab-121) Antibody | Human,Mouse | ELISA,WB |
| CSB-PA002974 | HSF1 Antibody | Human,Mouse | WB, IHC, IF, ELISA |
| CSB-PA009282 | Phospho-HSF1 (S303) Antibody | Human,Mouse | WB, IHC, IF, ELISA |
| CSB-PA009285 | Phospho-HSF1 (S121) Antibody | Human,Mouse | WB, IHC, ELISA |
| CSB-PA009287 | Phospho-HSF1 (T142) Antibody | Human,Mouse | IHC, ELISA |
| CSB-PA009288 | Phospho-HSF1 (S307) Antibody | Human | WB, IF, ELISA |
| CSB-PA009292 | HSF1 Antibody | Human,Mouse | WB, IHC, ELISA |
| CSB-PA009295 | HSF1 Antibody | Human,Mouse | WB, ELISA |
| CSB-PA009299 | HSF1 Antibody | Human | WB, ELISA |
| CSB-PA225962 | HSF1 Antibody | Human,Mouse | ELISA,IHC |
| CSB-PA249679 | HSF1 Antibody | Human,Mouse | ELISA,IHC |
| CSB-PA010791LA01HU | HSF1 Antibody | Human | ELISA, WB, IHC, IF |
| CSB-PA010791LB01HU | HSF1 Antibody, HRP conjugated | Human | ELISA |
| CSB-PA010791LC01HU | HSF1 Antibody, FITC conjugated | Human | |
| CSB-PA010791LD01HU | HSF1 Antibody, Biotin conjugated | Human | ELISA |
| CSB-RA010791A326phHU | Phospho-HSF1 (S326) Recombinant Monoclonal Antibody | Human | ELISA, WB, IHC |
| CSB-RA279005A0HU | HSF1 Recombinant Monoclonal Antibody | Human | ELISA, IHC |






