HINT1
HINT1,全稱為組氨酸三聯體核苷酸結合蛋白1(histidine triad nucleotide binding protein 1),是一種在哺乳動物組織中廣泛存在的蛋白,具有高度保守性。它也被稱為HINT、NMAN、PKCI-1、PRKCNH1等。HINT1蛋白參與多種細胞過程,如信號轉導、轉錄調控和腫瘤抑制。作為腫瘤抑制因子,HINT1蛋白的低表達與多種癌癥(如肝癌、肺癌)的進展相關,可能通過促進凋亡或抑制增殖信號通路(如Wnt/β-catenin)發揮作用;而過表達可能增強神經元保護或抑制癌化,但具體機制因組織而異。此外,HINT1蛋白還參與鴉片受體信號調控,影響藥物成癮行為。HINT1蛋白在心血管疾病中的作用也引起了關注,研究發現它能夠延緩心肌肥厚的進程。目前,針對HINT1蛋白的藥物研發也在進行中,例如HINT1抑制劑可用于治療心肌肥厚等疾病。
熱銷產品
HINT1 Antibody (CSB-PA05639A0Rb)
驗證數據
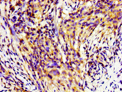
Immunohistochemistry of paraffin-embedded human pancreatic cancer using CSB-PA05639A0Rb at dilution of 1:100
Immunofluorescent analysis of HepG2 cells using CSB-PA05639A0Rb at dilution of 1:100 and Alexa Fluor 488-congugated AffiniPure Goat Anti-Rabbit IgG(H+L)
HINT1 Antibodies
HINT1 for Homo sapiens (Human)
| 產品貨號 | 產品名稱 | 種屬反應性 | 應用類型 |
|---|---|---|---|
| CSB-PA546607 | HINT1 Antibody | Human,Mouse,Rat | ELISA,WB,IF |
| CSB-PA570363 | HINT1 Antibody | Human,Mouse,Rat | WB, IHC, IF, ELISA |
| CSB-PA038349 | HINT1 Antibody | Human,Mouse,Rat | ELISA,WB,IHC |
| CSB-PA925533 | HINT1 Antibody | Human,Mouse,Rat | ELISA,WB,IHC |
| CSB-PA05639A0Rb | HINT1 Antibody | Human | ELISA, IHC, IF |
| CSB-PA05639B0Rb | HINT1 Antibody, HRP conjugated | Human | ELISA |
| CSB-PA05639C0Rb | HINT1 Antibody, FITC conjugated | Human | |
| CSB-PA05639D0Rb | HINT1 Antibody, Biotin conjugated | Human | ELISA |
HINT1 Proteins
HINT1 Proteins for Homo sapiens (Human)
| 產品貨號 | 產品名稱 | 來源 |
|---|---|---|
| CSB-YP343812HU CSB-EP343812HU CSB-BP343812HU CSB-MP343812HU CSB-EP343812HU-B |
Recombinant Human Histidine triad nucleotide-binding protein 1 (HINT1) | Yeast E.coli Baculovirus Mammalian cell In Vivo Biotinylation in E.coli |






