HAS1
透明質酸合成酶1(Hyaluronan Synthase 1,簡稱HAS1)是合成透明質酸的關鍵酶之一,也被稱為HA synthase或細胞外基質調節因子。HAS1通過催化葡萄糖醛酸和N-乙酰葡萄糖胺的聚合,生成透明質酸分子,這種黏多糖廣泛存在于皮膚、關節液和細胞間質中,具有維持組織水合度、促進創傷修復等功能。HAS1的異常表達與多種病理過程密切相關。在腫瘤微環境中,其過度活躍可能加速癌細胞轉移,尤其在乳腺癌和前列腺癌中表現突出;而在類風濕性關節炎患者中,關節滑膜細胞的HAS1活性升高會導致透明質酸碎片堆積,引發炎癥反應。近年來針對該靶點的藥物開發集中在抑制劑領域,例如通過小分子化合物干擾酶活性,已有部分候選藥物進入Ⅱ期臨床試驗,用于治療纖維化疾病和特定實體瘤。此外,基于透明質酸的皮膚填充劑和關節潤滑劑已在臨床廣泛應用,但其長效性和穩定性仍依賴對HAS1調控機制的深入研究。
熱銷產品
驗證數據
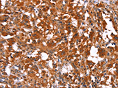
The image on the left is immunohistochemistry of paraffin-embedded Human thyroid cancer tissue using CSB-PA547529(HAS1 Antibody) at dilution 1/30, on the right is treated with synthetic peptide. (Original magnification: ×200)
The image on the left is immunohistochemistry of paraffin-embedded Human gastric cancer tissue using CSB-PA547529(HAS1 Antibody) at dilution 1/30, on the right is treated with synthetic peptide. (Original magnification: ×200)
Gel: 6%SDS-PAGE, Lysate: 40 μg, Lane 1-2: Human testis tissue, Human prostate tissue, Primary antibody: CSB-PA547529(HAS1 Antibody) at dilution 1/350, Secondary antibody: Goat anti rabbit IgG at 1/8000 dilution, Exposure time: 30 seconds
HAS1 Antibodies
HAS1 for Homo sapiens (Human)
| 產品貨號 | 產品名稱 | 種屬反應性 | 應用類型 |
|---|---|---|---|
| CSB-PA547529 | HAS1 Antibody | Human,Mouse | ELISA,WB,IHC |
| CSB-PA010139LA01HU | HAS1 Antibody | Human | ELISA, IF |
| CSB-PA010139LC01HU | HAS1 Antibody, FITC conjugated | Human | |
| CSB-PA010139LD01HU | HAS1 Antibody, Biotin conjugated | Human | ELISA |
HAS1 Proteins
HAS1 Proteins for Homo sapiens (Human)
| 產品貨號 | 產品名稱 | 來源 |
|---|---|---|
| CSB-YP010139HU1 CSB-EP010139HU1 CSB-BP010139HU1 CSB-MP010139HU1 CSB-EP010139HU1-B |
Recombinant Human Hyaluronan synthase 1 (HAS1), partial | Yeast E.coli Baculovirus Mammalian cell In Vivo Biotinylation in E.coli |
| CSB-CF010139HU | Recombinant Human Hyaluronan synthase 1 (HAS1) | in vitro E.coli expression system |






