GSDMC
GSDMC,全稱Gasdermin-C,是一種參與細胞焦亡過程的蛋白質。細胞焦亡是一種特殊的細胞死亡方式,其特征是細胞膜破裂,釋放出促炎細胞因子,引發炎癥反應。GSDMC蛋白屬于Gasdermin家族,該家族共有六個成員,均參與細胞焦亡過程。GSDMC蛋白在其他成員中發揮重要作用,例如GSDMD蛋白被證實是細胞焦亡的執行者。
GSDMC蛋白在多種疾病中發揮關鍵作用,包括膿毒癥、多發性硬化癥、哮喘、化療藥物引起的炎性損傷、病毒感染以及CAR-T治療引起的細胞因子風暴等。因此,針對GSDMC蛋白的藥物研發成為治療這些疾病的重要方向。炎明生物公司是一家致力于開發創新藥物的公司,其在GSDMC蛋白相關藥物研發方面取得了突破性進展。炎明生物的研發團隊成功解析了Gasdermin蛋白和小分子抑制劑復合物的高分辨率晶體結構,揭示了小分子藥物如何抑制Gasdermin蛋白發揮膜打孔功能的全新作用機制。這一成果為開發針對GSDMC蛋白的藥物提供了重要線索。
目前,針對GSDMC蛋白的藥物研發仍處于早期階段,但已有多個項目進入臨床前研究階段。未來,隨著對GSDMC蛋白作用機制的深入研究,以及藥物遞送技術的不斷發展,基于GSDMC蛋白的創新藥物有望為多種疾病的治療提供新的解決方案。
熱銷產品
Recombinant Human Gasdermin-C (GSDMC) (CSB-EP883633HU)
驗證數據
(Tris-Glycine gel) Discontinuous SDS-PAGE (reduced) with 5% enrichment gel and 15% separation gel.
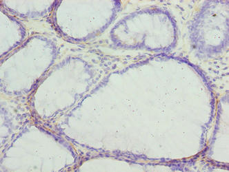
GSDMC Antibody (CSB-PA883633LA01HU)
驗證數據
Immunohistochemistry of paraffin-embedded human colon cancer using CSB-PA883633LA01HU at dilution of 1:100
GSDMC Antibodies
GSDMC for Homo sapiens (Human)
| 產品貨號 | 產品名稱 | 種屬反應性 | 應用類型 |
|---|---|---|---|
| CSB-PA206564 | GSDMC Antibody | Human | ELISA,WB |
| CSB-PA002642 | GSDMC Antibody | Human | WB, ELISA |
| CSB-PA883633LA01HU | GSDMC Antibody | Human | ELISA, IHC |
| CSB-PA883633LB01HU | GSDMC Antibody, HRP conjugated | Human | ELISA |
| CSB-PA883633LC01HU | GSDMC Antibody, FITC conjugated | Human | |
| CSB-PA883633LD01HU | GSDMC Antibody, Biotin conjugated | Human | ELISA |
GSDMC Proteins
GSDMC Proteins for Homo sapiens (Human)
| 產品貨號 | 產品名稱 | 來源 |
|---|---|---|
| CSB-YP883633HU CSB-MP883633HU CSB-EP883633HU-B |
Recombinant Human Gasdermin-C (GSDMC) | Yeast Mammalian cell In Vivo Biotinylation in E.coli |
| CSB-EP883633HU | Recombinant Human Gasdermin-C (GSDMC) | E.coli |
| CSB-BP883633HU | Recombinant Human Gasdermin-C (GSDMC) | Baculovirus |






