GREM2
GREM2,全稱為Gremlin 2,是一種分泌型糖基化蛋白,屬于BMP拮抗劑家族中的CAN亞家族。該蛋白含有保守的胱氨酸結結構域,能夠與BMP2/4/7等配體結合,從而抑制BMP信號通路,影響細胞增殖、分化和凋亡等過程。GREM2蛋白在多種組織中表達,但在代謝相關組織中表達量較高。研究發現,GREM2蛋白與肥胖、糖尿病、骨質疏松等疾病的發生發展密切相關。例如,GREM2蛋白水平與肥胖程度呈正相關,并且能夠抑制白色脂肪棕色化過程。此外,GREM2蛋白表達異常還與多種癌癥進展相關,過表達會促進腫瘤細胞侵襲轉移,而表達不足則可能導致BMP信號過度激活,影響組織穩態。目前,針對GREM2蛋白的藥物研發正在積極進行中,其中艾伯維/Alector的AL002和諾華的VHB937是研發進展較快的藥物,分別處于II期和I期臨床試驗階段,旨在治療阿爾茨海默病和癌癥等疾病。
熱銷產品
驗證數據
Western Blot
Positive WB detected in: A549 whole cell lysate(30μg),Mouse Kidney tissue lysate(30μg)
All lanes: GREM2 antibody at 1:1000
Secondary
Goat polyclonal to rabbit IgG at 1/20000 dilution
Predicted band size: 20 kDa
Observed band size: 30 kDa
Exposure time: 120s
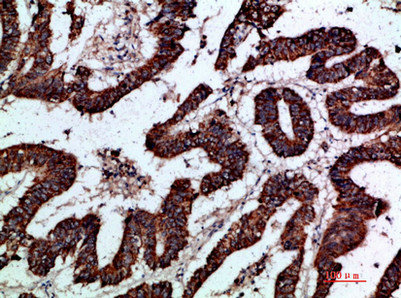
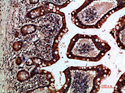
Immunohistochemical analysis of paraffin-embedded human-small-intestine, antibody was diluted at 1:200
Immunohistochemical analysis of paraffin-embedded human-small-intestine, antibody was diluted at 1:200
Immunohistochemical analysis of paraffin-embedded human-colon-cancer, antibody was diluted at 1:200
Immunohistochemical analysis of paraffin-embedded human-colon-cancer, antibody was diluted at 1:200
Human Gremlin-2(GREM2) ELISA kit (CSB-EL009893HU)
驗證數據
貨號:CSB-EL009893HU
規格:96T/48T
靈敏度:6.25 pg/mL
檢測范圍:6.25 pg/mL-2500 pg/mL
These standard curves are provided for demonstration only. A standard curve should be generated for each set of samples assayed.
GREM2 Antibodies
GREM2 for Homo sapiens (Human)
| 產品貨號 | 產品名稱 | 種屬反應性 | 應用類型 |
|---|---|---|---|
| CSB-PA107590 | GREM2 Antibody | Human,Mouse | WB, IHC, ELISA |
GREM2 Proteins
GREM2 Proteins for Homo sapiens (Human)
| 產品貨號 | 產品名稱 | 來源 |
|---|---|---|
| CSB-YP887993HU CSB-EP887993HU CSB-BP887993HU CSB-MP887993HU CSB-EP887993HU-B |
Recombinant Human Gremlin-2 (GREM2) | Yeast E.coli Baculovirus Mammalian cell In Vivo Biotinylation in E.coli |
GREM2 ELISA Kit
GREM2 ELISA Kit for Homo sapiens (Human)
| 產品貨號 | 產品名稱 | 樣本類型 | 靈敏度 |
|---|---|---|---|
| CSB-EL009893HU | Human Gremlin-2(GREM2) ELISA kit | serum, plasma, tissue homogenates | 6.25 pg/mL |






