GP6
GP6,即糖蛋白VI,別名血小板糖蛋白6、CD42b等。它是一種由GP6基因編碼的膜結合糖蛋白,主要在血小板和內皮細胞表面表達。GP6的作用機制涉及與膠原纖維和von Willebrand因子(VWF)的相互作用,參與血小板黏附和聚集,對血液凝固和傷口愈合至關重要。GP6參與了正常的止血過程,與多種疾病有關,如血栓性疾病、血小板功能障礙和某些類型的出血性疾病。GP6的功能異??赡軐е卵“寤钚缘母淖儯绊懷耗唐胶?,是血液學研究和相關疾病治療中的一個潛在靶點。
熱銷產品
GP6 Antibody (CSB-PA872550LA01HU)
驗證數據
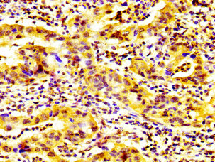
IHC image of CSB-PA872550LA01HU diluted at 1:600 and staining in paraffin-embedded human bladder cancer performed on a Leica BondTM system. After dewaxing and hydration, antigen retrieval was mediated by high pressure in a citrate buffer (pH 6.0). Section was blocked with 10% normal goat serum 30min at RT. Then primary antibody (1% BSA) was incubated at 4°C overnight. The primary is detected by a biotinylated secondary antibody and visualized using an HRP conjugated SP system.
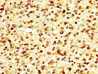
IHC image of CSB-PA872550LA01HU diluted at 1:600 and staining in paraffin-embedded human glioma performed on a Leica BondTM system. After dewaxing and hydration, antigen retrieval was mediated by high pressure in a citrate buffer (pH 6.0). Section was blocked with 10% normal goat serum 30min at RT. Then primary antibody (1% BSA) was incubated at 4°C overnight. The primary is detected by a biotinylated secondary antibody and visualized using an HRP conjugated SP system.
Immunofluorescence staining of MCF-7 cells with CSB-PA872550LA01HU at 1:200, counter-stained with DAPI. The cells were fixed in 4% formaldehyde, permeabilized using 0.2% Triton X-100 and blocked in 10% normal Goat Serum. The cells were then incubated with the antibody overnight at 4°C. The secondary antibody was Alexa Fluor 488-congugated AffiniPure Goat Anti-Rabbit IgG(H+L).
Human Platelet glycoprotein VI(GP6) ELISA kit (CSB-EL009689HU)
驗證數據
貨號:CSB-EL009689HU
規格:96T/48T
靈敏度:11.72 pg/mL
檢測范圍:46.88 pg/mL-3000 pg/mL
These standard curves are provided for demonstration only. A standard curve should be generated for each set of samples assayed.
GP6 Antibodies
GP6 for Homo sapiens (Human)
| 產品貨號 | 產品名稱 | 種屬反應性 | 應用類型 |
|---|---|---|---|
| CSB-PA872550LA01HU | GP6 Antibody | Human | ELISA, IHC, IF |
| CSB-PA872550LB01HU | GP6 Antibody, HRP conjugated | Human | ELISA |
| CSB-PA872550LC01HU | GP6 Antibody, FITC conjugated | Human | |
| CSB-PA872550LD01HU | GP6 Antibody, Biotin conjugated | Human | ELISA |
GP6 Proteins
GP6 Proteins for Homo sapiens (Human)
| 產品貨號 | 產品名稱 | 來源 |
|---|---|---|
| CSB-YP872550HU CSB-EP872550HU CSB-BP872550HU CSB-EP872550HU-B |
Recombinant Human Platelet glycoprotein VI (GP6), partial | Yeast E.coli Baculovirus In Vivo Biotinylation in E.coli |
| CSB-MP872550HU | Recombinant Human Platelet glycoprotein VI (GP6), partial (Active) | Mammalian cell |
GP6 ELISA Kit
GP6 ELISA Kit for Homo sapiens (Human)
| 產品貨號 | 產品名稱 | 樣本類型 | 靈敏度 |
|---|---|---|---|
| CSB-EL009689HU | Human Platelet glycoprotein VI(GP6) ELISA kit | serum, plasma, tissue homogenates | 11.72 pg/mL |






