GNRHR
GNRHR,即促性腺激素釋放激素受體,別名GRHR、Gonadotropin-releasing hormone receptor、GnRH receptor、GnRH-R。它是一種G蛋白偶聯受體,主要在垂體前葉中表達,參與調節生殖激素的釋放。GNRHR的作用機制主要是通過與促性腺激素釋放激素(GnRH)結合,激活受體,進而通過G蛋白介導的信號轉導,增加細胞內cAMP的水平,促進黃體生成素(LH)和卵泡刺激素(FSH)的釋放。GNRHR不僅在生殖系統中發揮關鍵作用,還與多種疾病的發生發展有關。例如,在乳腺癌中,GNRHR的表達與腫瘤的臨床病理特征和預后相關,特別是在激素受體陰性的乳腺癌中,GNRHR的高表達可能與改善的無病生存期(DFS)相關。此外,GNRHR的信號傳導在垂體細胞中涉及絲裂原活化蛋白激酶(MAPK)級聯的激活,為信號從細胞表面到細胞核的傳遞提供了重要的聯系,并在促性腺激素的轉錄調節中起作用。GNRHR也在非垂體細胞中表達,并發現其在某些細胞中抑制細胞增殖,因此,GNRHR代表了用于癌癥治療的GnRH類似物的潛在靶標。
熱銷產品
驗證數據
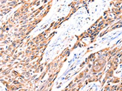
The image on the left is immunohistochemistry of paraffin-embedded Human breast cancer tissue using CSB-PA823966(GNRHR Antibody) at dilution 1/117, on the right is treated with synthetic peptide. (Original magnification: ×200)
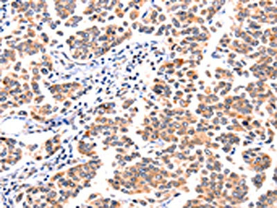
The image on the left is immunohistochemistry of paraffin-embedded Human esophagus cancer tissue using CSB-PA823966(GNRHR Antibody) at dilution 1/117, on the right is treated with synthetic peptide. (Original magnification: ×200)
Gel: 10%SDS-PAGE, Lysate: 40 μg, Lane 1-2: 231 cells, mouse testis tissue, Primary antibody: CSB-PA823966(GNRHR Antibody) at dilution 1/2350, Secondary antibody: Goat anti rabbit IgG at 1/8000 dilution, Exposure time: 25 seconds
GNRHR Antibodies
GNRHR for Homo sapiens (Human)
| 產品貨號 | 產品名稱 | 種屬反應性 | 應用類型 |
|---|---|---|---|
| CSB-PA009637GA01HU | GNRHR Antibody | Human | ELISA,WB,IHC |
| CSB-PA008891 | GNRHR Antibody | Human,Mouse | WB, IF, ELISA |
| CSB-PA033761 | GNRHR Antibody | Human,Mouse,Rat | ELISA,WB |
| CSB-PA823966 | GNRHR Antibody | Human,Mouse,Rat | ELISA,WB,IHC |
GNRHR Proteins
GNRHR Proteins for Mus musculus (Mouse)
| 產品貨號 | 產品名稱 | 來源 |
|---|---|---|
| CSB-YP009637MO1 CSB-EP009637MO1 CSB-BP009637MO1 CSB-MP009637MO1 CSB-EP009637MO1-B |
Recombinant Mouse Gonadotropin-releasing hormone receptor (Gnrhr), partial | Yeast E.coli Baculovirus Mammalian cell In Vivo Biotinylation in E.coli |
| CSB-CF009637MO | Recombinant Mouse Gonadotropin-releasing hormone receptor (Gnrhr) | in vitro E.coli expression system |
GNRHR Proteins for Rattus norvegicus (Rat)
| 產品貨號 | 產品名稱 | 來源 |
|---|---|---|
| CSB-YP009637RA1 CSB-EP009637RA1 CSB-BP009637RA1 CSB-MP009637RA1 CSB-EP009637RA1-B |
Recombinant Rat Gonadotropin-releasing hormone receptor (Gnrhr), partial | Yeast E.coli Baculovirus Mammalian cell In Vivo Biotinylation in E.coli |
| CSB-CF009637RA | Recombinant Rat Gonadotropin-releasing hormone receptor (Gnrhr) | in vitro E.coli expression system |
GNRHR Proteins for Ovis aries (Sheep)
| 產品貨號 | 產品名稱 | 來源 |
|---|---|---|
| CSB-YP009637SH1 CSB-EP009637SH1 CSB-BP009637SH1 CSB-MP009637SH1 CSB-EP009637SH1-B |
Recombinant Sheep Gonadotropin-releasing hormone receptor (GNRHR), partial | Yeast E.coli Baculovirus Mammalian cell In Vivo Biotinylation in E.coli |
| CSB-CF009637SH | Recombinant Sheep Gonadotropin-releasing hormone receptor (GNRHR) | in vitro E.coli expression system |
GNRHR Proteins for Homo sapiens (Human)
| 產品貨號 | 產品名稱 | 來源 |
|---|---|---|
| CSB-YP009637HU1 CSB-EP009637HU1 CSB-BP009637HU1 CSB-MP009637HU1 CSB-EP009637HU1-B |
Recombinant Human Gonadotropin-releasing hormone receptor (GNRHR), partial | Yeast E.coli Baculovirus Mammalian cell In Vivo Biotinylation in E.coli |
| CSB-CF009637HU | Recombinant Human Gonadotropin-releasing hormone receptor (GNRHR) | in vitro E.coli expression system |
GNRHR Proteins for Bos taurus (Bovine)
| 產品貨號 | 產品名稱 | 來源 |
|---|---|---|
| CSB-YP009637BO1 CSB-EP009637BO1 CSB-BP009637BO1 CSB-MP009637BO1 CSB-EP009637BO1-B |
Recombinant Bovine Gonadotropin-releasing hormone receptor (GNRHR), partial | Yeast E.coli Baculovirus Mammalian cell In Vivo Biotinylation in E.coli |
| CSB-CF009637BO | Recombinant Bovine Gonadotropin-releasing hormone receptor (GNRHR) | in vitro E.coli expression system |
GNRHR Proteins for Sus scrofa (Pig)
| 產品貨號 | 產品名稱 | 來源 |
|---|---|---|
| CSB-YP009637PI1 CSB-EP009637PI1 CSB-BP009637PI1 CSB-MP009637PI1 CSB-EP009637PI1-B |
Recombinant Pig Gonadotropin-releasing hormone receptor (GNRHR), partial | Yeast E.coli Baculovirus Mammalian cell In Vivo Biotinylation in E.coli |
| CSB-CF009637PI | Recombinant Pig Gonadotropin-releasing hormone receptor (GNRHR) | in vitro E.coli expression system |
GNRHR Proteins for Equus caballus (Horse)
| 產品貨號 | 產品名稱 | 來源 |
|---|---|---|
| CSB-YP009637HO1 CSB-EP009637HO1 CSB-BP009637HO1 CSB-MP009637HO1 CSB-EP009637HO1-B |
Recombinant Horse Gonadotropin-releasing hormone receptor (GNRHR), partial | Yeast E.coli Baculovirus Mammalian cell In Vivo Biotinylation in E.coli |
| CSB-CF009637HO | Recombinant Horse Gonadotropin-releasing hormone receptor (GNRHR) | in vitro E.coli expression system |
GNRHR Proteins for Cavia porcellus (Guinea pig)
| 產品貨號 | 產品名稱 | 來源 |
|---|---|---|
| CSB-YP009637GU1 CSB-EP009637GU1 CSB-BP009637GU1 CSB-MP009637GU1 CSB-EP009637GU1-B |
Recombinant Guinea pig Gonadotropin-releasing hormone receptor (GNRHR), partial | Yeast E.coli Baculovirus Mammalian cell In Vivo Biotinylation in E.coli |
| CSB-CF009637GU | Recombinant Guinea pig Gonadotropin-releasing hormone receptor (GNRHR) | in vitro E.coli expression system |
GNRHR Proteins for Macaca mulatta (Rhesus macaque)
| 產品貨號 | 產品名稱 | 來源 |
|---|---|---|
| CSB-YP009637MOW CSB-EP009637MOW CSB-BP009637MOW CSB-MP009637MOW CSB-EP009637MOW-B |
Recombinant Macaca mulatta Gonadotropin-releasing hormone receptor (GNRHR), partial | Yeast E.coli Baculovirus Mammalian cell In Vivo Biotinylation in E.coli |
GNRHR Proteins for Canis familiaris (Dog) (Canis lupus familiaris)
| 產品貨號 | 產品名稱 | 來源 |
|---|---|---|
| CSB-YP009637DO1 CSB-EP009637DO1 CSB-BP009637DO1 CSB-MP009637DO1 CSB-EP009637DO1-B |
Recombinant Dog Gonadotropin-releasing hormone receptor (GNRHR), partial | Yeast E.coli Baculovirus Mammalian cell In Vivo Biotinylation in E.coli |
| CSB-CF009637DO | Recombinant Dog Gonadotropin-releasing hormone receptor (GNRHR) | in vitro E.coli expression system |
GNRHR Proteins for Trichosurus vulpecula (Brush-tailed possum)
| 產品貨號 | 產品名稱 | 來源 |
|---|---|---|
| CSB-YP009637TQG1 CSB-EP009637TQG1 CSB-BP009637TQG1 CSB-MP009637TQG1 CSB-EP009637TQG1-B |
Recombinant Trichosurus vulpecula Gonadotropin-releasing hormone receptor (GNRHR), partial | Yeast E.coli Baculovirus Mammalian cell In Vivo Biotinylation in E.coli |
| CSB-CF009637TQG | Recombinant Trichosurus vulpecula Gonadotropin-releasing hormone receptor (GNRHR) | in vitro E.coli expression system |
GNRHR Proteins for Bos mutus grunniens (Wild yak) (Bos grunniens)
| 產品貨號 | 產品名稱 | 來源 |
|---|---|---|
| CSB-YP009637BPD1 CSB-EP009637BPD1 CSB-BP009637BPD1 CSB-MP009637BPD1 CSB-EP009637BPD1-B |
Recombinant Bos mutus grunniens Gonadotropin-releasing hormone receptor (GNRHR), partial | Yeast E.coli Baculovirus Mammalian cell In Vivo Biotinylation in E.coli |
| CSB-CF009637BPD | Recombinant Bos mutus grunniens Gonadotropin-releasing hormone receptor (GNRHR) | in vitro E.coli expression system |
GNRHR Proteins for Octopus vulgaris (Common octopus)
| 產品貨號 | 產品名稱 | 來源 |
|---|---|---|
| CSB-YP009637OAH1 CSB-EP009637OAH1 CSB-BP009637OAH1 CSB-MP009637OAH1 CSB-EP009637OAH1-B |
Recombinant Octopus vulgaris Gonadotropin-releasing hormone receptor (GNRHR), partial | Yeast E.coli Baculovirus Mammalian cell In Vivo Biotinylation in E.coli |
| CSB-CF009637OAH | Recombinant Octopus vulgaris Gonadotropin-releasing hormone receptor (GNRHR) | in vitro E.coli expression system |






