GDF11
GDF11,即生長分化因子11,別名VHO、BMP11、BMP-11,是一種由人類基因編碼的分泌型蛋白,屬于轉化生長因子β(TGF-β)超家族成員之一。GDF11可結合TGF-β受體,導致SMAD家族轉錄因子的募集和激活,從而調節基因表達。GDF11在神經和其他器官系統的發育中發揮作用,并可能調節衰老過程。
GDF11目前的研究主要集中于衰老過程以及衰老相關的疾病,包括促進心肌細胞增殖、神經元再生以及造血干細胞的增殖和功能。GDF11的廣泛生物學效應可能包括逆轉衰老過程中的細胞衰老、逆轉年齡相關的病理變化以及調節損傷后的器官再生。
熱銷產品
Recombinant Human Growth/differentiation factor 11 (GDF11) (CSB-EP009344HU)
驗證數據
(Tris-Glycine gel) Discontinuous SDS-PAGE (reduced) with 5% enrichment gel and 15% separation gel.
Based on the SEQUEST from database of E.coli host and target protein, the LC-MS/MS Analysis result of CSB-EP009344HU could indicate that this peptide derived from E.coli-expressed Homo sapiens (Human) GDF11.
Based on the SEQUEST from database of E.coli host and target protein, the LC-MS/MS Analysis result of CSB-EP009344HU could indicate that this peptide derived from E.coli-expressed Homo sapiens (Human) GDF11.
驗證數據
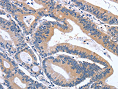
The image on the left is immunohistochemistry of paraffin-embedded Human colon cancer tissue using CSB-PA105485(GDF11 Antibody) at dilution 1/30, on the right is treated with synthetic peptide. (Original magnification: ×200)
The image on the left is immunohistochemistry of paraffin-embedded Human lymphoma tissue using CSB-PA105485(GDF11 Antibody) at dilution 1/30, on the right is treated with synthetic peptide. (Original magnification: ×200)
Human Growth/differentiation factor 11(GDF11) ELISA kit (CSB-EL009344HU)
驗證數據
貨號:CSB-EL009344HU
規格:96T/48T
靈敏度:7 pg/mL
檢測范圍:28 pg/mL-1800 pg/mL
These standard curves are provided for demonstration only. A standard curve should be generated for each set of samples assayed.
GDF11 Antibodies
GDF11 for Homo sapiens (Human)
| 產品貨號 | 產品名稱 | 種屬反應性 | 應用類型 |
|---|---|---|---|
| CSB-PA105485 | GDF11 Antibody | Human,Mouse,Rat | ELISA,IHC |
| CSB-PA009344LA01HU | GDF11 Antibody | Human | ELISA, IHC |
| CSB-PA009344LB01HU | GDF11 Antibody, HRP conjugated | Human | ELISA |
| CSB-PA009344LC01HU | GDF11 Antibody, FITC conjugated | Human | |
| CSB-PA009344LD01HU | GDF11 Antibody, Biotin conjugated | Human | ELISA |
GDF11 Proteins
GDF11 Proteins for Homo sapiens (Human)
| 產品貨號 | 產品名稱 | 來源 |
|---|---|---|
| CSB-YP009344HU CSB-BP009344HU CSB-MP009344HU CSB-EP009344HU-B |
Recombinant Human Growth/differentiation factor 11 (GDF11) | Yeast Baculovirus Mammalian cell In Vivo Biotinylation in E.coli |
| CSB-EP009344HU | Recombinant Human Growth/differentiation factor 11 (GDF11) | E.coli |
GDF11 ELISA Kit
GDF11 ELISA Kit for Homo sapiens (Human)
| 產品貨號 | 產品名稱 | 樣本類型 | 靈敏度 |
|---|---|---|---|
| CSB-EL009344HU | Human Growth/differentiation factor 11(GDF11) ELISA kit | serum, plasma, tissue homogenates | 7 pg/mL |






