FXR1
FXR1,即FMR1常染色體同系物1,別名FMR1 Autosomal Homolog 1、Fragile X Mental Retardation Syndrome-Related Protein 1、HFXR1p、FXR1P。FXR1是一種RNA結合蛋白,與功能相似的FMR1和FXR2相互作用。這些蛋白質在細胞核和細胞質之間穿梭,并與多聚核糖體結合,主要與60S核糖體亞基結合。FXR1通過其RNA結合能力以及與其他蛋白質的相互作用,參與調控基因表達和mRNA的穩定性。FXR1在多種細胞過程中發揮作用,包括細胞增殖、分化和腫瘤發生。FXR1的異常表達與多種疾病相關,包括某些類型的癌癥和神經退行性疾病。
熱銷產品
驗證數據
(Tris-Glycine gel) Discontinuous SDS-PAGE (reduced) with 5% enrichment gel and 15% separation gel.
FXR1 Antibody (CSB-PA009087LA01HU)
驗證數據
Western Blot
Positive WB detected in: HEK293 whole cell lysate, Hela whole cell lysate, NIH/3T3 whole cell lysate
All lanes: FXR1 antibody at 3μg/ml
Secondary
Goat polyclonal to rabbit IgG at 1/50000 dilution
Predicted band size: 70, 61, 60 kDa
Observed band size: 70 kDa
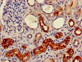
Immunohistochemistry of paraffin-embedded human kidney tissue using CSB-PA009087LA01HU at dilution of 1:100
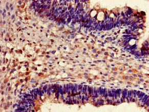
Immunohistochemistry of paraffin-embedded human ovarian cancer using CSB-PA009087LA01HU at dilution of 1:100
Immunofluorescent analysis of HepG2 cells using CSB-PA009087LA01HU at dilution of 1:100 and Alexa Fluor 488-congugated AffiniPure Goat Anti-Rabbit IgG(H+L)
FXR1 Antibodies
FXR1 for Homo sapiens (Human)
| 產品貨號 | 產品名稱 | 種屬反應性 | 應用類型 |
|---|---|---|---|
| CSB-PA009087GA01HU | FXR1 Antibody | Human,Mouse,Rat | ELISA,WB,IHC |
| CSB-PA790564 | FXR1 Antibody | Human,Mouse,Rat | ELISA,WB,IHC |
| CSB-PA018431 | FXR1 Antibody | Human,Mouse,Rat | ELISA,IHC |
| CSB-PA009087LA01HU | FXR1 Antibody | Human, Mouse | ELISA, WB, IHC, IF |
| CSB-PA009087LB01HU | FXR1 Antibody, HRP conjugated | Human | ELISA |
| CSB-PA009087LC01HU | FXR1 Antibody, FITC conjugated | Human | |
| CSB-PA009087LD01HU | FXR1 Antibody, Biotin conjugated | Human | ELISA |
FXR1 Proteins
FXR1 Proteins for Homo sapiens (Human)






