FOLH1
FOLH1,即葉酸水解酶1,別名 Cell growth inhibiting protein 27 、Folate hydrolase 1、Folate hydrolase,是一種關鍵的葉酸代謝酶。它由FOLH1基因編碼,分布在前列腺、腦、肺、肝等多種組織中。FOLH1通過水解葉酸多聚谷氨酸鹽,調節細胞內葉酸水平,對DNA合成和修復至關重要。其異常表達與前列腺癌等腫瘤的發生發展關聯,使其成為潛在的治療靶點。此外,FOLH1在神經退行性疾病中也有研究價值,其活性變化可能與多巴胺神經元損失有關,對細胞代謝和增殖具有重要調控作用。
熱銷產品
Recombinant Human Glutamate carboxypeptidase 2 (FOLH1), partial (Active) (CSB-MP008782HU1)
驗證數據
(Tris-Glycine gel) Discontinuous SDS-PAGE (reduced) with 5% enrichment gel and 15% separation gel.
Activity
Measured by its binding ability in a functional ELISA.Immobilized Human FOLH1 at 2 μg/ml can bind Anti-FOLH1 recombinant antibody(CSB-RA008782MA1HU). The EC50 is 11.74-15.02 ng/mL.
Activity
Measured by its binding ability in a functional ELISA.Immobilized Human FOLH1 at 2 μg/mL can bind Anti-FOLH1 recombinant antibody(CSB-RA008782MA2HU). The EC50 is 3.853-4.303 ng/mL.
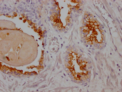
FOLH1 Recombinant Monoclonal Antibody (CSB-RA162924A0HU)
驗證數據
IHC image of CSB-RA162924A0HU diluted at 1:100 and staining in paraffin-embedded human prostate cancer performed on a Leica BondTM system. After dewaxing and hydration, antigen retrieval was mediated by high pressure in a citrate buffer (pH 6.0). Section was blocked with 10% normal goat serum 30min at RT. Then primary antibody (1% BSA) was incubated at 4℃ overnight. The primary is detected by a Goat anti-rabbit IgG polymer labeled by HRP and visualized using 0.05% DAB.
Human Glutamate carboxypeptidase 2(FOLH1) ELISA kit (CSB-EL008782HU)
驗證數據
貨號:CSB-EL008782HU
規格:96T/48T
靈敏度:1.2 ng/mL
檢測范圍:4.7 ng/mL-300 ng/mL
These standard curves are provided for demonstration only. A standard curve should be generated for each set of samples assayed.
FOLH1 Antibodies
FOLH1 for Homo sapiens (Human)
| 產品貨號 | 產品名稱 | 種屬反應性 | 應用類型 |
|---|---|---|---|
| CSB-PA11729A0Rb | FOLH1 Antibody | Human | ELISA, WB, IHC |
| CSB-PA11729B0Rb | FOLH1 Antibody, HRP conjugated | Human | ELISA |
| CSB-PA11729D0Rb | FOLH1 Antibody, Biotin conjugated | Human | ELISA |
| CSB-PA008782GA01HU | FOLH1 Antibody | Human,Mouse,Rat | ELISA,WB,IHC |
| CSB-PA167493 | FOLH1 Antibody | Human | ELISA,WB |
| CSB-RA162924A0HU | FOLH1 Recombinant Monoclonal Antibody | Human | ELISA, IHC |
FOLH1 Proteins
FOLH1 Proteins for Rattus norvegicus (Rat)
| 產品貨號 | 產品名稱 | 來源 |
|---|---|---|
| CSB-YP008782RA1 CSB-EP008782RA1 CSB-BP008782RA1 CSB-MP008782RA1 CSB-EP008782RA1-B |
Recombinant Rat Glutamate carboxypeptidase 2 (Folh1), partial | Yeast E.coli Baculovirus Mammalian cell In Vivo Biotinylation in E.coli |
| CSB-CF008782RA | Recombinant Rat Glutamate carboxypeptidase 2 (Folh1) | in vitro E.coli expression system |
FOLH1 Proteins for Homo sapiens (Human)
| 產品貨號 | 產品名稱 | 來源 |
|---|---|---|
| CSB-YP008782HU CSB-BP008782HU CSB-MP008782HU CSB-EP008782HU-B |
Recombinant Human Glutamate carboxypeptidase 2 (FOLH1), partial | Yeast Baculovirus Mammalian cell In Vivo Biotinylation in E.coli |
| CSB-EP008782HU | Recombinant Human Glutamate carboxypeptidase 2 (FOLH1), partial | E.coli |
| CSB-CF008782HU(A4) | Recombinant Human Glutamate carboxypeptidase 2 (FOLH1) | in vitro E.coli expression system |
FOLH1 Proteins for Mus musculus (Mouse)
| 產品貨號 | 產品名稱 | 來源 |
|---|---|---|
| CSB-YP008782MO1 CSB-EP008782MO1 CSB-BP008782MO1 CSB-MP008782MO1 CSB-EP008782MO1-B |
Recombinant Mouse Glutamate carboxypeptidase 2 (Folh1), partial | Yeast E.coli Baculovirus Mammalian cell In Vivo Biotinylation in E.coli |
| CSB-CF008782MO | Recombinant Mouse Glutamate carboxypeptidase 2 (Folh1) | in vitro E.coli expression system |
FOLH1 Proteins for Sus scrofa (Pig)
| 產品貨號 | 產品名稱 | 來源 |
|---|---|---|
| CSB-YP008782PI1 CSB-EP008782PI1 CSB-BP008782PI1 CSB-EP008782PI1-B |
Recombinant Pig Glutamate carboxypeptidase 2 (FOLH1), partial | Yeast E.coli Baculovirus In Vivo Biotinylation in E.coli |
| CSB-CF008782PI | Recombinant Pig Glutamate carboxypeptidase 2 (FOLH1) | in vitro E.coli expression system |
FOLH1 ELISA Kit
FOLH1 ELISA Kit for Homo sapiens (Human)
| 產品貨號 | 產品名稱 | 樣本類型 | 靈敏度 |
|---|---|---|---|
| CSB-EL008782HU | Human Glutamate carboxypeptidase 2(FOLH1) ELISA kit | serum, plasma, tissue homogenates | 1.2 ng/mL |






