FKRP
FKRP蛋白,即Fukutin相關蛋白,是一種關鍵的高爾基體內蛋白質,在轉錄酶轉化過程中扮演重要角色,對于維持細胞正常功能至關重要。其基因突變與多種常染色體隱性肌肉病相關,包括從嬰兒早期發病到相對緩慢進展的多種表型。其中,FKRP相關的肢帶肌營養不良R9型是最常見的表型,也是先天性1C型肌營養不良癥、肌眼腦病和Walker-Warburg綜合征的致病基因,這些疾病表現為更嚴重的表型。FKRP蛋白不僅是先天性肌營養不良癥等嚴重疾病的致病基因,還涉及到其他生物過程。
熱銷產品
驗證數據
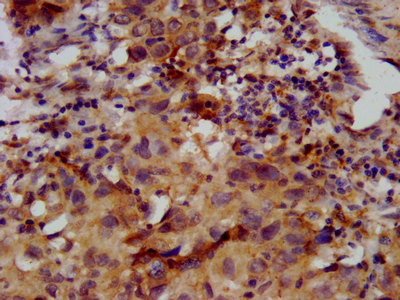
IHC image of CSB-PA862050LA01HU diluted at 1:400 and staining in paraffin-embedded human ovarian cancer performed on a Leica BondTM system. After dewaxing and hydration, antigen retrieval was mediated by high pressure in a citrate buffer (pH 6.0). Section was blocked with 10% normal goat serum 30min at RT. Then primary antibody (1% BSA) was incubated at 4°C overnight. The primary is detected by a biotinylated secondary antibody and visualized using an HRP conjugated SP system.
IHC image of CSB-PA862050LA01HU diluted at 1:400 and staining in paraffin-embedded human placenta tissue performed on a Leica BondTM system. After dewaxing and hydration, antigen retrieval was mediated by high pressure in a citrate buffer (pH 6.0). Section was blocked with 10% normal goat serum 30min at RT. Then primary antibody (1% BSA) was incubated at 4°C overnight. The primary is detected by a biotinylated secondary antibody and visualized using an HRP conjugated SP system.
FKRP Antibodies
FKRP for Homo sapiens (Human)
| 產品貨號 | 產品名稱 | 種屬反應性 | 應用類型 |
|---|---|---|---|
| CSB-PA035204 | FKRP Antibody | Human,Mouse,Rat | ELISA,WB |
| CSB-PA060135 | FKRP Antibody | Human,Mouse,Rat | WB, IF, ELISA |
| CSB-PA862050LA01HU | FKRP Antibody | Human | ELISA, IHC |
| CSB-PA862050LB01HU | FKRP Antibody, HRP conjugated | Human | ELISA |
| CSB-PA862050LC01HU | FKRP Antibody, FITC conjugated | Human | |
| CSB-PA862050LD01HU | FKRP Antibody, Biotin conjugated | Human | ELISA |
FKRP Proteins
FKRP Proteins for Homo sapiens (Human)
| 產品貨號 | 產品名稱 | 來源 |
|---|---|---|
| CSB-YP862050HU CSB-EP862050HU CSB-BP862050HU CSB-MP862050HU CSB-EP862050HU-B |
Recombinant Human Fukutin-related protein (FKRP), partial | Yeast E.coli Baculovirus Mammalian cell In Vivo Biotinylation in E.coli |






