ESM1
ESM1,全稱為Endothelial cell-specific molecule 1,常見別名為Endocan。該蛋白主要在血管內皮細胞中表達,參與血管生成和細胞黏附等過程。研究發現,ESM1在多種惡性腫瘤中高表達,與腫瘤血管生成、轉移和預后不良密切相關,因此被視為癌癥治療的新靶點。此外,ESM1還與慢性炎癥性疾病和心血管疾病相關,例如在動脈粥樣硬化的發生發展中發揮重要作用。近年來,針對ESM1的藥物研發取得了一定進展,包括抗血管生成藥物和靶向ESM1的單克隆抗體等,這些藥物在臨床試驗中顯示出良好的抗腫瘤效果。ESM1蛋白的研究為相關疾病的治療提供了新的思路和策略。
熱銷產品
ESM1 Antibody (CSB-PA007825LA01HU)
驗證數據
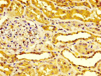
IHC image of CSB-PA007825LA01HU diluted at 1:400 and staining in paraffin-embedded human kidney tissue performed on a Leica BondTM system. After dewaxing and hydration, antigen retrieval was mediated by high pressure in a citrate buffer (pH 6.0). Section was blocked with 10% normal goat serum 30min at RT. Then primary antibody (1% BSA) was incubated at 4°C overnight. The primary is detected by a biotinylated secondary antibody and visualized using an HRP conjugated SP system.
Human endothelial cell-specific molecule 1(ESM-1) ELISA Kit (CSB-E16530h)
驗證數據
貨號:CSB-E16530h
規格:96T/48T
靈敏度:0.78 ng/ml
檢測范圍:3.12 ng/ml-200 ng/ml.
These standard curves are provided for demonstration only. A standard curve should be generated for each set of samples assayed.
ESM1 Antibodies
ESM1 for Homo sapiens (Human)
| 產品貨號 | 產品名稱 | 種屬反應性 | 應用類型 |
|---|---|---|---|
| CSB-PA007825LA01HU | ESM1 Antibody | Human | ELISA, IHC |
| CSB-PA007825LC01HU | ESM1 Antibody, FITC conjugated | Human | |
| CSB-PA007825HA01HU | ESM1 Antibody | Human | ELISA, IHC |
| CSB-PA007825HB01HU | ESM1 Antibody, HRP conjugated | Human | ELISA |
| CSB-PA007825HD01HU | ESM1 Antibody, Biotin conjugated | Human | ELISA |
ESM1 Proteins
ESM1 Proteins for Homo sapiens (Human)
| 產品貨號 | 產品名稱 | 來源 |
|---|---|---|
| CSB-YP007825HU CSB-EP007825HU CSB-BP007825HU CSB-MP007825HU CSB-EP007825HU-B |
Recombinant Human Endothelial cell-specific molecule 1 (ESM1) | Yeast E.coli Baculovirus Mammalian cell In Vivo Biotinylation in E.coli |
ESM1 ELISA Kit
ESM1 ELISA Kit for Homo sapiens (Human)
| 產品貨號 | 產品名稱 | 樣本類型 | 靈敏度 |
|---|---|---|---|
| CSB-E16530h | Human endothelial cell-specific molecule 1(ESM-1) ELISA Kit | serum, plasma, tissue homogenatess. | 0.78 ng/ml |






