ENTPD1
ENTPD1,即外核苷三磷酸二磷酸水解酶1,是一種重要的酶,其結構允許與鎂離子和鈣離子結合,并參與多種生物化學過程。該酶在細胞附著、信號轉導、血液凝固和抗微生物體液應答中扮演關鍵角色,確保了細胞的穩定、信號的精確傳遞、血液的正常凝固以及有效的免疫防御。盡管關于ENTPD1參與的信號通路的具體機制仍在研究中,但可以推測其可能與其他信號分子或受體相互作用,調節細胞的關鍵生命過程。隨著科研的深入,我們將更全面地理解ENTPD1的復雜性和其在生命體系中的重要作用。
熱銷產品
驗證數據
Positive WB detected in: HL-60 whole cell lysate, HepG2 whole cell lysate, U251 whole cell lysate
All lanes: ENTPD1 antibody at 2.6μg/ml
Secondary
Goat polyclonal to rabbit IgG at 1/50000 dilution
Predicted band size: 58, 59, 35, 43, 47, 60 kDa
Observed band size: 58, 43 kDa
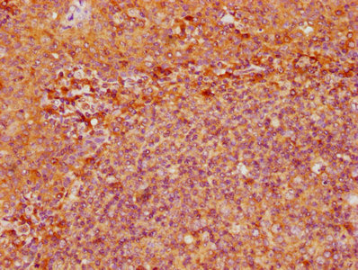
IHC image of CSB-PA007690LA01HU diluted at 1:500 and staining in paraffin-embedded human tonsil tissue performed on a Leica BondTM system. After dewaxing and hydration, antigen retrieval was mediated by high pressure in a citrate buffer (pH 6.0). Section was blocked with 10% normal goat serum 30min at RT. Then primary antibody (1% BSA) was incubated at 4°C overnight. The primary is detected by a biotinylated secondary antibody and visualized using an HRP conjugated SP system.
Immunofluorescence staining of Hela cells with CSB-PA007690LA01HU at 1:166, counter-stained with DAPI. The cells were fixed in 4% formaldehyde, permeabilized using 0.2% Triton X-100 and blocked in 10% normal Goat Serum. The cells were then incubated with the antibody overnight at 4°C. The secondary antibody was Alexa Fluor 488-congugated AffiniPure Goat Anti-Rabbit IgG(H+L).
ENTPD1 Antibodies
ENTPD1 for Homo sapiens (Human)
| 產品貨號 | 產品名稱 | 種屬反應性 | 應用類型 |
|---|---|---|---|
| CSB-PA007690GA01HU | ENTPD1 Antibody | Human,Mouse,Rat | ELISA,WB |
| CSB-PA006195 | ENTPD1 Antibody | Human,Mouse,Rat | WB, ELISA |
| CSB-PA080017 | ENTPD1 Antibody | Human | WB, ELISA |
| CSB-PA981013 | ENTPD1 Antibody | Human,Mouse,Rat | ELISA,WB,IHC |
| CSB-PA007690LA01HU | ENTPD1 Antibody | Human | ELISA, WB, IHC, IF |
| CSB-PA007690LD01HU | ENTPD1 Antibody, Biotin conjugated | Human | ELISA |
| CSB-RA568544A0HU | ENTPD1 Recombinant Monoclonal Antibody | Human | ELISA, FC |
| CSB-RA007690MA1HU | ENTPD1 Recombinant Monoclonal Antibody | Human | ELISA, IHC |
ENTPD1 Proteins
ENTPD1 Proteins for Homo sapiens (Human)
| 產品貨號 | 產品名稱 | 來源 |
|---|---|---|
| CSB-YP007690HU CSB-EP007690HU CSB-BP007690HU CSB-MP007690HU CSB-EP007690HU-B |
Recombinant Human Ectonucleoside triphosphate diphosphohydrolase 1 (ENTPD1), partial | Yeast E.coli Baculovirus Mammalian cell In Vivo Biotinylation in E.coli |
ENTPD1 ELISA Kit
ENTPD1 ELISA Kit for Homo sapiens (Human)
| 產品貨號 | 產品名稱 | 樣本類型 | 靈敏度 |
|---|---|---|---|
| CSB-EL007690HU | Human Ectonucleoside triphosphate diphosphohydrolase 1(ENTPD1) ELISA kit | serum, plasma, tissue homogenates | 5.86 pg/mL |






