EFNB2
EFNB2蛋白全稱為Ephrin-B2,也被稱為LERK5或HTKL,屬于ephrin蛋白家族成員。這類蛋白通常以膜結合形式存在,通過與相鄰細胞表面的Eph受體相互作用,雙向調節細胞黏附、遷移及組織邊界形成。EFNB2在胚胎發育階段對血管網絡構建及神經纖維導向具有關鍵作用,成年后參與組織修復與炎癥反應調控。EFNB2異常表達與多種實體瘤的侵襲轉移密切相關,尤其在乳腺癌、膠質瘤中可能通過促進新生血管生成加速病情進展。心血管領域研究則提示,EFNB2在動脈粥樣硬化斑塊的不穩定性和心肌缺血后血管再生過程中扮演雙重角色。近年來,針對該蛋白的靶向藥物開發聚焦于抑制其介導的病理過程,已有數款單抗類藥物進入臨床前研究階段,其中部分藥物在動物模型中顯示出阻斷腫瘤轉移的潛力。此外,基于EFNB2結構的生物材料也被探索用于引導神經再生等再生醫學領域。
熱銷產品
EFNB2 Antibody (CSB-PA007466ESR2HU)
驗證數據
Western blot
All lanes: EFNB2 antibody at 6μg/ml + Mouse kidney tissue
Secondary
Goat polyclonal to rabbit IgG at 1/10000 dilution
Predicted band size: 37 kDa
Observed band size: 37 kDa
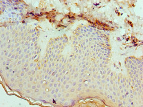
Immunohistochemistry of paraffin-embedded human skin tissue using CSB-PA007466ESR2HU at dilution of 1:100
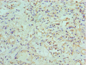
Immunohistochemistry of paraffin-embedded human kidney tissue using CSB-PA007466ESR2HU at dilution of 1:100
EFNB2 Antibodies
EFNB2 for Homo sapiens (Human)
| 產品貨號 | 產品名稱 | 種屬反應性 | 應用類型 |
|---|---|---|---|
| CSB-PA007466ESR1HU | EFNB2 Antibody | Human | ELISA, IHC |
| CSB-PA587215 | EFNB2 (Ab-316) Antibody | Human,Mouse | ELISA,WB |
| CSB-PA077593 | EFNB2 (Ab-330) Antibody | Human,Mouse | ELISA,WB,IF |
| CSB-PA166153 | Phospho-EFNB2 (Tyr316) Antibody | Human,Mouse | ELISA,WB |
| CSB-PA216331 | Phospho-EFNB2 (Tyr330) Antibody | Human,Mouse | ELISA,WB |
| CSB-PA007466ESR2HU | EFNB2 Antibody | Human, Mouse | ELISA, WB, IHC |
| CSB-PA035369 | EFNB2 Antibody | Human,Mouse | ELISA,IHC |
EFNB2 Proteins
EFNB2 Proteins for Homo sapiens (Human)
| 產品貨號 | 產品名稱 | 來源 |
|---|---|---|
| CSB-YP007466HU1 CSB-EP007466HU1 CSB-BP007466HU1 CSB-MP007466HU1 CSB-EP007466HU1-B |
Recombinant Human Ephrin-B2 (EFNB2), partial | Yeast E.coli Baculovirus Mammalian cell In Vivo Biotinylation in E.coli |
| CSB-CF007466HU | Recombinant Human Ephrin-B2 (EFNB2) | in vitro E.coli expression system |
EFNB2 ELISA Kit
EFNB2 ELISA Kit for Homo sapiens (Human)
| 產品貨號 | 產品名稱 | 樣本類型 | 靈敏度 |
|---|---|---|---|
| CSB-EL007466HU | Human Ephrin-B2(EFNB2) ELISA kit | serum, plasma, tissue homogenates, cell lysates | 3.9 pg/mL |






