DCLK1
DCLK1,即雙皮質素樣激酶1,別名CL1、DCLK、CLICK1、DCDC3A、DCAMKL1,由人類DCLK1基因編碼,該基因位于13號染色體的q13.3區域。
DCLK1是一種多結構域蛋白,屬于蛋白激酶超家族和雙皮質素家族,在神經元遷移、逆行運輸、神經元凋亡和神經發生等不同的細胞過程中發揮作用。DCLK1與記憶和一般認知能力相關,受腦源性神經營養因子上調。
DCLK1的表達異常與多種疾病相關,包括BandHeterotopia、ZellwegerSyndrome、結腸良性腫瘤、淋巴管瘤和先天性神經系統異常。DCLK1在多種人類癌癥中表達水平增加,可能通過調節NOTCH和WNT等發育途徑來影響細胞生長。
熱銷產品
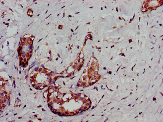
DCLK1 Antibody (CSB-PA006548LA01HU)
驗證數據
Immunohistochemistry of paraffin-embedded human glioma using CSB-PA006548LA01HU at dilution of 1:100
Immunohistochemistry of paraffin-embedded human breast cancer using CSB-PA006548LA01HU at dilution of 1:100
Immunofluorescence staining of MCF-7 cells with CSB-PA006548LA01HU at 1:166, counter-stained with DAPI. The cells were fixed in 4% formaldehyde, permeabilized using 0.2% Triton X-100 and blocked in 10% normal Goat Serum. The cells were then incubated with the antibody overnight at 4°C. The secondary antibody was Alexa Fluor 488-congugated AffiniPure Goat Anti-Rabbit IgG(H+L).
DCLK1 Antibodies
DCLK1 for Homo sapiens (Human)
| 產品貨號 | 產品名稱 | 種屬反應性 | 應用類型 |
|---|---|---|---|
| CSB-PA006548GA01HU | DCLK1 Antibody | Human,Mouse,Rat | ELISA,WB |
| CSB-PA231221 | DCLK1 Antibody | Human,Mouse | ELISA,WB |
| CSB-PA876215 | DCLK1 Antibody | Human,Mouse | ELISA,IHC |
| CSB-PA006548LA01HU | DCLK1 Antibody | Human | ELISA, IHC, IF |
| CSB-PA006548LC01HU | DCLK1 Antibody, FITC conjugated | Human |
DCLK1 Proteins
DCLK1 Proteins for Rattus norvegicus (Rat)
| 產品貨號 | 產品名稱 | 來源 |
|---|---|---|
| CSB-YP006548RA CSB-EP006548RA CSB-BP006548RA CSB-MP006548RA CSB-EP006548RA-B |
Recombinant Rat Serine/threonine-protein kinase DCLK1 (Dclk1) | Yeast E.coli Baculovirus Mammalian cell In Vivo Biotinylation in E.coli |
DCLK1 Proteins for Homo sapiens (Human)
| 產品貨號 | 產品名稱 | 來源 |
|---|---|---|
| CSB-YP006548HU CSB-EP006548HU CSB-BP006548HU CSB-MP006548HU CSB-EP006548HU-B |
Recombinant Human Serine/threonine-protein kinase DCLK1 (DCLK1) | Yeast E.coli Baculovirus Mammalian cell In Vivo Biotinylation in E.coli |
DCLK1 Proteins for Mus musculus (Mouse)
| 產品貨號 | 產品名稱 | 來源 |
|---|---|---|
| CSB-YP864369MO CSB-EP864369MO CSB-BP864369MO CSB-MP864369MO CSB-EP864369MO-B |
Recombinant Mouse Serine/threonine-protein kinase DCLK1 (Dclk1) | Yeast E.coli Baculovirus Mammalian cell In Vivo Biotinylation in E.coli |






