CYB5R3
CYB5R3,全稱為NADH-cytochrome b5 reductase 3,常見別名有DIA1和B5R。該蛋白參與脂肪酸的延伸和去飽和、膽固醇的生物合成以及藥物代謝。在紅細胞中,CYB5R3涉及高鐵血紅蛋白的還原。突變的CYB5R3基因可導致高鐵血紅蛋白血癥,表現為血液中高鐵血紅蛋白濃度過高,從而影響氧輸送,引發紫紺和缺氧癥狀。膜結合形式的CYB5R3則參與脂肪酸的延伸和去飽和、膽固醇的生物合成以及藥物代謝。研究表明,在過表達CYB5R3的癌細胞中,缺氧誘導因子-1(HIF-1)的表達顯著降低,從而抑制了癌細胞生長、體內腫瘤生長和轉移。基于這一發現,CYB5R3被研究作為預防和治療癌癥的藥物組合物的活性成分。目前,已有相關專利申請涉及將CYB5R3基因或蛋白用于開發抗癌藥物。
熱銷產品
CYB5R3 Antibody (CSB-PA02655A0Rb)
驗證數據
Western blot
All lanes: CYB5R3 antibody at 2µg/ml + 293T whole cell lysate
Secondary
Goat polyclonal to rabbit IgG at 1/10000 dilution
Predicted band size: 35, 32, 39 kDa
Observed band size: 32 kDa
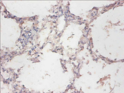
Immunohistochemistry of paraffin-embedded human lung tissue using CSB-PA02655A0Rb at dilution of 1:100
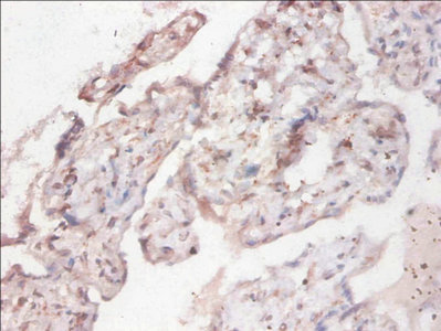
Immunohistochemistry of paraffin-embedded human placenta tissue using CSB-PA02655A0Rb at dilution of 1:100
Immunofluorescent analysis of Hela cells using CSB-PA02655A0Rb at dilution of 1:100 and Alexa Fluor 488-congugated AffiniPure Goat Anti-Rabbit IgG(H+L)
Human NADH-cytochrome b5 reductase 3(CYB5R3) ELISA kit (CSB-EL006320HU)
驗證數據
貨號:CSB-EL006320HU
規格:96T/48T
靈敏度:6.25pg/ml
檢測范圍:25 pg/ml-1600 pg/ml
These standard curves are provided for demonstration only. A standard curve should be generated for each set of samples assayed.
CYB5R3 Antibodies
CYB5R3 for Homo sapiens (Human)
| 產品貨號 | 產品名稱 | 種屬反應性 | 應用類型 |
|---|---|---|---|
| CSB-PA02655A0Rb | CYB5R3 Antibody | Human | ELISA, WB, IHC, IF |
| CSB-PA006320GA01HU | CYB5R3 Antibody | Human,Mouse,Rat | ELISA,WB,IHC |
| CSB-PA178677 | CYB5R3 Antibody | Human | ELISA,WB,IHC |
| CSB-PA001856 | CYB5R3 Antibody | Human | WB, IHC, ELISA |
CYB5R3 Proteins
CYB5R3 Proteins for Sus scrofa (Pig)
| 產品貨號 | 產品名稱 | 來源 |
|---|---|---|
| CSB-YP006320PI CSB-EP006320PI CSB-BP006320PI CSB-MP006320PI CSB-EP006320PI-B |
Recombinant Pig NADH-cytochrome b5 reductase 3 (CYB5R3) | Yeast E.coli Baculovirus Mammalian cell In Vivo Biotinylation in E.coli |
CYB5R3 Proteins for Rattus norvegicus (Rat)
| 產品貨號 | 產品名稱 | 來源 |
|---|---|---|
| CSB-YP006320RA CSB-EP006320RA CSB-BP006320RA CSB-MP006320RA CSB-EP006320RA-B |
Recombinant Rat NADH-cytochrome b5 reductase 3 (Cyb5r3) | Yeast E.coli Baculovirus Mammalian cell In Vivo Biotinylation in E.coli |
CYB5R3 Proteins for Bos taurus (Bovine)
| 產品貨號 | 產品名稱 | 來源 |
|---|---|---|
| CSB-YP006320BO CSB-EP006320BO CSB-BP006320BO CSB-MP006320BO CSB-EP006320BO-B |
Recombinant Bovine NADH-cytochrome b5 reductase 3 (CYB5R3) | Yeast E.coli Baculovirus Mammalian cell In Vivo Biotinylation in E.coli |
CYB5R3 Proteins for Homo sapiens (Human)
| 產品貨號 | 產品名稱 | 來源 |
|---|---|---|
| CSB-YP006320HU CSB-EP006320HU CSB-BP006320HU CSB-MP006320HU CSB-EP006320HU-B |
Recombinant Human NADH-cytochrome b5 reductase 3 (CYB5R3) | Yeast E.coli Baculovirus Mammalian cell In Vivo Biotinylation in E.coli |
CYB5R3 Proteins for Canis familiaris (Dog) (Canis lupus familiaris)
| 產品貨號 | 產品名稱 | 來源 |
|---|---|---|
| CSB-YP607302DO CSB-EP607302DO CSB-BP607302DO CSB-MP607302DO CSB-EP607302DO-B |
Recombinant Dog NADH-cytochrome b5 reductase 3 (CYB5R3) | Yeast E.coli Baculovirus Mammalian cell In Vivo Biotinylation in E.coli |
CYB5R3 Proteins for Macaca fascicularis (Crab-eating macaque) (Cynomolgus monkey)
| 產品貨號 | 產品名稱 | 來源 |
|---|---|---|
| CSB-YP720221MOV CSB-EP720221MOV CSB-BP720221MOV CSB-MP720221MOV CSB-EP720221MOV-B |
Recombinant Macaca fascicularis NADH-cytochrome b5 reductase 3 (CYB5R3) | Yeast E.coli Baculovirus Mammalian cell In Vivo Biotinylation in E.coli |
CYB5R3 Proteins for Mus musculus (Mouse)
| 產品貨號 | 產品名稱 | 來源 |
|---|---|---|
| CSB-YP887597MO CSB-BP887597MO CSB-MP887597MO CSB-EP887597MO-B |
Recombinant Mouse NADH-cytochrome b5 reductase 3 (Cyb5r3) | Yeast Baculovirus Mammalian cell In Vivo Biotinylation in E.coli |
CYB5R3 ELISA Kit
CYB5R3 ELISA Kit for Homo sapiens (Human)
| 產品貨號 | 產品名稱 | 樣本類型 | 靈敏度 |
|---|---|---|---|
| CSB-EL006320HU | Human NADH-cytochrome b5 reductase 3(CYB5R3) ELISA kit | serum, plasma, tissuehomogenates, cell lysates. | 6.25pg/ml |






