CLEC2D
CLEC2D,全稱為C-type lectin domain family 2 member D,常見別名包括CLAX、LLT1、OCIL等。該蛋白主要位于細胞膜外基質,具有抑制破骨細胞形成、調節干擾素-γ釋放、結合高分子量硫酸化糖胺聚糖等多種功能。CLEC2D蛋白在多種組織中表達,包括胎兒心臟、腦、肺、軟骨細胞等,并在成人脾細胞、胸腺細胞、淋巴結細胞等組織中也有檢測到。研究表明,CLEC2D蛋白與腫瘤免疫治療密切相關,其在惡性腦腫瘤中發揮重要作用。通過阻斷CLEC2D與CD161受體的相互作用,可以增強T細胞對腫瘤細胞的殺傷作用,提高動物的存活率。此外,CLEC2D蛋白還與黑色素瘤、肺癌、結腸癌和肝癌等多種癌癥相關。目前,針對CLEC2D蛋白的藥物研發正在積極進行中,有望為癌癥患者提供新的治療策略。
熱銷產品
CLEC2D Antibody (CSB-PA254797)
驗證數據
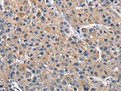
The image on the left is immunohistochemistry of paraffin-embedded Human thyroid cancer tissue using CSB-PA254797(CLEC2D Antibody) at dilution 1/70, on the right is treated with fusion protein. (Original magnification: ×200)
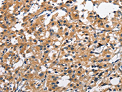
The image on the left is immunohistochemistry of paraffin-embedded Human liver cancer tissue using CSB-PA254797(CLEC2D Antibody) at dilution 1/70, on the right is treated with fusion protein. (Original magnification: ×200)
Human C-type lectin domain family 2 member D(CLEC2D) ELISA kit (CSB-EL005528HU)
驗證數據
貨號:CSB-EL005528HU
規格:96T/48T
靈敏度:7.81 pg/mL
檢測范圍:31.25 pg/mL-2000 pg/mL
These standard curves are provided for demonstration only. A standard curve should be generated for each set of samples assayed.
CLEC2D Antibodies
CLEC2D for Homo sapiens (Human)
| 產品貨號 | 產品名稱 | 種屬反應性 | 應用類型 |
|---|---|---|---|
| CSB-PA254797 | CLEC2D Antibody | Human | ELISA,IHC |
| CSB-PA114834 | CLEC2D Antibody | Human | ELISA,IHC |
| CSB-PA883401LA01HU | CLEC2D Antibody | Human | ELISA |
| CSB-PA883401LB01HU | CLEC2D Antibody, HRP conjugated | Human | ELISA |
| CSB-PA883401LC01HU | CLEC2D Antibody, FITC conjugated | Human | |
| CSB-PA883401LD01HU | CLEC2D Antibody, Biotin conjugated | Human | ELISA |
CLEC2D Proteins
CLEC2D Proteins for Homo sapiens (Human)
| 產品貨號 | 產品名稱 | 來源 |
|---|---|---|
| CSB-YP883401HU CSB-EP883401HU CSB-BP883401HU CSB-MP883401HU CSB-EP883401HU-B |
Recombinant Human C-type lectin domain family 2 member D (CLEC2D), partial | Yeast E.coli Baculovirus Mammalian cell In Vivo Biotinylation in E.coli |
CLEC2D ELISA Kit
CLEC2D ELISA Kit for Homo sapiens (Human)
| 產品貨號 | 產品名稱 | 樣本類型 | 靈敏度 |
|---|---|---|---|
| CSB-EL005528HU | Human C-type lectin domain family 2 member D(CLEC2D) ELISA kit | serum, plasma, tissue homogenates, cell lysates | 7.81 pg/mL |






