CHRM1
CHRM1,即膽堿能受體毒蕈堿1,別名包括毒蕈堿M1受體、乙酰膽堿受體毒蕈堿1。它是一種G蛋白偶聯受體,由CHRM1基因編碼,在中樞神經系統、視網膜和泌尿系統中表達。CHRM1的作用機制主要是通過與乙酰膽堿結合,激活G蛋白,進而抑制腺苷酸環化酶活性、促進磷酸肌醇的降解和調節鉀通道,從而介導多種細胞反應。CHRM1在生物學上的意義非常廣泛,它參與調節迷走神經誘導的支氣管收縮、胃腸道的酸分泌以及認知功能等。此外,CHRM1的功能異常與多種疾病有關,包括Lambert-Eaton肌無力綜合征、哮喘、重癥肌無力、焦慮癥、心傳導阻滯、帕瑞特腺癌、阿爾茨海默病、精神分裂癥等。
熱銷產品
Recombinant Human Muscarinic acetylcholine receptor M1 (CHRM1), partial (CSB-EP005381HU1)
驗證數據
(Tris-Glycine gel) Discontinuous SDS-PAGE (reduced) with 5% enrichment gel and 15% separation gel.
驗證數據
The image on the left is immunohistochemistry of paraffin-embedded Human brain tissue using CSB-PA576885(CHRM1 Antibody) at dilution 1/20, on the right is treated with fusion protein. (Original magnification: ×200)
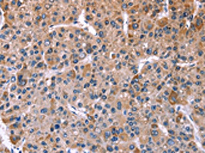
The image on the left is immunohistochemistry of paraffin-embedded Human liver cancer tissue using CSB-PA576885(CHRM1 Antibody) at dilution 1/20, on the right is treated with fusion protein. (Original magnification: ×200)
CHRM1 Antibodies
CHRM1 for Rattus norvegicus (Rat)
| 產品貨號 | 產品名稱 | 種屬反應性 | 應用類型 |
|---|---|---|---|
| CSB-PA005381HA01RA | Chrm1 Antibody | Rat | ELISA, WB |
CHRM1 for Homo sapiens (Human)
| 產品貨號 | 產品名稱 | 種屬反應性 | 應用類型 |
|---|---|---|---|
| CSB-PA006806 | CHRM1 Antibody | Human,Mouse,Rat | WB, ELISA |
| CSB-PA759611 | CHRM1 Antibody | Human,Mouse,Rat | ELISA,WB |
| CSB-PA576885 | CHRM1 Antibody | Human,Mouse,Rat | ELISA,IHC |
| CSB-PA005381PA01HU | CHRM1 Antibody | Human | ELISA, IF |
| CSB-PA005381PD01HU | CHRM1 Antibody, Biotin conjugated | Human | ELISA |
CHRM1 Proteins
CHRM1 Proteins for Homo sapiens (Human)
| 產品貨號 | 產品名稱 | 來源 |
|---|---|---|
| CSB-YP005381HU1 CSB-BP005381HU1 CSB-MP005381HU1 CSB-EP005381HU1-B |
Recombinant Human Muscarinic acetylcholine receptor M1 (CHRM1), partial | Yeast Baculovirus Mammalian cell In Vivo Biotinylation in E.coli |
| CSB-CF005381HU | Recombinant Human Muscarinic acetylcholine receptor M1 (CHRM1) | in vitro E.coli expression system |
| CSB-EP005381HU1 | Recombinant Human Muscarinic acetylcholine receptor M1 (CHRM1), partial | E.coli |
CHRM1 Proteins for Mus musculus (Mouse)
| 產品貨號 | 產品名稱 | 來源 |
|---|---|---|
| CSB-YP005381MO1 CSB-EP005381MO1 CSB-BP005381MO1 CSB-MP005381MO1 CSB-EP005381MO1-B |
Recombinant Mouse Muscarinic acetylcholine receptor M1 (Chrm1), partial | Yeast E.coli Baculovirus Mammalian cell In Vivo Biotinylation in E.coli |
| CSB-CF005381MO | Recombinant Mouse Muscarinic acetylcholine receptor M1 (Chrm1) | in vitro E.coli expression system |
CHRM1 Proteins for Macaca mulatta (Rhesus macaque)
| 產品貨號 | 產品名稱 | 來源 |
|---|---|---|
| CSB-YP005381MOW1 CSB-EP005381MOW1 CSB-BP005381MOW1 CSB-MP005381MOW1 CSB-EP005381MOW1-B |
Recombinant Macaca mulatta (Rhesus macaque) Muscarinic acetylcholine receptor M1 (CHRM1), partial | Yeast E.coli Baculovirus Mammalian cell In Vivo Biotinylation in E.coli |
| CSB-CF005381MOW | Recombinant Macaca mulatta (Rhesus macaque) Muscarinic acetylcholine receptor M1 (CHRM1) | in vitro E.coli expression system |
CHRM1 Proteins for Sus scrofa (Pig)
| 產品貨號 | 產品名稱 | 來源 |
|---|---|---|
| CSB-YP005381PI1 CSB-EP005381PI1 CSB-BP005381PI1 CSB-MP005381PI1 CSB-EP005381PI1-B |
Recombinant Pig Muscarinic acetylcholine receptor M1 (CHRM1), partial | Yeast E.coli Baculovirus Mammalian cell In Vivo Biotinylation in E.coli |
| CSB-CF005381PI | Recombinant Pig Muscarinic acetylcholine receptor M1 (CHRM1) | in vitro E.coli expression system |
CHRM1 Proteins for Pongo abelii (Sumatran orangutan)
| 產品貨號 | 產品名稱 | 來源 |
|---|---|---|
| CSB-YP712902PYX1 CSB-EP712902PYX1 CSB-BP712902PYX1 CSB-MP712902PYX1 CSB-EP712902PYX1-B |
Recombinant Pongo abelii Muscarinic acetylcholine receptor M1 (CHRM1), partial | Yeast E.coli Baculovirus Mammalian cell In Vivo Biotinylation in E.coli |
| CSB-CF712902PYX | Recombinant Pongo abelii Muscarinic acetylcholine receptor M1 (CHRM1) | in vitro E.coli expression system |
CHRM1 Proteins for Rattus norvegicus (Rat)
| 產品貨號 | 產品名稱 | 來源 |
|---|---|---|
| CSB-YP005381RA | Recombinant Rat Muscarinic acetylcholine receptor M1 (Chrm1), partial | Yeast |
| CSB-EP005381RA | Recombinant Rat Muscarinic acetylcholine receptor M1 (Chrm1), partial | E.coli |
| CSB-BP005381RA CSB-MP005381RA CSB-EP005381RA-B |
Recombinant Rat Muscarinic acetylcholine receptor M1 (Chrm1), partial | Baculovirus Mammalian cell In Vivo Biotinylation in E.coli |
CHRM1 ELISA Kit
CHRM1 ELISA Kit for Rattus norvegicus (Rat)
| 產品貨號 | 產品名稱 | 樣本類型 | 靈敏度 |
|---|---|---|---|
| CSB-EL005381RA | Rat Muscarinic acetylcholine receptor M1(CHRM1) ELISA kit | serum, plasma, tissue homogenates, cell lysates. | 0.27 ng/ml |






