CFH
CFH,即補體因子H,別名HUS、FHL1、ARMS1、ARMD4等。它是由人體肝臟及一些其他細胞產生的一種血清糖蛋白,主要在補體系統的調節中發揮作用。CFH的作用機制主要是通過與C3b結合,抑制補體旁路途徑C3轉化酶的形成,促進C3轉化酶的分解,從而控制補體激活,保護宿主細胞免受補體的破壞。CFH的生物學意義非常廣泛,它不僅在免疫防御中保護自身細胞,防止補體系統的過度激活,還涉及到多種疾病的發生發展,如年齡相關性黃斑變性(AMD)、某些腎臟疾病和心血管疾病等。CFH基因的突變或異常表達與這些疾病的發生有密切關系。
熱銷產品
Recombinant Human Complement factor H (CFH), partial (CSB-EP005273HU(F1))
驗證數據
(Tris-Glycine gel) Discontinuous SDS-PAGE (reduced) with 5% enrichment gel and 15% separation gel.
CFH Antibody (CSB-PA005273ESR2HU)
驗證數據
Western blot
All lanes: CFH antibody at 3µg/ml + human serum
Secondary
Goat polyclonal to rabbit IgG at 1/10000 dilution
Predicted band size: 140, 52 kDa
Observed band size: 140 kDa
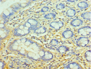
Immunohistochemistry of paraffin-embedded human small intestine tissue using CSB-PA005273ESR2HU at dilution of 1:100
CFH Antibodies
CFH for Homo sapiens (Human)
| 產品貨號 | 產品名稱 | 種屬反應性 | 應用類型 |
|---|---|---|---|
| CSB-PA005273GA01HU | CFH Antibody | Human | ELISA,WB |
| CSB-PA005273ESR2HU | CFH Antibody | Human | ELISA, WB, IHC |
CFH Proteins
CFH Proteins for Homo sapiens (Human)
| 產品貨號 | 產品名稱 | 來源 |
|---|---|---|
| CSB-YP005273HU(F1) CSB-BP005273HU(F1) CSB-EP005273HU(F1)-B |
Recombinant Human Complement factor H (CFH), partial | Yeast Baculovirus In Vivo Biotinylation in E.coli |
| CSB-EP005273HU(F1) | Recombinant Human Complement factor H (CFH), partial | E.coli |
| CSB-MP005273HU(F1) | Recombinant Human Complement factor H (CFH), partial | Mammalian cell |
| CSB-MP005273HU(F1)d9 | Recombinant Human Complement factor H (CFH), partial | Mammalian cell |
CFH Proteins for Mus musculus (Mouse)
| 產品貨號 | 產品名稱 | 來源 |
|---|---|---|
| CSB-YP005273MO CSB-EP005273MO CSB-BP005273MO CSB-MP005273MO CSB-EP005273MO-B |
Recombinant Mouse Complement factor H (Cfh), partial | Yeast E.coli Baculovirus Mammalian cell In Vivo Biotinylation in E.coli |
CFH Proteins for Bos taurus (Bovine)
| 產品貨號 | 產品名稱 | 來源 |
|---|---|---|
| CSB-YP005273BO CSB-EP005273BO CSB-BP005273BO CSB-MP005273BO CSB-EP005273BO-B |
Recombinant Bovine Complement factor H (CFH), partial | Yeast E.coli Baculovirus Mammalian cell In Vivo Biotinylation in E.coli |
CFH ELISA Kit
CFH ELISA Kit for Homo sapiens (Human)
| 產品貨號 | 產品名稱 | 樣本類型 | 靈敏度 |
|---|---|---|---|
| CSB-E08931h | Human complement factor H,CFH ELISA Kit | serum, plasma, tissue homogenates | 7.8 ng/ml |
CFH ELISA Kit for Mus musculus (Mouse)
| 產品貨號 | 產品名稱 | 樣本類型 | 靈敏度 |
|---|---|---|---|
| CSB-E08933m | Mouse complement factor H,CFH ELISA Kit | serum, plasma, tissue homogenates | 7.81 ng/mL |






