CD177
CD177,全名為CD177分子,也被稱為NB1、PRV1、HNA2A、PRV-1、HNA-2a或NB1 GP。這是一種在多種組織中表達的跨膜蛋白,與中性粒細胞活化密切相關。CD177蛋白在免疫系統中扮演重要角色,其功能包括結合血小板內皮細胞粘附分子-1,參與中性粒細胞遷移。CD177的異常表達與多種疾病相關,如骨髓增生性疾病、真性紅細胞增多癥和韋格納肉芽腫病。目前,針對CD177的藥物研發正在積極推進,旨在開發新的治療方法以應對相關疾病。
熱銷產品
Recombinant Human CD177 antigen (CD177),Partial (CSB-EP850816HU)
驗證數據
(Tris-Glycine gel) Discontinuous SDS-PAGE (reduced) with 5% enrichment gel and 15% separation gel.
CD177 Antibody (CSB-PA850816LA01HU)
驗證數據
Western Blot
Positive WB detected in: Mouse brain tissue, Human placenta tissue
All lanes: CD177 antibody at 3μg/ml
Secondary
Goat polyclonal to rabbit IgG at 1/50000 dilution
Predicted band size: 47, 28, 16 kDa
Observed band size: 47 kDa
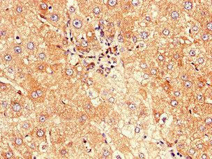
Immunohistochemistry of paraffin-embedded human liver cancer using CSB-PA850816LA01HU at dilution of 1:100
Immunofluorescent analysis of HepG2 cells using CSB-PA850816LA01HU at dilution of 1:100 and Alexa Fluor 488-congugated AffiniPure Goat Anti-Rabbit IgG(H+L)
Human CD177 antigen(CD177) ELISA kit (CSB-EL004886HU)
驗證數據
貨號:CSB-EL004886HU
規格:96T/48T
靈敏度:0.225 ng/mL
檢測范圍:0.9 ng/mL-60 ng/mL
These standard curves are provided for demonstration only. A standard curve should be generated for each set of samples assayed.
CD177 Antibodies
CD177 for Homo sapiens (Human)
| 產品貨號 | 產品名稱 | 種屬反應性 | 應用類型 |
|---|---|---|---|
| CSB-PA005316 | CD177 Antibody | Human | WB, ELISA |
| CSB-PA982897 | CD177 Antibody | Human | ELISA,IHC |
| CSB-PA850816LA01HU | CD177 Antibody | Human, Mouse | ELISA, WB, IHC, IF |
CD177 Proteins
CD177 Proteins for Homo sapiens (Human)
| 產品貨號 | 產品名稱 | 來源 |
|---|---|---|
| CSB-YP850816HU CSB-BP850816HU CSB-MP850816HU CSB-EP850816HU-B |
Recombinant Human CD177 antigen (CD177) | Yeast Baculovirus Mammalian cell In Vivo Biotinylation in E.coli |
CD177 Proteins for Homo sapiens (Human)
| 產品貨號 | 產品名稱 | 來源 |
|---|---|---|
| CSB-EP850816HU | Recombinant Human CD177 antigen (CD177),Partial | E.coli |
CD177 ELISA Kit
CD177 ELISA Kit for Homo sapiens (Human)
| 產品貨號 | 產品名稱 | 樣本類型 | 靈敏度 |
|---|---|---|---|
| CSB-EL004886HU | Human CD177 antigen(CD177) ELISA kit | serum, plasma, tissue homogenates, cell culture supernates | 0.225 ng/mL |






