CCL21
CCL21,即C-C基序趨化因子配體21,別名ECL、SLC、CKb9、TCA4、SCYA21。CCL21是一種小分子細胞因子,屬于CC亞家族的趨化因子,主要在淋巴管起始處和淋巴器官中組成型表達,存在于幾種基質細胞和高內皮小靜脈(HEV)上,可以與糖胺聚糖(GAG)結合并固定在內皮細胞表面。CCL21通過與趨化因子受體CCR7和CXCR3結合,發揮其生物學功能。CCL21對胸腺細胞和活化的T細胞具有體外趨化作用,但對B細胞、巨噬細胞或中性粒細胞沒有趨化作用。CCL21也是一種有效的T細胞遷移和粘附刺激物,可以促進T細胞向次級淋巴器官的遷移,對淋巴細胞歸巢至二級淋巴器官中發揮作用,具有重要的免疫調節作用。
熱銷產品
Recombinant Human C-C motif chemokine 21 (CCL21) (CSB-EP004785HUc0)
驗證數據
(Tris-Glycine gel) Discontinuous SDS-PAGE (reduced) with 5% enrichment gel and 15% separation gel.
驗證數據
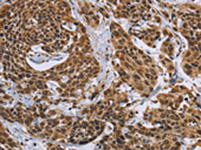
The image on the left is immunohistochemistry of paraffin-embedded Human cervical cancer tissue using CSB-PA576836(CCL21 Antibody) at dilution 1/40, on the right is treated with fusion protein. (Original magnification: ×200)
The image on the left is immunohistochemistry of paraffin-embedded Human colon cancer tissue using CSB-PA576836(CCL21 Antibody) at dilution 1/40, on the right is treated with fusion protein. (Original magnification: ×200)
CCL21 Antibodies
CCL21 for Homo sapiens (Human)
| 產品貨號 | 產品名稱 | 種屬反應性 | 應用類型 |
|---|---|---|---|
| CSB-PA004785DA01HU | CCL21 Antibody | Human | ELISA, IHC |
| CSB-PA004785DD01HU | CCL21 Antibody, Biotin conjugated | Human | ELISA |
| CSB-PA004785DC01HU | CCL21 Antibody, FITC conjugated | Human | |
| CSB-PA004785DB01HU | CCL21 Antibody, HRP conjugated | Human | ELISA |
| CSB-PA576836 | CCL21 Antibody | Human | ELISA,IHC |
| CSB-PA929761 | CCL21 Antibody | Human | ELISA,IHC |
CCL21 Proteins
CCL21 Proteins for Homo sapiens (Human)
| 產品貨號 | 產品名稱 | 來源 |
|---|---|---|
| CSB-YP004785HU CSB-BP004785HU CSB-MP004785HU CSB-EP004785HU-B |
Recombinant Human C-C motif chemokine 21 (CCL21) | Yeast Baculovirus Mammalian cell In Vivo Biotinylation in E.coli |
| CSB-EP004785HU | Recombinant Human C-C motif chemokine 21 (CCL21) | E.coli |
| CSB-AP000941HU | Recombinant Human C-C motif chemokine 21 protein (CCL21) | E.Coli |
| CSB-EP004785HUc0 | Recombinant Human C-C motif chemokine 21 (CCL21) | E.coli |
CCL21 Proteins for Macaca mulatta (Rhesus macaque)
| 產品貨號 | 產品名稱 | 來源 |
|---|---|---|
| CSB-YP812822MOW CSB-EP812822MOW CSB-BP812822MOW CSB-MP812822MOW CSB-EP812822MOW-B |
Recombinant Macaca mulatta C-C motif chemokine 21 (CCL21) | Yeast E.coli Baculovirus Mammalian cell In Vivo Biotinylation in E.coli |
CCL21 ELISA Kit
CCL21 ELISA Kit for Homo sapiens (Human)
| 產品貨號 | 產品名稱 | 樣本類型 | 靈敏度 |
|---|---|---|---|
| CSB-E04521h | Human secondary lymphoid-tissue chemokine,SLC ELISA Kit | serum, plasma | 19.5 pg/mL |






