CCL11
CCL11,即C-C motif chemokine ligand 11,也被稱作Eotaxin-1,是一種小型誘導性細胞因子,屬于C-C基序趨化因子家族成員之一。它在多種免疫細胞的遷移和活化中發揮關鍵作用,尤其是對嗜酸性粒細胞、嗜堿性粒細胞和Th2淋巴細胞具有強烈的化學吸引作用。CCL11通過與趨化因子受體如CCR2、CCR3和CCR5結合來發揮作用,其中CCR3是介導CCL11生物學效應的主要受體。CCL11參與了多種生理和病理過程,包括哮喘時嗜酸性粒細胞的歸巢、腫瘤微環境中免疫細胞的招募以及在衰老和神經退行性疾病中的潛在作用。研究表明,CCL11在老年人中表達上調,并與某些年齡相關疾病的發展相關聯。此外,CCL11的表達還與腫瘤微環境的免疫調節有關,可能影響腫瘤的發展和患者的預后。
熱銷產品
CCL11 Antibody (CSB-PA004775ESR2HU)
驗證數據
Western blot
All lanes: CCL11 antibody at 5μg/ml + Hela whole cell lysate
Secondary
Goat polyclonal to rabbit IgG at 1/10000 dilution
Predicted band size: 11 kDa
Observed band size: 11 kDa
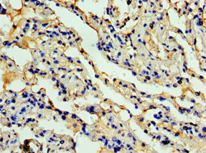
Immunohistochemistry of paraffin-embedded human lung tissue using CSB-PA004775ESR2HU at dilution of 1:100
Rat Eotaxin 1 (Eotaxin 1/CCL11/ECF)ELISA Kit (CSB-E07319r)
驗證數據
貨號:CSB-E07319r
規格:96T/48T
靈敏度:3.9 pg/ml
檢測范圍:15.6 pg/ml -1000 pg/ml
These standard curves are provided for demonstration only. A standard curve should be generated for each set of samples assayed.
CCL11 Antibodies
CCL11 for Homo sapiens (Human)
| 產品貨號 | 產品名稱 | 種屬反應性 | 應用類型 |
|---|---|---|---|
| CSB-PA004775GA01HU | CCL11 Antibody | Human,Mouse,Rat | ELISA,WB |
| CSB-PA004775ESR2HU | CCL11 Antibody | Human | ELISA, WB, IHC |
| CSB-PA005780 | CCL11 Antibody | Human,Mouse,Rat | WB, ELISA |
CCL11 Proteins
CCL11 Proteins for Cavia porcellus (Guinea pig)
| 產品貨號 | 產品名稱 | 來源 |
|---|---|---|
| CSB-YP004775GU CSB-EP004775GU CSB-BP004775GU CSB-MP004775GU CSB-EP004775GU-B |
Recombinant Guinea pig Eotaxin (CCL11) | Yeast E.coli Baculovirus Mammalian cell In Vivo Biotinylation in E.coli |
CCL11 Proteins for Rattus norvegicus (Rat)
| 產品貨號 | 產品名稱 | 來源 |
|---|---|---|
| CSB-YP004775RA CSB-EP004775RA CSB-BP004775RA CSB-MP004775RA CSB-EP004775RA-B |
Recombinant Rat Eotaxin (Ccl11) | Yeast E.coli Baculovirus Mammalian cell In Vivo Biotinylation in E.coli |
| CSB-AP001561RA | Recombinant Rat Eotaxin protein (Ccl11) | E.Coli |
CCL11 Proteins for Mus musculus (Mouse)
| 產品貨號 | 產品名稱 | 來源 |
|---|---|---|
| CSB-YP004775MO CSB-EP004775MO CSB-BP004775MO CSB-MP004775MO CSB-EP004775MO-B |
Recombinant Mouse Eotaxin (Ccl11) | Yeast E.coli Baculovirus Mammalian cell In Vivo Biotinylation in E.coli |
| CSB-AP001291MO | Recombinant Mouse Eotaxin protein (Ccl11) | E.Coli |
CCL11 Proteins for Homo sapiens (Human)
| 產品貨號 | 產品名稱 | 來源 |
|---|---|---|
| CSB-YP004775HU CSB-BP004775HU CSB-MP004775HU CSB-EP004775HU-B |
Recombinant Human Eotaxin (CCL11) | Yeast Baculovirus Mammalian cell In Vivo Biotinylation in E.coli |
| CSB-AP000901HU | Recombinant Human Eotaxin protein (CCL11) | E.Coli |
| CSB-EP004775HU | Recombinant Human Eotaxin (CCL11) | E.coli |
CCL11 Proteins for Macaca mulatta (Rhesus macaque)
| 產品貨號 | 產品名稱 | 來源 |
|---|---|---|
| CSB-YP850742MOW CSB-EP850742MOW CSB-BP850742MOW CSB-MP850742MOW CSB-EP850742MOW-B |
Recombinant Macaca mulatta Eotaxin (CCL11) | Yeast E.coli Baculovirus Mammalian cell In Vivo Biotinylation in E.coli |
| CSB-AP001041MOW | Recombinant Rhesus Macaque Eotaxin protein (CCL11) | E.Coli |
CCL11 Proteins for Equus caballus (Horse)
| 產品貨號 | 產品名稱 | 來源 |
|---|---|---|
| CSB-YP890591HO CSB-EP890591HO CSB-BP890591HO CSB-MP890591HO CSB-EP890591HO-B |
Recombinant Horse Eotaxin (CCL11) | Yeast E.coli Baculovirus Mammalian cell In Vivo Biotinylation in E.coli |
CCL11 Proteins for Bos taurus (Bovine)
| 產品貨號 | 產品名稱 | 來源 |
|---|---|---|
| CSB-YP890592BO CSB-EP890592BO CSB-BP890592BO CSB-MP890592BO CSB-EP890592BO-B |
Recombinant Bovine Eotaxin (CCL11) | Yeast E.coli Baculovirus Mammalian cell In Vivo Biotinylation in E.coli |
CCL11 ELISA Kit
CCL11 ELISA Kit for Homo sapiens (Human)
| 產品貨號 | 產品名稱 | 樣本類型 | 靈敏度 |
|---|---|---|---|
| CSB-E04533h | Human eosinophil chemotactic factor,ECF ELISA Kit | serum, plasma, cell culture supernates, tissue homogenates | 7.8 pg/mL |
CCL11 ELISA Kit for Rattus norvegicus (Rat)
| 產品貨號 | 產品名稱 | 樣本類型 | 靈敏度 |
|---|---|---|---|
| CSB-E07319r | Rat Eotaxin 1 (Eotaxin 1/CCL11/ECF)ELISA Kit | serum, plasma, tissue homogenates | 3.9 pg/ml |






