CAP1
CAP1,全稱為 Adenylyl cyclase-associated protein 1,別名 CAP,是一種與細胞骨架動態調節相關的蛋白。研究發現,CAP1 蛋白在多種生物的進化過程中高度保守,提示其在細胞骨架調控中發揮著重要作用。CAP1 蛋白能夠結合游離的肌動蛋白單體,并加速肌動蛋白多聚化過程,從而影響細胞的遷移、增殖等生命活動。此外,CAP1 蛋白還與多種疾病的發生發展密切相關,例如動脈粥樣硬化、肺癌等。近年來,CAP1 蛋白成為疾病診斷和治療研究的潛在靶點。研究表明,CAP1 蛋白的表達水平與動脈粥樣硬化嚴重程度呈正相關,且在肺癌細胞中高表達,可能參與肺癌細胞的遷移和增殖。基于這些發現,針對 CAP1 蛋白的藥物研發正在積極開展,例如開發 CAP1 抑制劑等,以期用于相關疾病的治療。
熱銷產品
Recombinant Human Adenylyl cyclase-associated protein 1 (CAP1) (CSB-EP004486HUc7)
驗證數據
(Tris-Glycine gel) Discontinuous SDS-PAGE (reduced) with 5% enrichment gel and 15% separation gel.
CAP1 Antibody (CSB-PA004486LA01HU)
驗證數據
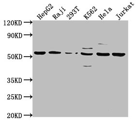
Western Blot
Positive WB detected in: HepG2 whole cell lysate, Raji whole cell lysate, 293T whole cell lysate, K562 whole cell lysate, Hela whole cell lysate, Jurkat whole cell lysate
All lanes: CAP1 antibody at 1:2000
Secondary
Goat polyclonal to rabbit IgG at 1/50000 dilution
Predicted band size: 52 kDa
Observed band size: 52 kDa
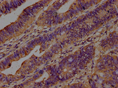
IHC image of CSB-PA004486LA01HU diluted at 1:200 and staining in paraffin-embedded human colon cancer performed on a Leica BondTM system. After dewaxing and hydration, antigen retrieval was mediated by high pressure in a citrate buffer (pH 6.0). Section was blocked with 10% normal goat serum 30min at RT. Then primary antibody (1% BSA) was incubated at 4°C overnight. The primary is detected by a biotinylated secondary antibody and visualized using an HRP conjugated SP system.
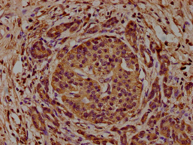
IHC image of CSB-PA004486LA01HU diluted at 1:200 and staining in paraffin-embedded human pancreatic cancer performed on a Leica BondTM system. After dewaxing and hydration, antigen retrieval was mediated by high pressure in a citrate buffer (pH 6.0). Section was blocked with 10% normal goat serum 30min at RT. Then primary antibody (1% BSA) was incubated at 4°C overnight. The primary is detected by a biotinylated secondary antibody and visualized using an HRP conjugated SP system.
Immunofluorescence staining of U251 cells with CSB-PA004486LA01HU at 1:100, counter-stained with DAPI. The cells were fixed in 4% formaldehyde, permeabilized using 0.2% Triton X-100 and blocked in 10% normal Goat Serum. The cells were then incubated with the antibody overnight at 4°C. The secondary antibody was Alexa Fluor 488-congugated AffiniPure Goat Anti-Rabbit IgG(H+L).
Human Adenylyl cyclase-associated protein 1(CAP1) ELISA kit (CSB-EL004486HU)
驗證數據
貨號:CSB-EL004486HU
規格:96T/48T
靈敏度:6.25 pg/mL
檢測范圍:25 pg/mL-1600 pg/mL
These standard curves are provided for demonstration only. A standard curve should be generated for each set of samples assayed.
CAP1 Antibodies
CAP1 for Homo sapiens (Human)
| 產品貨號 | 產品名稱 | 種屬反應性 | 應用類型 |
|---|---|---|---|
| CSB-PA004486GA01HU | CAP1 Antibody | Human,Mouse,Rat | ELISA,WB |
| CSB-PA256310 | CAP1 Antibody | Human,Mouse,Rat | ELISA,WB,IHC |
| CSB-PA147089 | CAP1 Antibody | Human,Mouse,Rat | ELISA,WB,IHC |
| CSB-PA004486LA01HU | CAP1 Antibody | Human | ELISA, WB, IHC, IF |
CAP1 Proteins
CAP1 Proteins for Homo sapiens (Human)
| 產品貨號 | 產品名稱 | 來源 |
|---|---|---|
| CSB-YP004486HU CSB-EP004486HU CSB-BP004486HU CSB-MP004486HU CSB-EP004486HU-B |
Recombinant Human Adenylyl cyclase-associated protein 1 (CAP1) | Yeast E.coli Baculovirus Mammalian cell In Vivo Biotinylation in E.coli |
| CSB-EP004486HUc7 | Recombinant Human Adenylyl cyclase-associated protein 1 (CAP1) | E.coli |
CAP1 ELISA Kit
CAP1 ELISA Kit for Homo sapiens (Human)
| 產品貨號 | 產品名稱 | 樣本類型 | 靈敏度 |
|---|---|---|---|
| CSB-EL004486HU | Human Adenylyl cyclase-associated protein 1(CAP1) ELISA kit | serum, plasma, tissue homogenates | 6.25 pg/mL |






