CA9
碳酸酐酶IX(CA9)是一種跨膜鋅金屬酶,又稱G250或MN蛋白,在維持細胞酸堿平衡中起關鍵作用。該蛋白通過催化二氧化碳水合反應調節腫瘤微環境pH值,其表達受缺氧誘導因子HIF-1α調控,在透明細胞腎癌中呈現特異性高表達,約95%患者存在CA9過表達現象。作為重要的腫瘤相關抗原,CA9不僅參與PI3K/AKT等促生存信號傳導,還與血管生成、腫瘤轉移密切相關,其表達水平與腎癌、宮頸癌等多種實體瘤不良預后顯著相關。目前針對CA9開發的單克隆抗體Girentuximab已完成III期臨床,用于腎癌的放射性免疫顯像診斷;小分子抑制劑SLC-0111作為首款進入臨床試驗的CAIX靶向藥物,在乳腺癌、胰腺癌等適應癥的II期研究中顯示出聯合化療增效潛力。近年來基于CA9的CAR-T療法和DNA疫苗也進入臨床前研究階段。
熱銷產品
Recombinant Human Carbonic anhydrase 9 (CA9), partial (CSB-EP614990HUc0)
驗證數據
(Tris-Glycine gel) Discontinuous SDS-PAGE (reduced) with 5% enrichment gel and 15% separation gel.
Based on the SEQUEST from database of E.coli host and target protein, the LC-MS/MS Analysis result of CSB-EP614990HUc0 could indicate that this peptide derived from E.coli-expressed Homo sapiens (Human) CA9.
Based on the SEQUEST from database of E.coli host and target protein, the LC-MS/MS Analysis result of CSB-EP614990HUc0 could indicate that this peptide derived from E.coli-expressed Homo sapiens (Human) CA9.
CA9 Recombinant Monoclonal Antibody (CSB-RA614990A0HU)
驗證數據
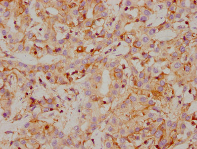
IHC image of CSB-RA614990A0HU diluted at 1:118 and staining in paraffin-embedded human gastric cancer performed on a Leica BondTM system. After dewaxing and hydration, antigen retrieval was mediated by high pressure in a citrate buffer (pH 6.0). Section was blocked with 10% normal goat serum 30min at RT. Then primary antibody (1% BSA) was incubated at 4℃ overnight. The primary is detected by a biotinylated secondary antibody and visualized using an HRP conjugated SP system.
IHC image of CSB-RA614990A0HU diluted at 1:118 and staining in paraffin-embedded human liver cancer performed on a Leica BondTM system. After dewaxing and hydration, antigen retrieval was mediated by high pressure in a citrate buffer (pH 6.0). Section was blocked with 10% normal goat serum 30min at RT. Then primary antibody (1% BSA) was incubated at 4℃ overnight. The primary is detected by a biotinylated secondary antibody and visualized using an HRP conjugated SP system.
Human Carbonic Anhydrase 9(CA9) ELISA Kit (CSB-E13266h)
驗證數據
貨號:CSB-E13266h
規格:96T/48T
靈敏度:7.81 pg/mL
檢測范圍:31.25 pg/mL-2000 pg/mL
These standard curves are provided for demonstration only. A standard curve should be generated for each set of samples assayed.
CA9 Antibodies
CA9 for Homo sapiens (Human)
| 產品貨號 | 產品名稱 | 種屬反應性 | 應用類型 |
|---|---|---|---|
| CSB-PA004380GA01HU | CA9 Antibody | Human | ELISA,WB |
| CSB-PA614990GA01HU | CA9 Antibody | Human | ELISA,WB,IHC |
| CSB-PA001096 | CA9 Antibody | Human | WB, ELISA |
| CSB-PA179189 | CA9 Antibody | Human | ELISA,IHC |
| CSB-PA550152 | CA9 Antibody | Human | ELISA,IHC |
| CSB-RA614990A0HU | CA9 Recombinant Monoclonal Antibody | Human | ELISA, IHC |
| CSB-PA614990LA01HU | CA9 Antibody | Human | ELISA, IHC |
| CSB-PA614990LB01HU | CA9 Antibody, HRP conjugated | Human | ELISA |
| CSB-PA614990LC01HU | CA9 Antibody, FITC conjugated | Human | |
| CSB-PA614990LD01HU | CA9 Antibody, Biotin conjugated | Human | ELISA |
CA9 for H
| 產品貨號 | 產品名稱 | 種屬反應性 | 應用類型 |
|---|---|---|---|
| CSB-MA000234 | CA9 Monoclonal Antibody | Human | ELISA,WB,IP |
CA9 Proteins
CA9 Proteins for Homo sapiens (Human)
| 產品貨號 | 產品名稱 | 來源 |
|---|---|---|
| CSB-YP614990HU CSB-BP614990HU CSB-MP614990HU CSB-EP614990HU-B |
Recombinant Human Carbonic anhydrase 9 (CA9), partial | Yeast Baculovirus Mammalian cell In Vivo Biotinylation in E.coli |
| CSB-EP614990HU | Recombinant Human Carbonic anhydrase 9 (CA9), partial | E.coli |
| CSB-EP614990HUc0 | Recombinant Human Carbonic anhydrase 9 (CA9), partial | E.coli |
CA9 Proteins for Mus musculus (Mouse)
| 產品貨號 | 產品名稱 | 來源 |
|---|---|---|
| CSB-YP848704MO CSB-EP848704MO CSB-BP848704MO CSB-MP848704MO CSB-EP848704MO-B |
Recombinant Mouse Carbonic anhydrase 9 (Ca9), partial | Yeast E.coli Baculovirus Mammalian cell In Vivo Biotinylation in E.coli |
CA9 ELISA Kit
CA9 ELISA Kit for Homo sapiens (Human)
| 產品貨號 | 產品名稱 | 樣本類型 | 靈敏度 |
|---|---|---|---|
| CSB-E13266h | Human Carbonic Anhydrase 9(CA9) ELISA Kit | serum, plasma, tissue homogenates | 7.81 pg/mL |






