BTN1A1
BTN1A1,全稱為Butyrophilin 1A1,是一種免疫球蛋白超家族的跨膜蛋白,主要表達于淋巴組織及免疫相關細胞,如T細胞、B細胞中。它也被稱為BT、BTN1A1、BTN或Butyrophilin。BTN1A1蛋白與乳脂滴分泌有關,并可能在哺乳過程中充當膜相關受體。此外,它還具有免疫調節功能,抑制T細胞增殖和調節細胞因子分泌。BTN1A1蛋白的胞外部分包含兩個免疫球蛋白結構域和一個Ig-like結構域,這些結構域與其他免疫球蛋白超家族成員相互作用。BTN1A1蛋白的B30.2結構域與黃嘌呤氧化還原酶(XOR)結合,這種相互作用穩定了XOR與乳脂肪球膜的結合,并可能在乳脂肪球分泌的調控中起重要作用。此外,B30.2結構域也被認為是檢測細胞內磷酸化抗原濃度的傳感器,與γδT細胞的激活有關。研究表明,BTN1A1蛋白可通過降低T細胞活性從而抑制疾病的發展,并在魚類的皮膚粘液免疫中發揮重要作用。
熱銷產品
BTN1A1 Antibody (CSB-PA615684ESR2HU)
驗證數據
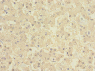
Immunohistochemistry of paraffin-embedded human liver tissue using CSB-PA615684ESR2HU at dilution of 1:100
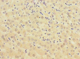
Immunohistochemistry of paraffin-embedded human liver cancer using CSB-PA615684ESR2HU at dilution of 1:100
BTN1A1 Antibodies
BTN1A1 for Homo sapiens (Human)
| 產品貨號 | 產品名稱 | 種屬反應性 | 應用類型 |
|---|---|---|---|
| CSB-PA615684ESR2HU | BTN1A1 Antibody | Human | ELISA, IHC |
BTN1A1 Proteins
BTN1A1 Proteins for Homo sapiens (Human)
| 產品貨號 | 產品名稱 | 來源 |
|---|---|---|
| CSB-YP615684HU CSB-EP615684HU CSB-BP615684HU CSB-EP615684HU-B |
Recombinant Human Butyrophilin subfamily 1 member A1 (BTN1A1), partial | Yeast E.coli Baculovirus In Vivo Biotinylation in E.coli |






