AVPR2
AVPR2,即精氨酸加壓素受體2,別名V2R、DI1、DIR、NDI、ADHR、DIR3、NDI1。AVPR2由人類AVPR2基因編碼,該基因位于X染色體上。AVPR2是一種七跨膜域G蛋白偶聯受體(GPCR)超家族的成員,與Gs蛋白耦聯,從而刺激腺苷酸環化酶。AVPR2主要在腎臟的遠端小管和集合管中表達,其主要功能是響應垂體激素精氨酸加壓素(AVP),通過刺激機制使尿液濃縮,維持體內水分平衡。當AVPR2的功能喪失時,會導致腎源性尿崩癥(NDI)。AAVPR2的基因表達也與肺組織的發育和肺癌相關。
熱銷產品
AVPR2 Antibody (CSB-PA002470LA01HU)
驗證數據
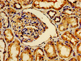
Immunohistochemistry of paraffin-embedded human kidney tissue using CSB-PA002470LA01HU at dilution of 1:100
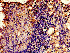
Immunohistochemistry of paraffin-embedded human ovarian cancer using CSB-PA002470LA01HU at dilution of 1:100
Immunofluorescence staining of MCF-7 cells with CSB-PA002470LA01HU at 1:200, counter-stained with DAPI. The cells were fixed in 4% formaldehyde, permeabilized using 0.2% Triton X-100 and blocked in 10% normal Goat Serum. The cells were then incubated with the antibody overnight at 4°C. The secondary antibody was Alexa Fluor 488-congugated AffiniPure Goat Anti-Rabbit IgG(H+L).
AVPR2 Antibodies
AVPR2 for Homo sapiens (Human)
| 產品貨號 | 產品名稱 | 種屬反應性 | 應用類型 |
|---|---|---|---|
| CSB-PA030197 | AVPR2 Antibody | Human | WB, IF, ELISA |
| CSB-PA987235 | AVPR2 Antibody | Human | ELISA,IHC |
| CSB-PA222915 | AVPR2 Antibody | Human,Mouse | WB,ELISA |
| CSB-PA002470LA01HU | AVPR2 Antibody | Human | ELISA, IHC, IF |
| CSB-PA002470LD01HU | AVPR2 Antibody, Biotin conjugated | Human | ELISA |
AVPR2 for Pig
| 產品貨號 | 產品名稱 | 種屬反應性 | 應用類型 |
|---|---|---|---|
| CSB-PA002470LA01PI | AVPR2 Antibody | Pig | ELISA |
AVPR2 Proteins
AVPR2 Proteins for Rattus norvegicus (Rat)
| 產品貨號 | 產品名稱 | 來源 |
|---|---|---|
| CSB-YP002470RA1 CSB-EP002470RA1 CSB-BP002470RA1 CSB-MP002470RA1 CSB-EP002470RA1-B |
Recombinant Rat Vasopressin V2 receptor (Avpr2), partial | Yeast E.coli Baculovirus Mammalian cell In Vivo Biotinylation in E.coli |
| CSB-CF002470RA | Recombinant Rat Vasopressin V2 receptor (Avpr2) | in vitro E.coli expression system |
AVPR2 Proteins for Sus scrofa (Pig)
| 產品貨號 | 產品名稱 | 來源 |
|---|---|---|
| CSB-YP002470PI CSB-BP002470PI CSB-MP002470PI CSB-EP002470PI-B |
Recombinant Pig Vasopressin V2 receptor (AVPR2), partial | Yeast Baculovirus Mammalian cell In Vivo Biotinylation in E.coli |
| CSB-CF002470PI | Recombinant Pig Vasopressin V2 receptor (AVPR2) | in vitro E.coli expression system |
| CSB-EP002470PI | Recombinant Pig Vasopressin V2 receptor (AVPR2), partial | E.coli |
AVPR2 Proteins for Homo sapiens (Human)
| 產品貨號 | 產品名稱 | 來源 |
|---|---|---|
| CSB-YP002470HU1 CSB-EP002470HU CSB-BP002470HU CSB-MP002470HU CSB-EP002470HU1-B |
Recombinant Human Vasopressin V2 receptor (AVPR2), partial | Yeast E.coli Baculovirus Mammalian cell In Vivo Biotinylation in E.coli |
| CSB-CF002470HU | Recombinant Human Vasopressin V2 receptor (AVPR2) | in vitro E.coli expression system |
AVPR2 Proteins for Bos taurus (Bovine)
| 產品貨號 | 產品名稱 | 來源 |
|---|---|---|
| CSB-YP002470BO1 CSB-EP002470BO1 CSB-BP002470BO1 CSB-MP002470BO1 CSB-EP002470BO1-B |
Recombinant Bovine Vasopressin V2 receptor (AVPR2), partial | Yeast E.coli Baculovirus Mammalian cell In Vivo Biotinylation in E.coli |
| CSB-CF002470BO | Recombinant Bovine Vasopressin V2 receptor (AVPR2) | in vitro E.coli expression system |
AVPR2 Proteins for Mus musculus (Mouse)
| 產品貨號 | 產品名稱 | 來源 |
|---|---|---|
| CSB-YP002470MO1 CSB-EP002470MO1 CSB-BP002470MO1 CSB-MP002470MO1 CSB-EP002470MO1-B |
Recombinant Mouse Vasopressin V2 receptor (Avpr2), partial | Yeast E.coli Baculovirus Mammalian cell In Vivo Biotinylation in E.coli |
| CSB-CF002470MO | Recombinant Mouse Vasopressin V2 receptor (Avpr2) | in vitro E.coli expression system |
AVPR2 Proteins for Canis familiaris (Dog) (Canis lupus familiaris)
| 產品貨號 | 產品名稱 | 來源 |
|---|---|---|
| CSB-YP002470DO1 CSB-EP002470DO1 CSB-BP002470DO1 CSB-MP002470DO1 CSB-EP002470DO1-B |
Recombinant Dog Vasopressin V2 receptor (AVPR2), partial | Yeast E.coli Baculovirus Mammalian cell In Vivo Biotinylation in E.coli |
| CSB-CF002470DO | Recombinant Dog Vasopressin V2 receptor (AVPR2) | in vitro E.coli expression system |






