ATRX
ATRX,全稱為ATP依賴性染色質重塑因子6,是一種參與細胞核基質和染色質相互作用的蛋白質。它含有ATP酶和螺旋酶結構域,屬于SWI/SNF家族的染色質重塑蛋白。ATRX蛋白與多種疾病相關,包括α地中海貧血/智力障礙綜合征X連鎖型(ATRX綜合征)、神經膠質瘤、胰腺神經內分泌腫瘤和骨肉瘤等。研究表明,ATRX蛋白的突變會導致基因組不穩定和端粒維持異常,從而促進腫瘤發生。因此,ATRX蛋白成為癌癥和遺傳病研究的重要靶點。
目前,針對ATRX蛋白的藥物研發主要集中在抑制劑的開發上。例如,NU6027最初是作為CDK2抑制劑開發的,但后來發現它能夠抑制ATR蛋白,從而提高乳腺癌和卵巢癌細胞系對順鉑的敏感性。最新的進入臨床試驗的ATR抑制劑的臨床研究正在評估其抗腫瘤活性。此外,亞葉酸鈣和甲氨蝶呤等藥物也被發現能夠與ATRX蛋白相互作用,從而影響腫瘤細胞的生長和存活。
熱銷產品
ATRX Antibody (CSB-PA002437LA01HU)
驗證數據
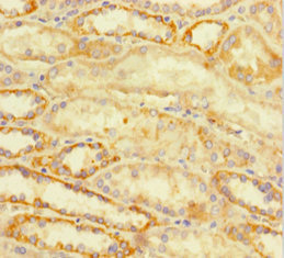
Immunohistochemistry of paraffin-embedded human kidney tissue using CSB-PA002437LA01HU at dilution of 1:100
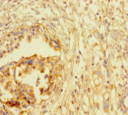
Immunohistochemistry of paraffin-embedded human pancreatic cancer using CSB-PA002437LA01HU at dilution of 1:100
Immunofluorescent analysis of Hela cells using CSB-PA002437LA01HU at dilution of 1:100 and Alexa Fluor 488-congugated AffiniPure Goat Anti-Rabbit IgG(H+L)
ATRX Antibodies
ATRX for Homo sapiens (Human)
| 產品貨號 | 產品名稱 | 種屬反應性 | 應用類型 |
|---|---|---|---|
| CSB-PA947796 | ATRX Antibody | Human,Mouse | ELISA,IF |
| CSB-PA030136 | ATRX Antibody | Human,Mouse | IF, ELISA |
| CSB-PA002437LA01HU | ATRX Antibody | Human | ELISA, IHC, IF |
| CSB-PA002437LB01HU | ATRX Antibody, HRP conjugated | Human | ELISA |
| CSB-PA002437LC01HU | ATRX Antibody, FITC conjugated | Human |
ATRX Proteins
ATRX Proteins for Homo sapiens (Human)
| 產品貨號 | 產品名稱 | 來源 |
|---|---|---|
| CSB-YP002437HU CSB-EP002437HU CSB-BP002437HU CSB-MP002437HU CSB-EP002437HU-B |
Recombinant Human Transcriptional regulator ATRX (ATRX), partial | Yeast E.coli Baculovirus Mammalian cell In Vivo Biotinylation in E.coli |






