AQP3
AQP3,全稱為aquaporin 3,也被稱為GIL或AQP-3,是一種水通道蛋白,主要參與水和甘油的轉運。該蛋白定位于腎臟集合管細胞的基底外側膜,除了水通道功能外,AQP3還能促進非離子小分子如尿素和甘油的運輸。研究表明,AQP3的表達與多種生理功能相關,如尿液濃縮、腺體分泌、脂肪代謝、神經信號傳導和皮膚保濕等。此外,AQP3的表達水平與某些疾病的發生發展密切相關,如癌癥、皮膚病和炎性病癥等。針對AQP3的藥物研發也在進行中,例如,有研究開發了一種特異性結合AQP3細胞外域的抗AQP3抗體,用于治療與AQP3相關的病癥。
熱銷產品
AQP3 Antibody (CSB-PA13909A0Rb)
驗證數據
Immunohistochemistry of paraffin-embedded human kidney tissue using CSB-PA13909A0Rb at dilution of 1:100
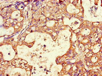
Immunohistochemistry of paraffin-embedded human gastric cancer using CSB-PA13909A0Rb at dilution of 1:100
Immunofluorescent analysis of HepG2 cells using CSB-PA13909A0Rb at dilution of 1:100 and Alexa Fluor 488-congugated AffiniPure Goat Anti-Rabbit IgG(H+L)
Immunofluorescent analysis of Hela cells using CSB-PA13909A0Rb at dilution of 1:100 and Alexa Fluor 488-congugated AffiniPure Goat Anti-Rabbit IgG(H+L)
Human Aquaporin 3,AQP-3 ELISA Kit (CSB-E08251h)
驗證數據
貨號:CSB-E08251h
規格:96T/48T
靈敏度:0.078 ng/mL
檢測范圍:0.312 ng/mL-20 ng/mL
These standard curves are provided for demonstration only. A standard curve should be generated for each set of samples assayed.
AQP3 Antibodies
AQP3 for Homo sapiens (Human)
| 產品貨號 | 產品名稱 | 種屬反應性 | 應用類型 |
|---|---|---|---|
| CSB-PA009603 | AQP3 Antibody | Human,Mouse,Rat | IHC, ELISA |
| CSB-PA203676 | AQP3 Antibody | Human,Mouse,Rat | ELISA,IHC |
| CSB-PA531552 | AQP3 Antibody | Human,Mouse,Rat | ELISA,WB,IHC |
| CSB-PA13909A0Rb | AQP3 Antibody | Human | ELISA, IHC, IF |
| CSB-PA13909B0Rb | AQP3 Antibody, HRP conjugated | Human | ELISA |
| CSB-PA13909C0Rb | AQP3 Antibody, FITC conjugated | Human | |
| CSB-PA13909D0Rb | AQP3 Antibody, Biotin conjugated | Human | ELISA |
AQP3 Proteins
AQP3 Proteins for Homo sapiens (Human)
| 產品貨號 | 產品名稱 | 來源 |
|---|---|---|
| CSB-YP849752HU1 CSB-EP849752HU1 CSB-BP849752HU1 CSB-MP849752HU1 CSB-EP849752HU1-B |
Recombinant Human Aquaporin-3 (AQP3), partial | Yeast E.coli Baculovirus Mammalian cell In Vivo Biotinylation in E.coli |
| CSB-CF849752HU | Recombinant Human Aquaporin-3 (AQP3) | in vitro E.coli expression system |
AQP3 ELISA Kit
AQP3 ELISA Kit for Homo sapiens (Human)
| 產品貨號 | 產品名稱 | 樣本類型 | 靈敏度 |
|---|---|---|---|
| CSB-E08251h | Human Aquaporin 3,AQP-3 ELISA Kit | serum, plasma, tissue homogenates | 0.078 ng/mL |






