AIM2
AIM2,即黑素瘤缺乏因子2,別名PYHIN4。它屬于干擾素誘導的HIN-200蛋白家族,最初被確定為黑色素瘤的腫瘤抑制因子。AIM2可與細胞質中的雙鏈DNA結合,激活AIM2炎性小體,進而促進生物活性白介素-β1(IL-β1)和IL-18的分泌,并誘導細胞焦亡。此外,AIM2還在調節免疫細胞功能,特別是Treg細胞和B細胞分化中扮演重要角色,對自身免疫性疾病如系統性紅斑狼瘡(SLE)的發病機制和治療靶點有重要意義。這些發現揭示了AIM2在生物學和醫學領域的廣泛應用前景。
熱銷產品
AIM2 Antibody (CSB-PA001499LA01HU)
驗證數據
Western Blot
Positive WB detected in: K562 whole cell lysate, SH-SY5Y whole cell lysate
All lanes: AIM2 antibody at 2.7μg/ml
Secondary
Goat polyclonal to rabbit IgG at 1/50000 dilution
Predicted band size: 39 kDa
Observed band size: 39, 45 kDa
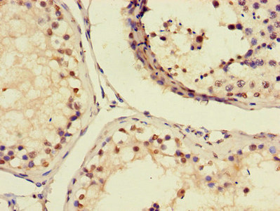
Immunohistochemistry of paraffin-embedded human testis tissue using CSB-PA001499LA01HU at dilution of 1:100
Immunofluorescent analysis of A549 cells using CSB-PA001499LA01HU at dilution of 1:100 and Alexa Fluor 488-congugated AffiniPure Goat Anti-Rabbit IgG(H+L)
AIM2 Antibodies
AIM2 for Homo sapiens (Human)
| 產品貨號 | 產品名稱 | 種屬反應性 | 應用類型 |
|---|---|---|---|
| CSB-PA001499GA01HU | AIM2 Antibody | Human | ELISA,WB |
| CSB-PA284032 | AIM2 Antibody | Human | ELISA,WB |
| CSB-PA000838 | AIM2 Antibody | Human | WB, IHC, IF, ELISA |
| CSB-PA858560 | AIM2 Antibody | Human | ELISA,IHC |
| CSB-PA001499LA01HU | AIM2 Antibody | Human | ELISA, WB, IHC, IF |
| CSB-PA001499LB01HU | AIM2 Antibody, HRP conjugated | Human | ELISA |
| CSB-PA001499LC01HU | AIM2 Antibody, FITC conjugated | Human | |
| CSB-PA001499LD01HU | AIM2 Antibody, Biotin conjugated | Human | ELISA |
AIM2 Proteins
AIM2 Proteins for Homo sapiens (Human)
| 產品貨號 | 產品名稱 | 來源 |
|---|---|---|
| CSB-YP001499HU CSB-BP001499HU CSB-MP001499HU |
Recombinant Human Interferon-inducible protein AIM2 (AIM2) | Yeast Baculovirus Mammalian cell |
AIM2 Proteins for Saccharomyces cerevisiae (strain ATCC 204508 / S288c) (Baker's yeast)
| 產品貨號 | 產品名稱 | 來源 |
|---|---|---|
| CSB-YP328021SVG CSB-EP328021SVG CSB-BP328021SVG CSB-MP328021SVG CSB-EP328021SVG-B |
Recombinant Saccharomyces cerevisiae Protein AIM2 (AIM2) | Yeast E.coli Baculovirus Mammalian cell In Vivo Biotinylation in E.coli |
AIM2 Proteins for Mus musculus (Mouse)
| 產品貨號 | 產品名稱 | 來源 |
|---|---|---|
| CSB-YP845977MO CSB-BP845977MO CSB-MP845977MO CSB-EP845977MO-B |
Recombinant Mouse Interferon-inducible protein AIM2 (Aim2) | Yeast Baculovirus Mammalian cell In Vivo Biotinylation in E.coli |






