ADAMTS5
ADAMTS5全稱為ADAM金屬肽酶含血小板反應蛋白1型基序5,也被稱為聚集蛋白聚糖酶-2。該蛋白在細胞外基質代謝中扮演關鍵角色,主要通過分解聚集蛋白聚糖這類維持軟骨彈性的核心成分,影響關節組織的穩定性。ADAMTS5活性異常升高與軟骨退化密切相關,尤其在骨關節炎患者關節液中可檢測到顯著升高的酶活性水平。此外,該蛋白還參與調控炎癥因子釋放,間接加速關節腔微環境失衡。目前針對ADAMTS5的抑制劑開發成為骨關節炎治療的重要方向,例如單克隆抗體和小分子化合物已進入臨床試驗階段,旨在阻斷其對軟骨基質的過度破壞。近期研究還發現ADAMTS5可能與其他纖維化疾病及腫瘤轉移存在關聯,但其具體作用路徑仍在探索中。
熱銷產品
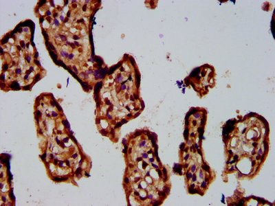
ADAMTS5 Antibody (CSB-PA890943LA01HU)
驗證數據
IHC image of CSB-PA890943LA01HU diluted at 1:400 and staining in paraffin-embedded human placenta tissue performed on a Leica BondTM system. After dewaxing and hydration, antigen retrieval was mediated by high pressure in a citrate buffer (pH 6.0). Section was blocked with 10% normal goat serum 30min at RT. Then primary antibody (1% BSA) was incubated at 4°C overnight. The primary is detected by a biotinylated secondary antibody and visualized using an HRP conjugated SP system.
驗證數據
貨號:CSB-EL001312HU
規格:96T/48T
靈敏度:3.9 ng/mL
檢測范圍:15.6 ng/mL-1000 ng/mL
These standard curves are provided for demonstration only. A standard curve should be generated for each set of samples assayed.
ADAMTS5 Antibodies
ADAMTS5 for Homo sapiens (Human)
| 產品貨號 | 產品名稱 | 種屬反應性 | 應用類型 |
|---|---|---|---|
| CSB-PA925454 | ADAMTS5 Antibody | Human,Mouse,Rat | ELISA,WB,IHC |
| CSB-PA198249 | ADAMTS5 Antibody | Human,Mouse,Rat | ELISA,IHC |
| CSB-PA890943LA01HU | ADAMTS5 Antibody | Human | ELISA, IHC |
ADAMTS5 Proteins
ADAMTS5 Proteins for Homo sapiens (Human)
| 產品貨號 | 產品名稱 | 來源 |
|---|---|---|
| CSB-YP890943HU CSB-EP890943HU CSB-BP890943HU CSB-MP890943HU CSB-EP890943HU-B |
Recombinant Human A disintegrin and metalloproteinase with thrombospondin motifs 5 (ADAMTS5) | Yeast E.coli Baculovirus Mammalian cell In Vivo Biotinylation in E.coli |
ADAMTS5 ELISA Kit
ADAMTS5 ELISA Kit for Homo sapiens (Human)
| 產品貨號 | 產品名稱 | 樣本類型 | 靈敏度 |
|---|---|---|---|
| CSB-EL001312HU | Human A disintegrin and metalloproteinase with thrombospondin motifs 5(ADAMTS5) ELISA kit | serum, plasma, tissue homogenates | 3.9 ng/mL |






