SKP2 Recombinant Monoclonal Antibody
-
中文名稱:SKP2重組抗體
-
貨號:CSB-RA224072A0HU
-
規格:¥1320
-
圖片:
-
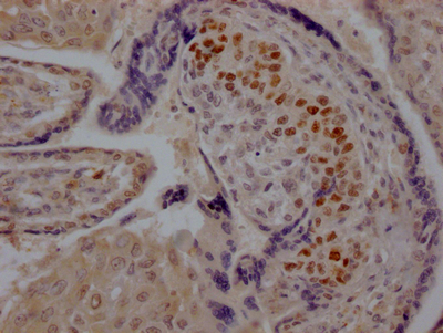
IHC image of CSB-RA224072A0HU diluted at 1:100 and staining in paraffin-embedded human placenta tissue performed on a Leica BondTM system. After dewaxing and hydration, antigen retrieval was mediated by high pressure in a citrate buffer (pH 6.0). Section was blocked with 10% normal goat serum 30min at RT. Then primary antibody (1% BSA) was incubated at 4℃ overnight. The primary is detected by a Goat anti-rabbit IgG polymer labeled by HRP and visualized using 0.05% DAB.
-
Immunofluorescence staining of Hela Cells with CSB-RA224072A0HU at 1:50, counter-stained with DAPI. The cells were fixed in 4% formaldehyde, permeated by 0.2% TritonX-100, and blocked in 10% normal Goat Serum. The cells were then incubated with the antibody overnight at 4℃. Nuclear DNA was labeled in blue with DAPI. The secondary antibody was FITC-conjugated AffiniPure Goat Anti-Rabbit IgG (H+L).
-
-
其他:
產品詳情
-
產品描述:CSB-RA224072A0HU SKP2重組單克隆抗體是針對S期激酶相關蛋白2(SKP2)靶點開發的高特異性科研試劑。該抗體經嚴格驗證適用于ELISA、免疫組化(IHC)及免疫熒光(IF)等實驗,推薦使用稀釋比例為IHC 1:50-1:200、IF 1:20-1:200。SKP2作為SCF泛素連接酶復合體的核心組分,通過介導細胞周期調控蛋白(如p27等)的泛素化降解,在細胞周期進程和腫瘤發生發展中發揮重要作用。實驗數據顯示,本抗體在多種人類組織樣本中呈現清晰的亞細胞定位特異性,可精準識別內源性SKP2蛋白表達,且在推薦濃度范圍內展現優異的信號穩定性和低背景干擾。該產品適用于細胞周期調控機制研究、腫瘤微環境分析及蛋白相互作用探索等科研領域,尤其在探究SKP2過表達與腫瘤增殖、轉移相關通路的研究中具有重要應用價值,為癌癥生物學和分子病理學基礎研究提供可靠工具。
-
Uniprot No.:
-
基因名:
-
別名:S-phase kinase-associated protein 2 (Cyclin-A/CDK2-associated protein p45) (F-box protein Skp2) (F-box/LRR-repeat protein 1) (p45skp2), SKP2, FBXL1
-
反應種屬:Human
-
免疫原:A synthesized peptide derived from human SKP2
-
免疫原種屬:Homo sapiens (Human)
-
標記方式:Non-conjugated
-
克隆類型:Monoclonal
-
抗體亞型:Rabbit IgG
-
純化方式:Affinity-chromatography
-
克隆號:6D4
-
濃度:It differs from different batches. Please contact us to confirm it.
-
保存緩沖液:Rabbit IgG in 10mM phosphate buffered saline , pH 7.4, 150mM sodium chloride, 0.05% BSA, 0.02% sodium azide and 50% glycerol.
-
產品提供形式:Liquid
-
應用范圍:ELISA, IHC, IF
-
推薦稀釋比:
Application Recommended Dilution IHC 1:50-1:200 IF 1:20-1:200 -
Protocols:
-
儲存條件:Upon receipt, store at -20°C or -80°C. Avoid repeated freeze.
-
貨期:Basically, we can dispatch the products out in 1-3 working days after receiving your orders. Delivery time maybe differs from different purchasing way or location, please kindly consult your local distributors for specific delivery time.
-
用途:For Research Use Only. Not for use in diagnostic or therapeutic procedures.
相關產品
靶點詳情
-
功能:Substrate recognition component of a SCF (SKP1-CUL1-F-box protein) E3 ubiquitin-protein ligase complex which mediates the ubiquitination and subsequent proteasomal degradation of target proteins involved in cell cycle progression, signal transduction and transcription. Specifically recognizes phosphorylated CDKN1B/p27kip and is involved in regulation of G1/S transition. Degradation of CDKN1B/p27kip also requires CKS1. Recognizes target proteins ORC1, CDT1, RBL2, KMT2A/MLL1, CDK9, RAG2, FOXO1, UBP43, YTHDF2, and probably MYC, TOB1 and TAL1. Degradation of TAL1 also requires STUB1. Recognizes CDKN1A in association with CCNE1 or CCNE2 and CDK2. Promotes ubiquitination and destruction of CDH1 in a CK1-dependent manner, thereby regulating cell migration.; Through the ubiquitin-mediated proteasomal degradation of hepatitis C virus non-structural protein 5A, has an antiviral activity towards that virus.
-
基因功能參考文獻:
- MiR-339 targets the 3'-untranslated region of Skp2 mRNA to depress the proliferation of lung cancer cells. PMID: 29377618
- Report that YAP is subject to non-proteolytic, K63-linked polyubiquitination by the SCF(SKP2) E3 ligase complex (SKP2), which is reversed by the deubiquitinase OTUD1. The non-proteolytic ubiquitination of YAP enhances its interaction with its nuclear binding partner TEAD, thereby inducing YAP's nuclear localization, transcriptional activity, and growth-promoting function. PMID: 29891922
- BTrCP-FBXW2-SKP2 axis forms an oncogene-tumour suppressor-oncogene cascade to control cancer cell growth with FBXW2 acting as a tumour suppressor by promoting SKP2 degradation. PMID: 28090088
- Result demonstrated that the overexpression of S-phase kinase-associated protein 2 (Skp2) was closely involved in the resistance of osteosarcoma cells to methotrexate and in the acquirement of EMT properties. PMID: 29620168
- The role of USP18 in breast cancer provides a novel insight into the clinical application of the USP18/AKT/Skp2 pathway. PMID: 29749454
- SKP2 promotes HCC progression and its nuclear functions of autophagy induction with CARM1 and AMPK, which may provide a potential target for HCC therapy. PMID: 29991055
- The results of the present study revealed that miR340 serves a tumor suppressor role by influencing the proliferation, apoptosis, migration and invasion of HCC cell lines, which may be explained by the downregulation of SKP2 by miR340. PMID: 28944918
- Our findings revealed that targeting Skp2 could be a promising therapeutic strategy for the treatment of Osteosarcoma PMID: 28627672
- Levels of p21 and p27 were decreased in TACO or pAKT overexpressing HCC due to SKP2 upregulation. PMID: 27779207
- Skp2 exhibited an oncogenic function in osteosarcoma cells. PMID: 28771075
- The results suggest that Skp2 repression is important for sustaining tetraploid G1 arrest after cytokinesis blockade and is required to prevent uncoupled DNA replication and nuclear division without cytokinesis. PMID: 28648144
- DCUN1D3 has a role in activating SCFSKP2 ubiquitin E3 ligase activity through cullin-1 neddylation and cell cycle progression in tumor cells with UV damage PMID: 27542266
- The expression of p-Skp2 was associated with p-mTOR in GC cell lines and tissues. Interestingly, the combination of p-Skp2 and p-mTOR was a better predictor of survival than either factor alone PMID: 28446188
- Atorvastatin strengthens Skp2 binding to FOXO1 or ICAM1, leading to ubiquitination and degradation. Skp2-dependent ubiquitination of major pathogenic molecules is the key mechanism for statin's protective effect on endothelial function in diabetes. PMID: 28802579
- we identified that rottlerin exhibited its anti-tumor potential partly through inactivation of Skp2 in breast cancer PMID: 27582552
- These findings indicated that SKP2 inhibition sensitized the prolactinoma cells to bromocriptine and helped promote apoptosis. PMID: 27488872
- Skp2 suppressed p53 and inhibited PIG3-induced apoptosis, while Skp2B attenuated the function of PIG3 by inhibiting PHB. PMID: 27111245
- Data suggest that targeting S-phase kinase associated protein 2 (SKP2) may serve as a potential radiosensitizer for developing effective therapeutic strategies against cervical cancer. PMID: 27317767
- Data indicate a positive correlation of Skp2 and MTH1 expression in melanoma cell lines and patient specimens. PMID: 28947420
- These results indicated that at least some oncogenic functions of BAG3 were mediated through posttranscriptional regulation of Skp2 via antagonizing suppressive action of miR-21-5p in ovarian cancer cells. PMID: 28624440
- High SKP2 expression is associated with Non-Small Cell Lung Cancer. PMID: 28872922
- Skp2-mediated degradation of Cygb was identified as the key mechanism for controlling its oscillating levels during the cell cycle. PMID: 28948618
- FOXM1 may play a central role in the skp2-cdk1 loop driving tumor progression. PMID: 27684411
- simvastatin also increased p21 and p27 expression in tumor sections by reducing Skp2 expression and inducing AMPK activation and STAT3 suppression in the same tumor tissues. PMID: 28230855
- Structural mimicry by a bacterial AnkB to human Skp2 hijacks the host ubiquitin-proteasome system. PMID: 28111017
- p27 and its cognate ubiquitin ligases, Skp2/KPC/Pirh2, are specifically involved in determining the clinical profiles of lung carcinomas. PMID: 28601655
- direct interactions of MAGE-A11 with Skp2 and cyclin A regulate the substrate-specificity of Skp2-mediated protein degradation. PMID: 27720894
- abnormal levels of Skp2 and p27(KIP1) have probably been involved in the pathogenesis of ADH and DCIS. Thus, Skp2 and p27(KIP1) may serve as important diagnosis markers PMID: 28514182
- High SKP2 expression is associated with lung cancer. PMID: 28789966
- our results revealed a novel mechanism in which EZH2 stability is regulated by SKP2 through the TRAF6-mediated and K63-linked ubiquitination, which contributes to elevated levels of H3K27me3 during prostate tumorigenesis and CRPC growth. PMID: 27869166
- Data demonstrate that AMPKa2 protein levels are reduced in bladder cancer and that this reduction is correlated with an increase in SKP2 expression with a concomitant reduction in p27 protein levels. PMID: 27638620
- SKP2 expression can inhibit radiation induced bystander effect of esophageal cancer cells. The mechanism may function, at least partly, through the regulation of Rad51 in the ability to repair DNA damage. PMID: 28178195
- AMPK deficiency results in nuclear CARM1 decrease mediated in part by SKP2, contributing to autophagy dysfunction in the aged heart. PMID: 28315332
- Higher expression of Skp2 correlates with lower expression of p27kip1 in gastric cancer tissues. PMID: 27572672
- The suppression of Skp2 reduced the enzyme activities of MMP-2. PMID: 26874697
- Data suggest that mternally expressed gene 3 (Meg3) long non-coding RNA and microRNA miR-3163 may coordinate suppression of translation of S-phase kinase associated protein 2 (Skp2) mRNA in non-small cell lung cancer (NSCLC) cells to inhibit cell growth. PMID: 26482610
- Data suggest that SIRT2 may induce Skp2 deacetylation and subsequent degradation to abolish the effects of Skp2 on p27 to affect NSCLC cell growth. PMID: 26942878
- High expression of SKP2 is associated with non-muscle invasive urothelial bladder carcinoma. PMID: 26932430
- HDACIs effects on Skp2 protein posttranslational modifications and/or on its removal PMID: 26682002
- miR-186 has a suppressive role in esophageal squamous cell carcinoma progression via SKP2-mediated pathway PMID: 26568291
- Patients with breast cancer have an increased SKP2 level. Interference in SKP2 gene expression can inhibit breast cancer cell growth. PMID: 26345857
- High expression of SKP2 is associated with Advanced Ovarian Cancer. PMID: 26320455
- Results demonstrate that curcumin exerts its antitumor activity through inhibition of glioma cell Skp2 pathway. PMID: 26046466
- TRUSS is a novel substrate of E3 ligase Skp2. PMID: 26038816
- Overexpression of LKB1 and Skp2 is found in hepatocellular carcinoma patients and predicts poor survival outcomes. PMID: 25728766
- The Skp2-mH2A1-CDK8 axis has a critical role in breast cancer development via dysregulation of the G2/M transition, polyploidy, cell growth dysregulation, and loss of tumor suppression. PMID: 25818643
- the Skp2mediated degradation of p27kip1 was important in the proliferation of tumor cells. The present study, therefore, provided a molecular reference for the treatment of liver cancer. PMID: 25572801
- Over-expression of Skp2 resulted in the increased cell growth and number of S phase cells in Skp2 transfected MCF-7 cells PMID: 26429528
- Caffeic acid phenethyl ester induced cell cycle arrest and growth inhibition in prostate cancer cells via regulation of Skp2, p53, p21Cip1, and p27Kip1. PMID: 25788262
- Particularly for TNBC associated with Skp2/LRP6 overexpression. PMID: 25358452
顯示更多
收起更多
-
亞細胞定位:Cytoplasm. Nucleus.
-
數據庫鏈接:
Most popular with customers
-
-
YWHAB Recombinant Monoclonal Antibody
Applications: ELISA, WB, IHC, IF, FC
Species Reactivity: Human, Mouse, Rat
-
Phospho-YAP1 (S127) Recombinant Monoclonal Antibody
Applications: ELISA, WB, IHC
Species Reactivity: Human
-
-
-
-
-















