MUC16/CA125 Recombinant Monoclonal Antibody
-
中文名稱:MUC16/CA125重組抗體
-
貨號:CSB-RA941216A0HU
-
規格:¥1320
-
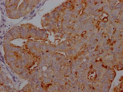
圖片:
-
IHC image of CSB-RA941216A0HU diluted at 1:100 and staining in paraffin-embedded human endometrial cancer performed on a Leica BondTM system. After dewaxing and hydration, antigen retrieval was mediated by high pressure in a citrate buffer (pH 6.0). Section was blocked with 10% normal goat serum 30min at RT. Then primary antibody (1% BSA) was incubated at 4℃ overnight. The primary is detected by a Goat anti-rabbit IgG polymer labeled by HRP and visualized using 0.05% DAB.
-
-
其他:
產品詳情
-
產品描述:CSB-RA941216A0HU MUC16重組單克隆抗體是針對腫瘤相關抗原MUC16(CA125)研發的高特異性檢測工具。MUC16作為重要的腫瘤生物標志物,廣泛表達于卵巢癌、胰腺癌等上皮源性惡性腫瘤細胞表面,其異常表達與腫瘤進展、轉移及免疫調節密切相關。本抗體采用重組技術制備,經ELISA驗證具有優異結合活性,可精準識別天然構象的MUC16蛋白;在免疫組化應用中(推薦稀釋比1:50-1:200)能清晰顯示石蠟包埋組織中靶蛋白的膜-胞質分布特征,在多種腫瘤樣本中呈現高度可重復的染色特異性。適用于上皮性腫瘤的病理機制研究、腫瘤微環境分析以及治療靶點篩選等科研領域,為探索MUC16在腫瘤發生發展中的功能調控、開發相關檢測方案提供可靠工具。該產品嚴格驗證于科研用途,不適用于臨床診斷及治療場景。
-
Uniprot No.:
-
基因名:
-
別名:Mucin-16 (MUC-16) (Ovarian cancer-related tumor marker CA125) (CA-125) (Ovarian carcinoma antigen CA125), MUC16, CA125
-
反應種屬:Human
-
免疫原:A synthesized peptide derived from human MUC16
-
免疫原種屬:Homo sapiens (Human)
-
標記方式:Non-conjugated
-
克隆類型:Monoclonal
-
抗體亞型:Rabbit IgG
-
純化方式:Affinity-chromatography
-
克隆號:10E9
-
濃度:It differs from different batches. Please contact us to confirm it.
-
保存緩沖液:Rabbit IgG in 10mM phosphate buffered saline , pH 7.4, 150mM sodium chloride, 0.05% BSA, 0.02% sodium azide and 50% glycerol.
-
產品提供形式:Liquid
-
應用范圍:ELISA, IHC
-
推薦稀釋比:
Application Recommended Dilution IHC 1:50-1:200 -
Protocols:
-
儲存條件:Upon receipt, store at -20°C or -80°C. Avoid repeated freeze.
-
貨期:Basically, we can dispatch the products out in 1-3 working days after receiving your orders. Delivery time maybe differs from different purchasing way or location, please kindly consult your local distributors for specific delivery time.
-
用途:For Research Use Only. Not for use in diagnostic or therapeutic procedures.
相關產品
靶點詳情
-
功能:Thought to provide a protective, lubricating barrier against particles and infectious agents at mucosal surfaces.
-
基因功能參考文獻:
- Studied levels of mucin 16 (CA125), adenosine deaminase and midkine as tumor markers in nonsmall cell lung cancer-associated malignant pleural effusion. PMID: 29797475
- The expression profile of studied Mucins MUC16 and MUC1 and truncated O-glycans was not associated with the site of origin of ovarian cancer (OVCA) cell lines PMID: 30011875
- Serum HE4 with its high specificity is useful in ruling out ovarian malignancy especially among the premenopausal women and Risk of Ovarian Malignancy Algorithm (ROMA)which is the combination of both serum CA 125 and HE4, appears to be an all-rounder with overall good sensitivity and specificity especially among the postmenopausal women. PMID: 30063463
- CA125 appears the most reliable biomarker for OC monitoring, whereas HE4 contributes additional information only in a minority of cases PMID: 30125544
- The level of HE4 in ovarian cancer ascites may reflect the therapeutic effect of ovarian cancer patients, and a high level of HE4 might predict chemoresistance and the possibility of ascites formation. The determination of the expression of HE4 alone or combined with CA125 levels in both serum and ascites in ovarian cancer patients with ascites may have important significance for guiding and improving the treatment PMID: 29903044
- Lower CA125 serum levels, negative vascular invasion, and wild-type BRAF status were significantly associated with improved 2-year DFS rates among patient with stage III disease who received adjuvant chemotherapy. PMID: 29562502
- We can infer from this study that increased maternal serum CA 125 levels are associated with the preeclampsia and its severity. PMID: 29718786
- Serum CA125 concentrations are correlated with coronary artery calcification score in the population without known coronary artery disease. PMID: 29731508
- High serum CA125 level is associated with epithelial ovarian cancer. PMID: 28444641
- Serum CA-125 was significantly different between infertile women with and without pelvic endometriosis. PMID: 29944231
- Use of HE4 instead of CA125 did not significantly improve diagnostic performance of risk of malignancy indices 1-4 in patients with an adnexal mass PMID: 29238719
- TP53 autoantibody levels provide a biomarker with clinically significant lead time over elevation of CA125 or an elevated ROCA value. Quantitative assessment of autoantibodies in combination with CA125 holds promise for earlier detection of invasive epithelial ovarian cancer PMID: 28637689
- CA-125 levels may be the most useful marker for predicting advanced-stage disease PMID: 25761476
- For screened women at familial/genetic ovarian cancer risk, risk of ovarian cancer algorithm had better early-stage sensitivity at high specificity, and low yet possibly acceptable positive predictive value compared with CA125 , warranting further larger cohort evaluation. PMID: 28143870
- Serum SCC-Ag, hs-CRP, and CA-125 were higher in recurrence cervical patients which could be potential biomarkers for predicting cervical cancer recurrence risk. PMID: 28901315
- The determination of CA125 before surgery may be helpful in the evaluation of the regional lymph nodes, and is a poor prognostic factor for overall survival and disease-free survival in endometrial cancer. PMID: 28624692
- High CA125 expression is associated with adnexal malignancy. PMID: 27116243
- The ratio between menstrual and midcycle phases had the worst performance. CA-125 may be useful for the diagnosis of deep endometriosis, especially when both are collected during menstruation and in midcycle. PMID: 28660213
- Architect CA 125 II and HE4 values in Chinese women presenting with a pelvic mass PMID: 28549533
- highly predictive of endometriosis in women with symptoms of pain and/or subfertility PMID: 27987404
- HE4 seems to be superior to CA125 in the detection of recurrent disease. PMID: 29463191
- High CA125 expression is associated with breast, endometrial and ovarian cancers. PMID: 26918940
- knockdown of MUC16 significantly weakened the capabilities of cells for proliferation and migration PMID: 27167110
- In this platinum-resistant population, PD was typically detected earlier by imaging than by CA-125, irrespective of bevacizumab treatment. Disease status by CA-125 at the time of PD was not prognostic for overall survival. Regular radiologic assessment as well as symptom benefit assessment should be considered during PROC follow-up. PMID: 27407100
- Data characterized CA-125 kinetics and identified modeled kinetic parameters. PMID: 29187468
- these studies demonstrate that PPARgamma is an important modulator of MUC16 expression. PMID: 27292441
- These data point to a novel opportunity to enrich Abs at mucosal sites by targeting Abs to MUC16 through changes in Fc glycosylation, potentially blocking viral movement and sequestering the virus far from the epithelial border. PMID: 26960182
- Within this review, we highlight both the processes involved in the expression of aberrant glycan structures on mucins, as well as the potential downstream impacts on cellular signaling. PMID: 27483328
- In a cohort of patients with acute decompensated heart failure, cancer antigen 125 is independently associated with prolonged length of stay. PMID: 28265209
- The current study uncovers the contribution of oncogenic KRAS to serum marker CA125 production through a mechanism that involves the ERK/c-Myc axis. PMID: 28108627
- Mesothelin/mucin 16 signaling in activated portal fibroblasts regulates cholestatic liver fibrosis. PMID: 28287406
- the loss of MUC16 and E-cadherin expression resulted in the formation of more compact spheroids. In addition, our data describe an unusual link between E-cadherin expression and less compact spheroids. Our data also emphasize the role of MUC16 and b1 integrin in Epithelial ovarian cancer (EOC) spheroid formation. PMID: 27612856
- Preoperative CA-125 can predict neither the progression-free nor overall survival for primary serous ovarian cancer patients. PMID: 28551658
- In pseudomyxoma peritonei CA125 was infrequently expressed by tumor cells, but in most of the cases adjacent nonneoplastic mesothelial cells. PMID: 27038681
- Differences in the apparent expression levels of CEA, CA153 and CA125 in patients with nipple discharge and healthy persons were validated. PMID: 27327081
- The endometrial expression of PR and Ki67 along with serum CA125 predicted the development of lymph node metastasis in endometrial cancer. PMID: 27163153
- a distinct role for N-glycans in promoting MUC16's binding affinity toward galectin-3 and in causing retention of the lectin on the epithelial cell surface. PMID: 28487369
- HE4 is elevated less frequently than CA125 in benign adnexal tumors, regardless of age or menopausal status PMID: 27752776
- rebamipide induces the differential upregulation of MUC16 in stratified cultures of human corneal epithelial cells, which may have implications to the proper restoration of barrier function in ocular surface disease. PMID: 27725198
- In postmenopausal women, CA-125 levels were significantly higher in those with epithelial ovarian cancer. PMID: 27855043
- When the value of CA125 is higher than 10 U/ml and continuously increased, need to be vigilant and should be combined with imaging examination (PET-CT), early detection of recurrent lesions and early retreatment, especially maybe have the opportunity for surgery, this result may improve the prognosis for recurrent patients. PMID: 28284216
- Pap test abnormalities are frequent in ECCC. Although it is less accurate in the diagnosis of ECCC than in the detection of malignancy, endometrial sampling is still the main procedure for the diagnosis of ECCC. Higher preoperative CA-125 concentrations imply the presence of advanced stage ECCC. PMID: 27173475
- levels before treatment and decreased speed of decline of serum CA125 after treatment were independent factors. There is a negative correlation between pre-treatment CA125 level and prognosis, the sooner decrease of CA125 levels post-treatment the better prognosis are. PMID: 27629537
- We found the high specificity of HE4 and CA125 while differentiating ovarian benign diseases from epithelial ovarian cancer in postmenopausal women and the high sensitivity of CA125 in detecting epithelial ovarian cancer in premenopausal patients PMID: 27436085
- Results collectively indicate unique links between dual-specificity phosphatase 28 (DUSP28) and mucins MUC5B/MUC16 and their roles in pancreatic cancer. PMID: 27230679
- that, in adenocarcinomas and borderline ovarian tumors, the major carriers of SLe(a) and SLe(x) are MUC16 and/or MUC1 (100 and 92 % for SLe(a) PMID: 27003157
- A statistically significant difference was observed between HE4 values at primary diagnosis and at recurrence, respectively, comparing recurrent and non-recurrent patients while CA125 values resulted not statistically significant at each time point. PMID: 26531723
- We assessed the diagnostic accuracy of a newly developed laboratory score-based on CA125, platelet count (PLT), C-reactive protein (CRP), and fibrinogen levels-in the preoperative diagnosis of adnexal mass PMID: 26499778
- High CA125 expression is associated with Ovarian Tumors. PMID: 27268637
- We evaluated the clinical performance of LOCItrade mark-based tumor marker assays CEA, CA19-9, CA15-3, CA125 and AFP in patients with gastrointestinal cancer and demonstrated their high diagnostic power PMID: 28011514
顯示更多
收起更多
-
亞細胞定位:Cell membrane; Single-pass type I membrane protein. Secreted, extracellular space. Note=May be liberated into the extracellular space following the phosphorylation of the intracellular C-terminus which induces the proteolytic cleavage and liberation of the extracellular domain.
-
組織特異性:Expressed in corneal and conjunctival epithelia (at protein level). Overexpressed in ovarian carcinomas and ovarian low malignant potential (LMP) tumors as compared to the expression in normal ovarian tissue and ovarian adenomas.
-
數據庫鏈接:
Most popular with customers
-
-
YWHAB Recombinant Monoclonal Antibody
Applications: ELISA, WB, IHC, IF, FC
Species Reactivity: Human, Mouse, Rat
-
Phospho-YAP1 (S127) Recombinant Monoclonal Antibody
Applications: ELISA, WB, IHC
Species Reactivity: Human
-
-
-
-
-















