GH1 Recombinant Monoclonal Antibody
-
中文名稱:GH1重組抗體
-
貨號:CSB-RA891358A0HU
-
規格:¥1320
-
圖片:
-
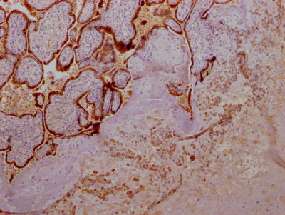
IHC image of CSB-RA891358A0HU diluted at 1:100 and staining in paraffin-embedded human placenta tissue performed on a Leica BondTM system. After dewaxing and hydration, antigen retrieval was mediated by high pressure in a citrate buffer (pH 6.0). Section was blocked with 10% normal goat serum 30min at RT. Then primary antibody (1% BSA) was incubated at 4℃ overnight. The primary is detected by a Goat anti-rabbit IgG polymer labeled by HRP and visualized using 0.05% DAB.
-
-
其他:
產品詳情
-
產品描述:CSB-RA891358A0HU人源GH1重組單克隆抗體是針對生長激素1(Growth Hormone 1, GH1)靶點開發的高特異性科研工具。GH1作為垂體前葉分泌的核心蛋白激素,在調節機體生長發育、促進細胞增殖及代謝調控中發揮關鍵作用。本產品經嚴格驗證適用于ELISA和免疫組化(IHC)檢測,其中IHC實驗顯示在1:50-1:200稀釋范圍內能清晰定位人源組織中的GH1蛋白表達,具有優異的組織穿透性和顯色特異性,同時ELISA平臺驗證證實其具備高親和力和低交叉反應性。該抗體采用重組單抗技術制備,具有批次穩定性強、背景干擾低的特點,適用于垂體功能研究、生長發育調控機制探索、代謝相關疾病模型構建等基礎科研領域,特別為組織切片中GH1的空間分布分析及體外定量檢測提供可靠解決方案。
-
Uniprot No.:
-
基因名:
-
別名:Somatotropin (Growth hormone) (GH) (GH-N) (Growth hormone 1) (Pituitary growth hormone), GH1
-
反應種屬:Human
-
免疫原:A synthesized peptide derived from human Growth Hormone
-
免疫原種屬:Homo sapiens (Human)
-
標記方式:Non-conjugated
-
克隆類型:Monoclonal
-
抗體亞型:Rabbit IgG
-
純化方式:Affinity-chromatography
-
克隆號:5E9
-
濃度:It differs from different batches. Please contact us to confirm it.
-
保存緩沖液:Rabbit IgG in 10mM phosphate buffered saline , pH 7.4, 150mM sodium chloride, 0.05% BSA, 0.02% sodium azide and 50% glycerol.
-
產品提供形式:Liquid
-
應用范圍:ELISA, IHC
-
推薦稀釋比:
Application Recommended Dilution IHC 1:50-1:200 -
Protocols:
-
儲存條件:Upon receipt, store at -20°C or -80°C. Avoid repeated freeze.
-
貨期:Basically, we can dispatch the products out in 1-3 working days after receiving your orders. Delivery time maybe differs from different purchasing way or location, please kindly consult your local distributors for specific delivery time.
-
用途:For Research Use Only. Not for use in diagnostic or therapeutic procedures.
相關產品
靶點詳情
-
功能:Plays an important role in growth control. Its major role in stimulating body growth is to stimulate the liver and other tissues to secrete IGF-1. It stimulates both the differentiation and proliferation of myoblasts. It also stimulates amino acid uptake and protein synthesis in muscle and other tissues.
-
基因功能參考文獻:
- Significant correlations were observed between GH concentration and impairments on several EDI-2 subscales (drive for thinness, body dissatisfaction, interoceptive awareness, sense of ineffectiveness, interpersonal distrust, maturity fear) and on SCL-90 subitems (depression, hostility, obsessivity compulsivity, anxiety), suggesting a possible hormonal modulatory effect on specific aspects of eating disorders. PMID: 29179911
- Patients examined at 1 year or several years from complicated mild traumatic brain injury had a similarly high occurrence of isolated GH deficiency PMID: 27878771
- Single nucleotide variant in GH1 gene is associated with isolated growth hormone deficiency. PMID: 28910730
- In newborns, serum PRL and hGH levels show a positive correlation that can be explained by common regulatory factors or a drift phenomenon. A higher gestational week is associated with a higher PRL/hGH ratio. PMID: 28700563
- This review describes the endocrine profile of centenarians concerning the GH/IGF-I/insulin system, focusing on the relevance of this pathway on the modulation of ageing and longevity. PMID: 27932301
- Data suggest that patients with NICTH (non-islet cell tumor hypoglycemia) exhibit low serum growth hormone levels during hypoglycemic episodes. [Retrospective Study & REVIEW of Case Reports] PMID: 28529277
- Homozygous GH1 deletion is associated with growth hormone deficiency. PMID: 28525353
- Human Growth Hormone Inhibits CLAUDIN-1 Expression Through Activation of Signal Transducer and Activator of Transcription 3 (STAT3). PMID: 28617312
- Serum GH was unrelated to type 2 diabetes, fasting blood glucose, or HbA1c level. PMID: 27060213
- GH1 and GHRHR screening revealed eleven variations in 24 (21%) patients with isolated growth hormone deficiency of which, four were novel deleterious, one novel non-pathogenic and six reported changes. PMID: 27114065
- The results suggest that GH regulates energy metabolism directly in myocytes and that UCP2 participates in the signal transduction pathway that functions downstream of the GHR/JAK/STAT. PMID: 27150070
- These results implicate TIMP3 as a modulator of cell surface GHR abundance and the ability of GH to promote cellular signaling. PMID: 27075707
- Children with GH excess underwent medical treatment with lanreotide and a minimum clinical/biochemical follow up of 2 years is reported. The present study demonstrates that GH excess should be considered as a relative frequent endocrine manifestation in NF1 patients, similarly to central precocious puberty PMID: 28631895
- Thus, GHRH analogs of the Miami series powerfully suppress tumor growth, but have only a weak endocrine GH inhibitory activity. The suppression of tumor growth could be induced in part by the downregulation of GHRH receptors levels. PMID: 28130121
- the levels and kinetics of phosphorylation mediated by the main signalling proteins triggered by 22K-GH or 20K-GH were not exactly the same. PMID: 28427901
- A negative regulation of locally produced GH by androgens/AR in Prostate cancer cells following treatment with AR agonists (R1881) and antagonists (enzalutamide, bicalutamide). PMID: 28444169
- The intrinsic amyloidogenicity of growth hormone, in the presence of contaminating prion protein (and perhaps prolactin as well) and amyloid-beta contained in some cadavers' pituitaries, may have led to the observed co-occurring of Creutzfeldt-Jakob disease and Alzheimer's disease. PMID: 27214308
- GH potentially negatively modulates the maturation and accumulation of lipid in adipocytes. PMID: 27802441
- To our knowledge, c.-223C>T is the first homozygous point mutation in the GH1 promoter that leads to short stature due to idiopathic growth hormone deficiency. PMID: 27252485
- Data show that the recombinant protein produced by the plasmid-free E coli strain was purified and characterized to be human growth hormone (hGH). PMID: 27542624
- Our results suggest that the known protective effect of GH signaling deficiency on neoplastic tissue growth is mediated, at least partially, by regulating p53 expression PMID: 27226307
- evidence that hGH synthesis follows a diurnal rhythm and of dynamic associations of the circadian machinery with a component of a chromosomal structure of the hGH1 locus that is essential for efficient expression. PMID: 27151213
- Gene polymorphism of leptin (loci rs7799039) and leptin receptor (loci rs1137101) are correlated with Growth hormone deficiency susceptibility. PMID: 26915772
- These results showed that hybrid training system on a cycle ergometer (CE) was more efficient in stimulating acute increases in GH, lactate and IL-6 than CE at the same workload. PMID: 26522057
- Growth Hormone 1 T1663A Polymorphism were at a decreased risk of breast cancer. PMID: 26225688
- This is the first report of a family suffering from short stature caused by autosomal dominant form of GH deficiency II, which severely affects intracellular GH folding and stability as well as secretion PMID: 26485222
- GH and IGF-1 suppression is maintained for up to 25 months during pasireotide LAR treatment of acromegaly. PMID: 25103549
- In women with normal somatotroph function, GH levels do not change in the first trimester of pregnancy. PMID: 25179796
- These data on pregnancy outcomes in a large group of women with hypopituitarism revealed no relationship between GH replacement therapy regimens and pregnancy outcomes. PMID: 26256649
- Effect of oral glucose administration on rebound growth hormone release in normal and obese women: the role of adiposity, insulin sensitivity and ghrelin. PMID: 25782001
- the phenotype of MIP-FoxM1-hGH mice is due primarily to hGH activity and that the FoxM1 protein remains largely inactive PMID: 26202070
- Case Report: of Klinefelter sydnrome with short stature due to growth hormone deficiency. PMID: 25241616
- Suggest growth hormone deficiency may be common feature in vernal keratoconjuntivitis patients. PMID: 25079463
- Human Growth Hormone stimulates the microRNA 96-182-183 cluster, which promotes the epithelial-mesenchymal transition and invasion in breast cancer PMID: 25873390
- The results demonstrate that activation of noncoding transcription reflects an autonomous activity of the human growth hormone long-range enhancer that is fully independent of interactions with linked gene promoters and occurring in spatial and temporal synchrony with initiation of GH expression in the embryonic pituitary. PMID: 25662214
- Analysis of GH1 in a cohort of Brazilian patients revealed that the autosomal recessive form of isolated growth hormone deficiency(IGHD) was more common than the dominant one, and both were found only in severe IGHD. PMID: 25116472
- Recipients showed a rapid recovery of the GH/IGF1 hormonal axis and liver function after LDLT, whereas donors showed altered GH signaling and regenerative delay in the early days after living donation. PMID: 24889799
- JAK2 is activated by growth hormone and other cytokines. (Review) PMID: 25656053
- Genotyping contributed to the diagnosis of children with suspected growth hormone insensitivity and short stature. PMID: 25411237
- hGH production is extremely sensitive to increased caloric intake. PMID: 25295535
- After LT, GH levels correlate with the extent of cytolysis, while IGF-1 is an indicator of liver synthetic function recovery. IGF-1 levels >90 mug/L (day 15-30) seem to be an indicator of short-term survival. PMID: 24804205
- In this review we highlight the evidence of extrapituitary synthesis of GH in humans. [review] PMID: 24642386
- This review summarizes findings of growth hormone's influence on in utero and neonatal cellular and metabolic profiles related to bone and adipose tissue. PMID: 25015810
- The study presents experimental data for the mechanism of thiol-disulfide exchange in tryptic peptides derived from human growth hormone in aqueous solution. PMID: 24549831
- we present the results of screening for mutations in GH1 and GHRHR genes in a large cohort of Argentinian patients with IGHD. These suggest that the p.Arg183His mutation associated with the type II dominant form of IGHD might be relatively common. PMID: 23789946
- In the first family a novel splice site mutation in GH1 was identified (c.172-1G>C, IVS2-1G>C). In two other families a previously reported splice site mutation (c.291+1G>A, IVS3+1G>A) was found. PMID: 24280736
- Bilateral involvement of a pituitary adenoma and severely decreased immediate postoperative serum GH levels at 72 hours after transsphenoidal adenomectomy may be independent risk factors for accelerated GH deficiency in acromegalic patients. PMID: 24972779
- The activity of autocrine GH may be distinct from that of endocrine GH in prostate cancer cells. PMID: 23238889
- robust GH-stimulated hepatic Igf1 gene transcription utilizes tissue-specific mechanisms of epigenetic regulation that are established independent of GH signaling. PMID: 24109593
- meta-analysis indicates that GH1 T1663A polymorphism may contribute to the risk of colorectal cancer, especially among Asian populations PMID: 24464925
顯示更多
收起更多
-
相關疾病:Growth hormone deficiency, isolated, 1A (IGHD1A); Growth hormone deficiency, isolated, 1B (IGHD1B); Kowarski syndrome (KWKS); Growth hormone deficiency, isolated, 2 (IGHD2)
-
亞細胞定位:Secreted.
-
蛋白家族:Somatotropin/prolactin family
-
數據庫鏈接:
Most popular with customers
-
-
YWHAB Recombinant Monoclonal Antibody
Applications: ELISA, WB, IHC, IF, FC
Species Reactivity: Human, Mouse, Rat
-
Phospho-YAP1 (S127) Recombinant Monoclonal Antibody
Applications: ELISA, WB, IHC
Species Reactivity: Human
-
-
-
-
-















