PREB Recombinant Monoclonal Antibody
-
中文名稱:PREB Recombinant Monoclonal Antibody
-
貨號:CSB-RA240498A0HU
-
規格:¥1320
-
圖片:
-
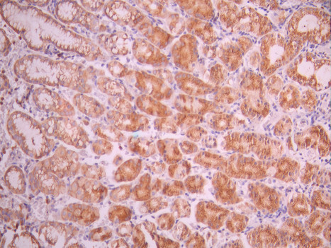
IHC image of CSB-RA240498A0HU diluted at 1:100 and staining in paraffin-embedded human thyroid tissue performed on a Leica BondTM system. After dewaxing and hydration, antigen retrieval was mediated by high pressure in a citrate buffer (pH 6.0). Section was blocked with 10% normal goat serum 30min at RT. Then primary antibody (1% BSA) was incubated at 4°C overnight. The primary is detected by a Goat anti-rabbit polymer IgG labeled by HRP and visualized using 0.05% DAB.
-
IHC image of CSB-RA240498A0HU diluted at 1:100 and staining in paraffin-embedded human gastric cancer performed on a Leica BondTM system. After dewaxing and hydration, antigen retrieval was mediated by high pressure in a citrate buffer (pH 6.0). Section was blocked with 10% normal goat serum 30min at RT. Then primary antibody (1% BSA) was incubated at 4°C overnight. The primary is detected by a Goat anti-rabbit polymer IgG labeled by HRP and visualized using 0.05% DAB.
-
Overlay Peak curve showing Hela cells stained with CSB-RA240498A0HU (red line) at 1:100. The cells were fixed in 4% formaldehyde and permeated by 0.2% TritonX-100 for 10min. Then 10% normal goat serum to block non-specific protein-protein interactions followed by the antibody (1ug/1*106cells) for 45min at 4℃. The secondary antibody used was FITC-conjugated goat anti-rabbit IgG (H+L) at 1/200 dilution for 35min at 4℃.Control antibody (green line) was Rabbit IgG (1ug/1*106cells) used under the same conditions. Acquisition of >10, 000 events was performed.
-
-
其他:
產品詳情
-
Uniprot No.:
-
基因名:
-
別名:Mammalian guanine nucleotide exchange factor mSec12 antibody; Preb antibody; PREB_HUMAN antibody; Prolactin regulatory binding element protein antibody; Prolactin regulatory element binding antibody; Prolactin regulatory element binding protein antibody; Prolactin regulatory element-binding protein antibody; SEC12 antibody
-
反應種屬:Human
-
免疫原:A synthesized peptide from human PREB protein
-
免疫原種屬:Homo sapiens (Human)
-
標記方式:Non-conjugated
-
克隆類型:Monoclonal
-
抗體亞型:Rabbit IgG
-
純化方式:Affinity-chromatography
-
克隆號:9D12
-
濃度:It differs from different batches. Please contact us to confirm it.
-
保存緩沖液:Rabbit IgG in 10mM phosphate buffered saline , pH 7.4, 150mM sodium chloride, 0.05% BSA, 0.02% sodium azide and 50% glycerol.
-
產品提供形式:Liquid
-
應用范圍:ELISA, IHC, FC
-
推薦稀釋比:
Application Recommended Dilution IHC 1:50-1:200 FC 1:50-1:200 -
Protocols:
-
儲存條件:Upon receipt, store at -20°C or -80°C. Avoid repeated freeze.
-
貨期:Basically, we can dispatch the products out in 1-3 working days after receiving your orders. Delivery time maybe differs from different purchasing way or location, please kindly consult your local distributors for specific delivery time.
-
用途:For Research Use Only. Not for use in diagnostic or therapeutic procedures.
相關產品
靶點詳情
-
功能:Guanine nucleotide exchange factor that specifically activates the small GTPase SAR1B. Mediates the recruitment of SAR1B and other COPII coat components to endoplasmic reticulum membranes and is therefore required for the formation of COPII transport vesicles from the ER.; Was first identified based on its probable role in the regulation of pituitary gene transcription. Binds to the prolactin gene (PRL) promoter and seems to activate transcription.
-
基因功能參考文獻:
- Administration of recombinant adenovirus containing human PREB to db/db, ob/ob, and DIO mice diminished glucose, insulin, and pyruvate tolerance indicating PREB to be a negative regulator of liver gluconeogenic genes. PMID: 29601978
- Wls-SEC12 binding is stable, with the interacting interface biochemically mapped to cytosolic segments of individual proteins. Mutant Wls that fails to communicate with the COPII machinery cannot effectively support Wnt secretion. These data suggest that formation of early Wnt secretory vesicles is carefully regulated to ensure proper export of functional ligands PMID: 28515233
- These results indicate that PREB locates at the hepatitis C virus replication complex by interacting with NS4B. PMID: 26739056
- Sec12, a guanine-nucleotide exchange factor for Sar1 guanosine triphosphatase, is concentrated at endoplasmic reticulum exit sites and that this concentration of Sec12 is specifically required for the secretion of collagen VII but not other proteins. PMID: 25202031
- PREB regulates the cAMP-mediated transcription of the ABCA1 gene in vascular smooth muscle cells PMID: 20643408
- The transcriptional factor PREB mediates MCP-1 transcription induced by cytokines in human vascular endothelial cells. PMID: 19426980
顯示更多
收起更多
-
亞細胞定位:Endoplasmic reticulum membrane; Single-pass membrane protein. Nucleus.
-
組織特異性:Ubiquitous.
-
數據庫鏈接:
Most popular with customers
-
-
YWHAB Recombinant Monoclonal Antibody
Applications: ELISA, WB, IHC, IF, FC
Species Reactivity: Human, Mouse, Rat
-
Phospho-YAP1 (S127) Recombinant Monoclonal Antibody
Applications: ELISA, WB, IHC
Species Reactivity: Human
-
-
-
-
-















