WNT8A Antibody
-
中文名稱:WNT8A兔多克隆抗體
-
貨號:CSB-PA863951LA01HU
-
規格:¥440
-
圖片:
-
IHC image of CSB-PA863951LA01HU diluted at 1:200 and staining in paraffin-embedded human gastric cancer performed on a Leica BondTM system. After dewaxing and hydration, antigen retrieval was mediated by high pressure in a citrate buffer (pH 6.0). Section was blocked with 10% normal goat serum 30min at RT. Then primary antibody (1% BSA) was incubated at 4°C overnight. The primary is detected by a biotinylated secondary antibody and visualized using an HRP conjugated SP system.
-
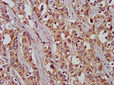
IHC image of CSB-PA863951LA01HU diluted at 1:200 and staining in paraffin-embedded human liver cancer performed on a Leica BondTM system. After dewaxing and hydration, antigen retrieval was mediated by high pressure in a citrate buffer (pH 6.0). Section was blocked with 10% normal goat serum 30min at RT. Then primary antibody (1% BSA) was incubated at 4°C overnight. The primary is detected by a biotinylated secondary antibody and visualized using an HRP conjugated SP system.
-
-
其他:
產品詳情
-
產品名稱:Rabbit anti-Homo sapiens (Human) WNT8A Polyclonal antibody
-
Uniprot No.:
-
基因名:
-
別名:Protein Wnt-8a antibody; Protein Wnt-8d antibody; wingless type MMTV integration site family, member 8A antibody; WNT 8A antibody; Wnt 8d antibody; wnt8a antibody; WNT8A_HUMAN antibody; WNT8D antibody
-
宿主:Rabbit
-
反應種屬:Human
-
免疫原:Recombinant Human Protein Wnt-8a protein (223-309AA)
-
免疫原種屬:Homo sapiens (Human)
-
標記方式:Non-conjugated
本頁面中的產品,WNT8A Antibody (CSB-PA863951LA01HU),的標記方式是Non-conjugated。對于WNT8A Antibody,我們還提供其他標記。見下表:
-
克隆類型:Polyclonal
-
抗體亞型:IgG
-
純化方式:>95%, Protein G purified
-
濃度:It differs from different batches. Please contact us to confirm it.
-
保存緩沖液:Preservative: 0.03% Proclin 300
Constituents: 50% Glycerol, 0.01M PBS, pH 7.4 -
產品提供形式:Liquid
-
應用范圍:ELISA, IHC
-
推薦稀釋比:
Application Recommended Dilution IHC 1:200-1:500 -
Protocols:
-
儲存條件:Upon receipt, store at -20°C or -80°C. Avoid repeated freeze.
-
貨期:Basically, we can dispatch the products out in 1-3 working days after receiving your orders. Delivery time maybe differs from different purchasing way or location, please kindly consult your local distributors for specific delivery time.
-
用途:For Research Use Only. Not for use in diagnostic or therapeutic procedures.
相關產品
靶點詳情
-
功能:Ligand for members of the frizzled family of seven transmembrane receptors. Plays a role in embryonic patterning.
-
基因功能參考文獻:
- Here, we show that Wnt/planar cell polarity (PCP) autocrine signaling controls the emergence of cytonemes, and that cytonemes subsequently control paracrine Wnt/beta-catenin signal activation. Upon binding of the Wnt family member Wnt8a, the receptor tyrosine kinase Ror2 becomes activated. PMID: 30060804
- the WNT8A gene is involved in the susceptibility to HSCR, and plays an important role in the occurrence and development of Hirschsprung's disease. PMID: 23836442
- Expression and regulation of WNT8A mRNA in human tumor cell lines PMID: 11956596
-
亞細胞定位:Secreted, extracellular space, extracellular matrix. Secreted.
-
蛋白家族:Wnt family
-
數據庫鏈接:
Most popular with customers
-
-
YWHAB Recombinant Monoclonal Antibody
Applications: ELISA, WB, IHC, IF, FC
Species Reactivity: Human, Mouse, Rat
-
Phospho-YAP1 (S127) Recombinant Monoclonal Antibody
Applications: ELISA, WB, IHC
Species Reactivity: Human
-
-
-
-
-















