SEMA3D Antibody
-
中文名稱:SEMA3D兔多克隆抗體
-
貨號:CSB-PA940376
-
規格:¥1100
-
圖片:
-
The image on the left is immunohistochemistry of paraffin-embedded Human brain tissue using CSB-PA940376(SEMA3D Antibody) at dilution 1/50, on the right is treated with synthetic peptide. (Original magnification: ×200)
-
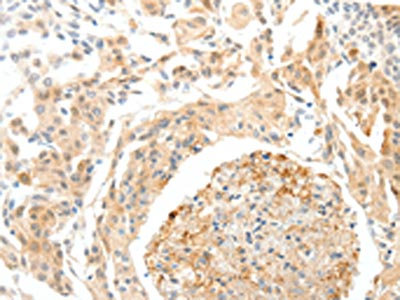
The image on the left is immunohistochemistry of paraffin-embedded Human cervical cancer tissue using CSB-PA940376(SEMA3D Antibody) at dilution 1/50, on the right is treated with synthetic peptide. (Original magnification: ×200)
-
-
其他:
產品詳情
-
Uniprot No.:
-
基因名:SEMA3D
-
別名:Coll 2 antibody; Coll2 antibody; Collapsin 2 antibody; SEM3D_HUMAN antibody; Sema domain immunoglobulin domain (Ig) short basic domain secreted (semaphorin) 3D antibody; Sema Z2 antibody; Sema3d antibody; Semaphorin-3D antibody; Semaphorin3D antibody
-
宿主:Rabbit
-
反應種屬:Human,Mouse
-
免疫原:Synthetic peptide of Human SEMA3D
-
免疫原種屬:Homo sapiens (Human)
-
標記方式:Non-conjugated
-
抗體亞型:IgG
-
純化方式:Antigen affinity purification
-
濃度:It differs from different batches. Please contact us to confirm it.
-
保存緩沖液:-20°C, pH7.4 PBS, 0.05% NaN3, 40% Glycerol
-
產品提供形式:Liquid
-
應用范圍:ELISA,IHC
-
推薦稀釋比:
Application Recommended Dilution ELISA 1:2000-1:5000 IHC 1:50-1:200 -
Protocols:
-
儲存條件:Upon receipt, store at -20°C or -80°C. Avoid repeated freeze.
-
貨期:Basically, we can dispatch the products out in 1-3 working days after receiving your orders. Delivery time maybe differs from different purchasing way or location, please kindly consult your local distributors for specific delivery time.
-
用途:For Research Use Only. Not for use in diagnostic or therapeutic procedures.
相關產品
靶點詳情
-
功能:Induces the collapse and paralysis of neuronal growth cones. Could potentially act as repulsive cues toward specific neuronal populations. Binds to neuropilin.
-
基因功能參考文獻:
- Low SEMA3D expression is associated with colorectal cancer. PMID: 28320475
- Novel mutation in SEMA3D segregates with the complete phenotype with variable expressivity in two pedigrees with autosomal dominant familial Meniere's disease. PMID: 27876815
- Data show significant increases in semaphorin3C, 3D and their receptor neuropilin-2 in degenerate samples which were shown to contain nerves and blood vessels, compared to non-degenerate samples without nerves and blood vessels. PMID: 26286962
- CTNNA3 and SEMA3D: Promising loci for asthma exacerbation identified through multiple genome-wide association studies PMID: 26073756
- Functional loss of semaphorin 3C and/or semaphorin 3D and their epistatic interaction with ret are critical to Hirschsprung disease liability. PMID: 25839327
- Semaphorin 3d requires neuropilin 1 or PI3K/Akt, whereas semaphorin 3e requires plexin D1 in directing endothelial motility. PMID: 24825896
- In the absence of Sema3d, endothelial tubes form in a region that is normally avascular PMID: 23685842
- in this study we have analyzed three aminoacidic substitutions, A131T-SEMA3A, S598G-SEMA3A and E198K-SEMA3D. These variants result in an increase of SEMA proteins levels in the HSCR colon tissue. PMID: 23372769
- This study provided strong evidence that SEMA3D confers susceptibility to schizophrenia, which could contribute to the neurodevelopmental impairments in the disorder. PMID: 20684831
- Observational study of gene-disease association. (HuGE Navigator) PMID: 20684831
- Observational study of gene-disease association. (HuGE Navigator) PMID: 19054571
- Sema3D inhibits tumor development from MDA-MB-231 and MDA-MB-435 cancer cells. It inhibits tumor angiogenesis in all of the formed tumors. PMID: 18818766
顯示更多
收起更多
-
亞細胞定位:Secreted.
-
蛋白家族:Semaphorin family
-
數據庫鏈接:
Most popular with customers
-
-
YWHAB Recombinant Monoclonal Antibody
Applications: ELISA, WB, IHC, IF, FC
Species Reactivity: Human, Mouse, Rat
-
-
-
-
-
-















