RBPMS Antibody
-
中文名稱:RBPMS兔多克隆抗體
-
貨號:CSB-PA821892LA01HU
-
規格:¥440
-
圖片:
-
其他:
產品詳情
-
產品名稱:Rabbit anti-Homo sapiens (Human) RBPMS Polyclonal antibody
-
Uniprot No.:
-
基因名:RBPMS
-
別名:FLJ32971 antibody; Heart and RRM expressed sequence antibody; Hermes antibody; RBP MS antibody; RBP-MS antibody; Rbpms antibody; RBPMS_HUMAN antibody; RNA binding protein gene with multiple splicing antibody; RNA-binding protein with multiple splicing antibody
-
宿主:Rabbit
-
反應種屬:Human
-
免疫原:Recombinant Human RNA-binding protein with multiple splicing protein (1-219AA)
-
免疫原種屬:Homo sapiens (Human)
-
標記方式:Non-conjugated
本頁面中的產品,RBPMS Antibody (CSB-PA821892LA01HU),的標記方式是Non-conjugated。對于RBPMS Antibody,我們還提供其他標記。見下表:
-
克隆類型:Polyclonal
-
抗體亞型:IgG
-
純化方式:>95%, Protein G purified
-
濃度:It differs from different batches. Please contact us to confirm it.
-
保存緩沖液:Preservative: 0.03% Proclin 300
Constituents: 50% Glycerol, 0.01M PBS, PH 7.4 -
產品提供形式:Liquid
-
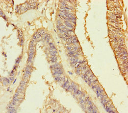
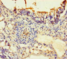
應用范圍:ELISA, IHC
-
推薦稀釋比:
Application Recommended Dilution IHC 1:20-1:200 -
Protocols:
-
儲存條件:Upon receipt, store at -20°C or -80°C. Avoid repeated freeze.
-
貨期:Basically, we can dispatch the products out in 1-3 working days after receiving your orders. Delivery time maybe differs from different purchasing way or location, please kindly consult your local distributors for specific delivery time.
-
用途:For Research Use Only. Not for use in diagnostic or therapeutic procedures.
相關產品
靶點詳情
-
功能:Acts as a coactivator of transcriptional activity. Required to increase TGFB1/Smad-mediated transactivation. Acts through SMAD2, SMAD3 and SMAD4 to increase transcriptional activity. Increases phosphorylation of SMAD2 and SMAD3 on their C-terminal SSXS motif, possibly through recruitment of TGFBR1. Promotes the nuclear accumulation of SMAD2, SMAD3 and SMAD4 proteins. Binds to poly(A) RNA.
-
基因功能參考文獻:
- The possible involvement of the GC box 1 at position - 54 in transcriptional regulation of Rbpms was corroborated by EMSA, which showed formation of a DNA-protein complex in the presence of the oligonucleotide corresponding to this Sp1-binding site. PMID: 29423656
- Data indicate RNA Binding Protein with Multiple Splicing (RBPMS), Regulator of Chromosome Condensation and POZ Domain Containing Protein 1 (RCBTB1), and Zinc Finger protein 608 (ZNF608) as miR-21-3p target genes. PMID: 27166999
- Conserved binding of GCAC motifs by MEC-8, couch potato, and the RBPMS protein family has been reported. PMID: 28003515
- ERG is recruited to mRNAs via interaction with the RNA-binding protein RBPMS, and it promotes mRNA decay by binding CNOT2, a component of the CCR4-NOT deadenylation complex. PMID: 27273514
- observation of a strong in vivo erythropoietic effect for RBPMS but not for GTF2E2, supporting the statistical fine-mapping at this locus and demonstrating that RBPMS is a regulator of erythropoiesis PMID: 28017375
- Study indicates that the RNA binding increases the stability of RNA-recognition motif (RRM) in RBPMS domain, but residue mutations of RRM domain induce the fluctuation of complex systems through weakening of hydrogen bonds, conformational change or loss of binding affinity. PMID: 27592836
- RBPMS1 is a critical repressor of AP-1 signaling and RBPMS1 activation may be a useful strategy for cancer treatment. PMID: 25281386
顯示更多
收起更多
-
亞細胞定位:Nucleus. Cytoplasm. Cytoplasm, P-body.
-
組織特異性:Ubiquitously expressed, at various levels depending on the isoform and the tissue.
-
數據庫鏈接:
Most popular with customers
-
-
Phospho-YAP1 (S127) Recombinant Monoclonal Antibody
Applications: ELISA, WB, IHC
Species Reactivity: Human
-
-
-
-
-
-















