PTGES3 Antibody
-
中文名稱:PTGES3兔多克隆抗體
-
貨號:CSB-PA560159
-
規格:¥1100
-
圖片:
-
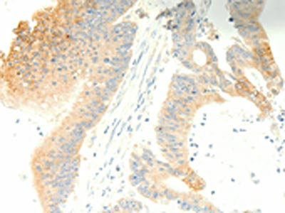
The image on the left is immunohistochemistry of paraffin-embedded Human colon cancer tissue using CSB-PA560159(PTGES3 Antibody) at dilution 1/35, on the right is treated with fusion protein. (Original magnification: ×200)
-
The image on the left is immunohistochemistry of paraffin-embedded Human thyroid cancer tissue using CSB-PA560159(PTGES3 Antibody) at dilution 1/35, on the right is treated with fusion protein. (Original magnification: ×200)
-
-
其他:
產品詳情
-
Uniprot No.:
-
基因名:PTGES3
-
別名:Co chaperone p23 antibody; cPGES antibody; Cytosolic prostaglandin E synthase antibody; Cytosolic prostaglandin E2 synthase antibody; Hsp90 co chaperone antibody; Hsp90 co-chaperone antibody; P23 antibody; Progesterone receptor complex antibody; Progesterone receptor complex p23 antibody; Prostaglandin E synthase 3 (cytosolic) antibody; Prostaglandin E synthase 3 antibody; PTGES 3 antibody; PTGES3 antibody; Sid 3177 antibody; TEBP antibody; TEBP_HUMAN antibody; Telomerase binding protein p23 antibody; Telomerase-binding protein p23 antibody; Unactive progesterone receptor 23 kD antibody
-
宿主:Rabbit
-
反應種屬:Human,Mouse,Rat
-
免疫原:Fusion protein of Human PTGES3
-
免疫原種屬:Homo sapiens (Human)
-
標記方式:Non-conjugated
-
抗體亞型:IgG
-
純化方式:Antigen affinity purification
-
濃度:It differs from different batches. Please contact us to confirm it.
-
保存緩沖液:-20°C, pH7.4 PBS, 0.05% NaN3, 40% Glycerol
-
產品提供形式:Liquid
-
應用范圍:ELISA,IHC
-
推薦稀釋比:
Application Recommended Dilution ELISA 1:2000-1:5000 IHC 1:25-1:100 -
Protocols:
-
儲存條件:Upon receipt, store at -20°C or -80°C. Avoid repeated freeze.
-
貨期:Basically, we can dispatch the products out in 1-3 working days after receiving your orders. Delivery time maybe differs from different purchasing way or location, please kindly consult your local distributors for specific delivery time.
-
用途:For Research Use Only. Not for use in diagnostic or therapeutic procedures.
相關產品
靶點詳情
-
功能:Cytosolic prostaglandin synthase that catalyzes the oxidoreduction of prostaglandin endoperoxide H2 (PGH2) to prostaglandin E2 (PGE2). Molecular chaperone that localizes to genomic response elements in a hormone-dependent manner and disrupts receptor-mediated transcriptional activation, by promoting disassembly of transcriptional regulatory complexes. Facilitates HIF alpha proteins hydroxylation via interaction with EGLN1/PHD2, leading to recruit EGLN1/PHD2 to the HSP90 pathway.
-
基因功能參考文獻:
- The Hsp90 independence of the interaction between p23 and p53 DNA-binding domain, together with the competition of p23 versus DNA for p53, raises the intriguing possibility that p23, like other small charged proteins, may affect p53 in hitherto unknown ways. PMID: 29334217
- dysregulation of GR, MR, FKBP5, and PTGES3 in autistic spectrum disorder (ASD) and suggest a possible role of inflammation in altered GR function in ASD. PMID: 25912394
- increased p23 expression may allow cells to acquire a more aggressive phenotype, contributing to disease progression PMID: 25241147
- Even if p23 predominantly binds the Hsp90 dimer, p23 is also able to interact with Hsp90 oligomers, shifting the Hsp90 dimer-oligomers equilibrium toward dimer. PMID: 26151834
- FKBP4, p23, and Aha1 cooperatively regulate the progression of hAgo2 through the chaperone cycle. PMID: 23741051
- p23 recruits PHD2 to the HSP90 machinery to facilitate HIF-1alpha hydroxylation PMID: 23413029
- The effects of p23 on androgen receptor (AR) activity are at least partly HSP90 independent, a mutant form of p23, unable to bind HSP90, increases AR activity. PMID: 22899854
- p23 co-chaperone protects the aryl hydrocarbon receptor from degradation PMID: 22759865
- As an anti-apoptotic factor, p23 is able to be a potential target for anti-leukemic therapy. PMID: 22677230
- Patients with severe Alzheimer disease displayed a consistent reduction in brain p23 levels. Cleavage product p19 was not seen in AD brain samples. PMID: 21691801
- a small increase in the expression of p23 amplifies ER-binding genome wide and, in combination with ER, elicits an invasive phenotype in breast cancer PMID: 22074947
- In cytosol only one protein called p23 hsp90 binds to Bax but the binding protein does not affect the subcellular localization and pro-apoptotic activity of Bax. PMID: 22277657
- Data show that cytosolic prostaglandin E synthase 2 is found in microglia, neurons, and endothelium of control human middle frontal gyrus and that its levels decrease in pyramidal cells of Alzheimer's disease brains. PMID: 19001348
- The p23 cochaperone of Hsp90, which plays a major role in glucocorticoid receptor folding and function, associates with influenza virus polymerase. PMID: 21853119
- the N-terminal domain of human Hsp90 triggers binding to the cochaperone p23 PMID: 21183720
- High levels of Hsp90 cochaperone p23 promote tumor progression in breast cancer by increasing lymph node metastases and drug resistance. PMID: 20847343
- the interaction of the Hsp90-p23 complex with hTERT is critical for regulation of the nuclear localization of telomerase PMID: 19751963
- Data show that the small molecule celastrol inhibits the Hsp90 chaperoning machinery by inactivating the co-chaperone p23, resulting in a more selective destabilization of steroid receptors. PMID: 19996313
- localizes in vivo to genomic response elements in a hormone-dependent manner, disrupting receptor-mediated transcriptional activation in vivo and in vitro PMID: 12077419
- TEP1, hTR, hsp90, p23, and dyskerin remained at high and unchanged levels throughout up- or down regulation of telomerase activity. PMID: 12135483
- acts in vivo to stabilize hsp90 binding to client protein [hsp90 cochaperone p23] PMID: 14507910
- A role proposed for co-chaperone p23 is to lock individual subunits of Hsp90 in an ATP-dependent conformational state that has a high affinity for client proteins. PMID: 16403413
- p23 differentially regulates ER target genes and is involved in the control of distinct cellular processes in breast tumor development PMID: 16809759
- Carbonyl reductase-1 (CBR1), microsomal prostaglandin E synthase-1 and 2 (mPGES-1, mPGES-2), cytosolic prostaglandin E synthase (cPGES), aldoketoreductase (AKR1C1) and prostaglandin F synthase (AKR1C3) were all expressed in hair follicles. PMID: 17697149
- all three terminal prostaglandin synthases, mPGES-1, mPGES-2, and cPGES, are over-expressed in human gliomas PMID: 19347995
- Overexpression of Delta p23 resulted in a decrease in hTERT levels, and a down-regulation in telomerase activity. PMID: 19740745
顯示更多
收起更多
-
亞細胞定位:Cytoplasm.
-
蛋白家族:P23/wos2 family
-
數據庫鏈接:
Most popular with customers
-
-
YWHAB Recombinant Monoclonal Antibody
Applications: ELISA, WB, IHC, IF, FC
Species Reactivity: Human, Mouse, Rat
-
Phospho-YAP1 (S127) Recombinant Monoclonal Antibody
Applications: ELISA, WB, IHC
Species Reactivity: Human
-
-
-
-
-















